ARG58994
anti-MPP1 antibody
anti-MPP1 antibody for Flow cytometry,IHC-Formalin-fixed paraffin-embedded sections and Human
Overview
| Product Description | Rabbit Polyclonal antibody recognizes MPP1 |
|---|---|
| Tested Reactivity | Hu |
| Tested Application | FACS, IHC-P |
| Host | Rabbit |
| Clonality | Polyclonal |
| Isotype | IgG |
| Target Name | MPP1 |
| Antigen Species | Human |
| Immunogen | KLH-conjugated synthetic peptide corresponding to aa. 301-327 of Human MPP1. |
| Conjugation | Un-conjugated |
| Alternate Names | AAG12; PEMP; DXS552E; EMP55; Membrane protein, palmitoylated 1; p55; MRG1; 55 kDa erythrocyte membrane protein |
Application Instructions
| Application Suggestion |
|
||||||
|---|---|---|---|---|---|---|---|
| Application Note | * The dilutions indicate recommended starting dilutions and the optimal dilutions or concentrations should be determined by the scientist. |
Properties
| Form | Liquid |
|---|---|
| Purification | Purification with Protein A and immunogen peptide. |
| Buffer | PBS and 0.09% (W/V) Sodium azide. |
| Preservative | 0.09% (W/V) Sodium azide |
| Storage Instruction | For continuous use, store undiluted antibody at 2-8°C for up to a week. For long-term storage, aliquot and store at -20°C or below. Storage in frost free freezers is not recommended. Avoid repeated freeze/thaw cycles. Suggest spin the vial prior to opening. The antibody solution should be gently mixed before use. |
| Note | For laboratory research only, not for drug, diagnostic or other use. |
Bioinformation
| Database Links |
Swiss-port # Q00013 Human 55 kDa erythrocyte membrane protein |
|---|---|
| Gene Symbol | MPP1 |
| Gene Full Name | membrane protein, palmitoylated 1, 55kDa |
| Background | This gene encodes the prototype of the membrane-associated guanylate kinase (MAGUK) family proteins. MAGUKs interact with the cytoskeleton and regulate cell proliferation, signaling pathways, and intercellular junctions. The encoded protein is an extensively palmitoylated membrane phosphoprotein containing a PDZ domain, a Src homology 3 (SH3) motif, and a guanylate kinase domain. This gene product interacts with various cytoskeletal proteins and cell junctional proteins in different tissue and cell types, and may be involved in the regulation of cell shape, hair cell development, neural patterning of the retina, and apico-basal polarity and tumor suppression pathways in non-erythroid cells. Multiple transcript variants encoding different isoforms have been found for this gene. [provided by RefSeq, Oct 2009] |
| Function | Essential regulator of neutrophil polarity. Regulates neutrophil polarization by regulating AKT1 phosphorylation through a mechanism that is independent of PIK3CG activity (By similarity). [UniProt] |
| Cellular Localization | Membrane; Lipid-anchor. Cell projection, stereocilium. Note=Colocalizes with WHRN at stereocilium tip during hair cell development (By similarity). Colocalizes with MPP5 in the retina, at the outer limiting membrane (OLM). Colocalizes with WHRN in the retina, at the outer limiting membrane (OLM), outer plexifirm layer (OPL), basal bodies and at the connecting cilium (CC). Colocalizes with NF2 in non-myelin-forming Schwann cells. [UniProt] |
| Calculated MW | 52 kDa |
| PTM | Extensively palmitoylated by ZDHHC17, palmitoylation is essential for membrane organization and is crucial for proper erythrocytes morphology. [UniProt] |
Images (2) Click the Picture to Zoom In
-
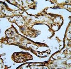
ARG58994 anti-MPP1 antibody IHC-P image
Immunohistochemistry: Formalin-fixed and paraffin-embedded Human placenta tissue stained with ARG58994 anti-MPP1 antibody.
-
ARG58994 anti-MPP1 antibody FACS image
Flow Cytometry: Jurkat cells stained with ARG58994 anti-MPP1 antibody (right histogram) or without primary antibody as control (left histogram), followed by FITC-labelled secondary antibody.
