ARG45236
anti-MRPS22 antibody
anti-MRPS22 antibody for Flow cytometry,ICC/IF,IHC-Formalin-fixed paraffin-embedded sections,Western blot and Human
Overview
| Product Description | Polyclonal antibody recognizes MRPS22 |
|---|---|
| Tested Reactivity | Hu |
| Tested Application | FACS, ICC/IF, IHC-P, WB |
| Host | Rabbit |
| Clonality | Polyclonal |
| Isotype | IgG |
| Target Name | MRPS22 |
| Antigen Species | Human |
| Immunogen | Recombinant protein containing to human MRPS22. |
| Conjugation | Un-conjugated |
| Alternate Names | MRPS22; mitochondrial ribosomal protein S22; C3orf5; S22mt; GIBT; MRP-S22; COXPD5; RPMS22; GK002; 28S ribosomal protein S22, mitochondrial |
Application Instructions
| Application Suggestion |
|
||||||||||
|---|---|---|---|---|---|---|---|---|---|---|---|
| Application Note | * The dilutions indicate recommended starting dilutions and the optimal dilutions or concentrations should be determined by the scientist. | ||||||||||
| Observed Size | 38 kDa |
Properties
| Form | Liquid |
|---|---|
| Purification | Affinity purification with immunogen. |
| Buffer | 0.2% Na2HPO4, 0.9% NaCl and 4% Trehalose. |
| Stabilizer | 4% Trehalose |
| Concentration | 0.5 mg/ml |
| Storage Instruction | For continuous use, store undiluted antibody at 2-8°C for up to a week. For long-term storage, aliquot and store at -20°C or below. Storage in frost free freezers is not recommended. Avoid repeated freeze/thaw cycles. Suggest spin the vial prior to opening. The antibody solution should be gently mixed before use. |
| Note | For laboratory research only, not for drug, diagnostic or other use. |
Bioinformation
| Database Links |
Swiss-port # P82650 Human 28S ribosomal protein S22, mitochondrial |
|---|---|
| Gene Symbol | MRPS22 |
| Gene Full Name | mitochondrial ribosomal protein S22 |
| Background | Mammalian mitochondrial ribosomal proteins are encoded by nuclear genes and help in protein synthesis within the mitochondrion. Mitochondrial ribosomes (mitoribosomes) consist of a small 28S subunit and a large 39S subunit. They have an estimated 75% protein to rRNA composition compared to prokaryotic ribosomes, where this ratio is reversed. Another difference between mammalian mitoribosomes and prokaryotic ribosomes is that the latter contain a 5S rRNA. Among different species, the proteins comprising the mitoribosome differ greatly in sequence, and sometimes in biochemical properties, which prevents easy recognition by sequence homology. This gene encodes a 28S subunit protein that does not seem to have a counterpart in prokaryotic and fungal-mitochondrial ribosomes. This gene lies telomeric of and is transcribed in the opposite direction from the forkhead box L2 gene. A pseudogene corresponding to this gene is found on chromosome Xq. [provided by RefSeq, Jul 2008] |
| Cellular Localization | Mitochondrion. [UniProt] |
| Calculated MW | 41 kDa |
| PTM | Acetylation ; Phosphoprotein. [UniProt] |
Images (4) Click the Picture to Zoom In
-
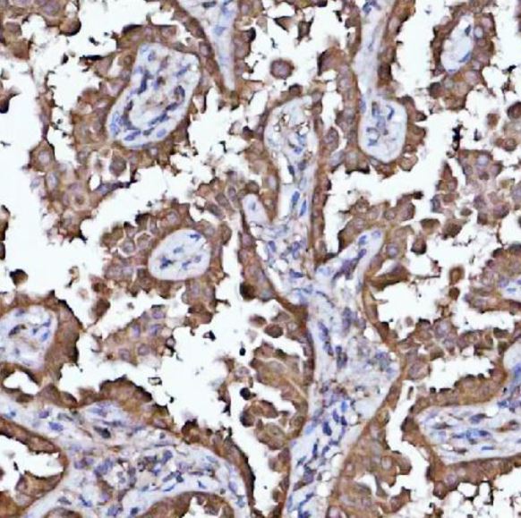
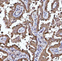
ARG45236 anti-MRPS22 antibody IHC-P image
Immunohistochemistry: Human lung cancer stained with ARG45236 anti-MRPS22 antibody at 2 μg/ml dilution.
-
ARG45236 anti-MRPS22 antibody ICC/IF image
Immunofluorescence: MRPS22 stained with ARG45236 anti-MRPS22 antibody at 5 ug/ml dilution.
-
ARG45236 anti-MRPS22 antibody WB image
Western blot: K562, CACO-2, and Hacat stained with ARG45236 anti-MRPS22 antibody at 0.5 μg/ml dilution.
-
ARG45236 anti-MRPS22 antibody FACS image
Flow Cytometry: Hela stained with ARG45236 anti-MRPS22 antibody at 1 µg/10^6 cells dilution.
