ARG42225
anti-MPV17 antibody
anti-MPV17 antibody for IHC-Formalin-fixed paraffin-embedded sections,Western blot and Human
Overview
| Product Description | Goat Polyclonal antibody recognizes MPV17 |
|---|---|
| Tested Reactivity | Hu |
| Predict Reactivity | Ms, Rat, Cow, Dog |
| Tested Application | IHC-P, WB |
| Host | Goat |
| Clonality | Polyclonal |
| Isotype | IgG |
| Target Name | MPV17 |
| Antigen Species | Human |
| Immunogen | Synthetic peptide around the internal region of Human MPV17. (C-QRALAAHPWKVQ) (NP_002428.1) |
| Conjugation | Un-conjugated |
| Alternate Names | SYM1; Protein Mpv17; MTDPS6 |
Application Instructions
| Application Suggestion |
|
||||||
|---|---|---|---|---|---|---|---|
| Application Note | IHC-P: Antigen Retrieval: Steam tissue section in Citrate buffer (pH 6.0). WB: Recommend incubate at RT for 1h. * The dilutions indicate recommended starting dilutions and the optimal dilutions or concentrations should be determined by the scientist. |
||||||
| Positive Control | Human frontal cortex | ||||||
| Observed Size | ~ 19 kDa |
Properties
| Form | Liquid |
|---|---|
| Purification | Affinity purified |
| Buffer | Tris saline (pH 7.3), 0.02% Sodium azide and 0.5% BSA. |
| Preservative | 0.02% Sodium azide |
| Stabilizer | 0.5% BSA |
| Concentration | 0.5 mg/ml |
| Storage Instruction | For continuous use, store undiluted antibody at 2-8°C for up to a week. For long-term storage, aliquot and store at -20°C or below. Storage in frost free freezers is not recommended. Avoid repeated freeze/thaw cycles. Suggest spin the vial prior to opening. The antibody solution should be gently mixed before use. |
| Note | For laboratory research only, not for drug, diagnostic or other use. |
Bioinformation
| Database Links | |
|---|---|
| Gene Symbol | MPV17 |
| Gene Full Name | MpV17 mitochondrial inner membrane protein |
| Background | This gene encodes a mitochondrial inner membrane protein that is implicated in the metabolism of reactive oxygen species. Mutations in this gene have been associated with the hepatocerebral form of mitochondrial DNA depletion syndrome (MDDS). [provided by RefSeq, Jul 2008] |
| Function | Non-selective channel that modulates the membrane potential under normal conditions and oxidative stress, and is involved in mitochondrial homeostasis (PubMed:25861990). Involved in mitochondrial deoxynucleoside triphosphates (dNTP) pool homeostasis and mitochondrial DNA (mtDNA) maintenance (PubMed:26760297). May be involved in the regulation of reactive oxygen species metabolism and the control of oxidative phosphorylation (By similarity). [UniProt] |
| Cellular Localization | Mitochondrion inner membrane; Multi-pass membrane protein. [UniProt] |
| Calculated MW | 20 kDa |
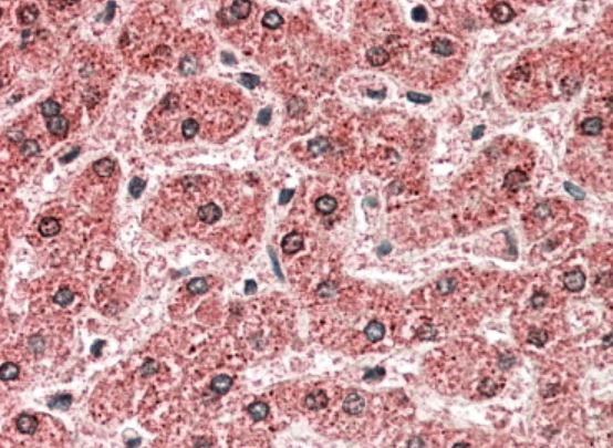
Images (2) Click the Picture to Zoom In
-
ARG42225 anti-MPV17 antibody IHC-P image
Immunohistochemistry: Paraffin-embedded Human liver tissue. Antigen Retrieval: Steam tissue section in Citrate buffer (pH 6.0). The tissue section was stained with ARG42225 anti-MPV17 antibody at 5 µg/ml dilution followed by AP-staining.
-
ARG42225 anti-MPV17 antibody WB image
Western blot: 35 µg of Human frontal cortex lysate (in RIPA buffer) stained with ARG42225 anti-MPV17 antibody at 2 µg/ml dilution and incubated at RT for 1 hour.
