ARG41268
anti-MRPP3 antibody
anti-MRPP3 antibody for IHC-Formalin-fixed paraffin-embedded sections,Western blot and Human
Overview
| Product Description | Rabbit Polyclonal antibody recognizes MRPP3 |
|---|---|
| Tested Reactivity | Hu |
| Tested Application | IHC-P, WB |
| Host | Rabbit |
| Clonality | Polyclonal |
| Isotype | IgG |
| Target Name | MRPP3 |
| Antigen Species | Human |
| Immunogen | Recombinant protein corresponding to aa. 314-583 of Human MRPP3. |
| Conjugation | Un-conjugated |
| Alternate Names | MRPP3; Mitochondrial RNase P protein 3; PRORP; Mitochondrial ribonuclease P protein 3 |
Application Instructions
| Application Suggestion |
|
||||||
|---|---|---|---|---|---|---|---|
| Application Note | * The dilutions indicate recommended starting dilutions and the optimal dilutions or concentrations should be determined by the scientist. | ||||||
| Observed Size | ~ 65 kDa |
Properties
| Form | Liquid |
|---|---|
| Purification | Affinity purification with immunogen. |
| Buffer | PBS (pH 7.3), 0.02% Sodium azide and 50% Glycerol. |
| Preservative | 0.02% Sodium azide |
| Stabilizer | 50% Glycerol |
| Storage Instruction | For continuous use, store undiluted antibody at 2-8°C for up to a week. For long-term storage, aliquot and store at -20°C. Storage in frost free freezers is not recommended. Avoid repeated freeze/thaw cycles. Suggest spin the vial prior to opening. The antibody solution should be gently mixed before use. |
| Note | For laboratory research only, not for drug, diagnostic or other use. |
Bioinformation
| Database Links |
Swiss-port # O15091 Human Mitochondrial ribonuclease P protein 3 |
|---|---|
| Gene Symbol | KIAA0391 |
| Gene Full Name | KIAA0391 |
| Function | Functions in mitochondrial tRNA maturation. Part of mitochondrial ribonuclease P, an enzyme composed of MRPP1/TRMT10C, MRPP2/HSD17B10 and MRPP3/KIAA0391, which cleaves tRNA molecules in their 5'-ends. [UniProt] |
| Cellular Localization | Mitochondrion. [UniProt] |
| Calculated MW | 67 kDa |
Images (3) Click the Picture to Zoom In
-
ARG41268 anti-MRPP3 antibody IHC-P image
Immunohistochemistry: Paraffin-embedded Human colon cancer tissue stained with ARG41268 anti-MRPP3 antibody at 1:100 dilution.
-
ARG41268 anti-MRPP3 antibody WB image
Western blot: LO2 and 293T whole cell lysates stained with ARG41268 anti-MRPP3 antibody at 1 µg/ml dilution.
-
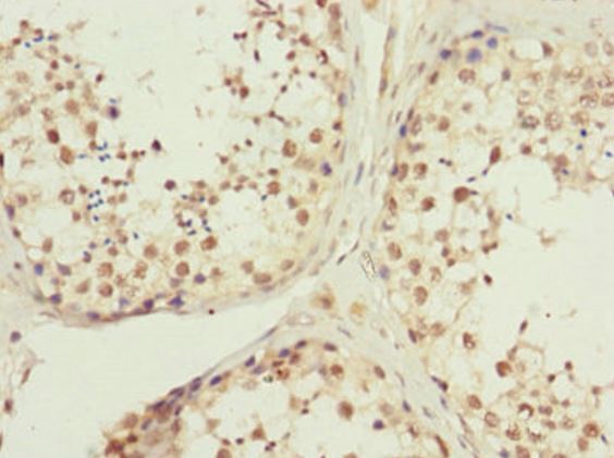
ARG41268 anti-MRPP3 antibody IHC-P image
Immunohistochemistry: Paraffin-embedded Human testis tissue stained with ARG41268 anti-MRPP3 antibody at 1:100 dilution.
