ARG45235
anti-MRPS18B antibody
anti-MRPS18B antibody for Flow cytometry,ICC/IF,IHC-Formalin-fixed paraffin-embedded sections,Western blot and Human
Overview
| Product Description | Polyclonal antibody recognizes MRPS18B |
|---|---|
| Tested Reactivity | Hu |
| Tested Application | FACS, ICC/IF, IHC-P, WB |
| Host | Rabbit |
| Clonality | Polyclonal |
| Isotype | IgG |
| Target Name | MRPS18B |
| Antigen Species | Human |
| Immunogen | Recombinant protein containing to human MRPS18B. |
| Conjugation | Un-conjugated |
| Alternate Names | MRPS18B; Mitochondrial Ribosomal Protein S18B; C6orf14; MRPS18-2; HSPC183; PTD017; MS40; 28S Ribosomal Protein S18-2, Mitochondrial; 28S Ribosomal Protein S18b, Mitochondrial; Small Ribosomal Subunit Protein BS18b; Small Ribosomal Subunit Protein MS40; MRP-S18-2; MRP-S18-B; Mrps18-B; S18mt-B; Mitochondrial Small Ribosomal Subunit Protein BS18m-B; Mitochondrial Small Ribosomal Subunit Protein BS18b; Mitochondrial Small Ribosomal Subunit Protein MS40; Mitochondrial Ribosomal Protein S18-2; HumanS18a; S18amt |
Application Instructions
| Application Suggestion |
|
||||||||||
|---|---|---|---|---|---|---|---|---|---|---|---|
| Application Note | * The dilutions indicate recommended starting dilutions and the optimal dilutions or concentrations should be determined by the scientist. | ||||||||||
| Observed Size | 26 kDa |
Properties
| Form | Liquid |
|---|---|
| Purification | Affinity purification with immunogen. |
| Buffer | 0.2% Na2HPO4, 0.9% NaCl and 4% Trehalose. |
| Stabilizer | 4% Trehalose |
| Concentration | 0.5 mg/ml |
| Storage Instruction | For continuous use, store undiluted antibody at 2-8°C for up to a week. For long-term storage, aliquot and store at -20°C or below. Storage in frost free freezers is not recommended. Avoid repeated freeze/thaw cycles. Suggest spin the vial prior to opening. The antibody solution should be gently mixed before use. |
| Note | For laboratory research only, not for drug, diagnostic or other use. |
Bioinformation
| Database Links |
Swiss-port # Q9Y676 Human 28S ribosomal protein S18b, mitochondrial |
|---|---|
| Gene Symbol | MRPS18B |
| Gene Full Name | Mitochondrial Ribosomal Protein S18B |
| Background | Mammalian mitochondrial ribosomal proteins are encoded by nuclear genes and help in protein synthesis within the mitochondrion. Mitochondrial ribosomes (mitoribosomes) consist of a small 28S subunit and a large 39S subunit. They have an estimated 75% protein to rRNA composition compared to prokaryotic ribosomes, where this ratio is reversed. Another difference between mammalian mitoribosomes and prokaryotic ribosomes is that the latter contain a 5S rRNA. Among different species, the proteins comprising the mitoribosome differ greatly in sequence, and sometimes in biochemical properties, which prevents easy recognition by sequence homology. This gene encodes a 28S subunit protein that belongs to the ribosomal protein S18P family. The encoded protein is one of three that has significant sequence similarity to bacterial S18 proteins. The primary sequences of the three human mitochondrial S18 proteins are no more closely related to each other than they are to the prokaryotic S18 proteins. Pseudogenes corresponding to this gene are found on chromosomes 1q and 2q. [provided by RefSeq, Jul 2008] |
| Function | There are 3 mitochondrial isoforms of bS18 in mammalia, localizing to 3 distinct sites in the mitoribosome. bS18m (bs18c) binds to the same site as bacterial bS18, mS40 (bS18b, this protein) binds to a novel location of the 28S small subunit, and mL66 (bS18a) binds to the 39S large subunit.. [UniProt] |
| Cellular Localization | Mitochondrion. [UniProt] |
| Calculated MW | 29 kDa |
| PTM | Phosphoprotein. [UniProt] |
Images (4) Click the Picture to Zoom In
-
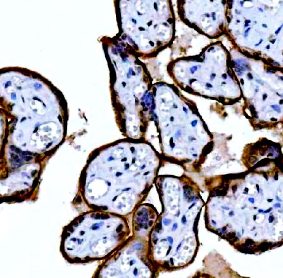
ARG45235 anti-MRPS18B antibody IHC-P image
Immunohistochemistry: Human placenta stained with ARG45235 anti-MRPS18B antibody at 2 μg/ml dilution.
-
ARG45235 anti-MRPS18B antibody ICC/IF image
Immunofluorescence: T47D stained with ARG45235 anti-MRPS18B antibody at 5 ug/ml dilution.
-
ARG45235 anti-MRPS18B antibody WB image
Western blot: A549, 293T, and MCF-7 stained with ARG45235 anti-MRPS18B antibody at 0.5 μg/ml dilution.
-
ARG45235 anti-MRPS18B antibody FACS image
Flow Cytometry: Hela stained with ARG45235 anti-MRPS18B antibody at 1 µg/10^6 cells dilution.
