ARG63182
anti-MST4 antibody
anti-MST4 antibody for IHC-Formalin-fixed paraffin-embedded sections,Western blot and Human
Signaling Transduction antibody
Overview
| Product Description | Goat Polyclonal antibody recognizes MST4 |
|---|---|
| Tested Reactivity | Hu |
| Predict Reactivity | Ms, Rat, Cow, Dog, Pig |
| Tested Application | IHC-P, WB |
| Specificity | This antibody is expected to recognize all three reported isoforms (NP_057626.2, NP_001035918.1 and NP_001035917.1). |
| Host | Goat |
| Clonality | Polyclonal |
| Isotype | IgG |
| Target Name | MST4 |
| Antigen Species | Human |
| Immunogen | KLIEKFQKCSADESP |
| Conjugation | Un-conjugated |
| Alternate Names | Serine/threonine-protein kinase MASK; MST3 and SOK1-related kinase; MST4; STE20-like kinase MST4; MASK; MST-4; Mammalian STE20-like protein kinase 4; EC 2.7.11.1; Serine/threonine-protein kinase 26 |
Application Instructions
| Application Suggestion |
|
||||||
|---|---|---|---|---|---|---|---|
| Application Note | WB: Recommend incubate at RT for 1h. IHC-P: Antigen Retrieval: Steam tissue section in Citrate buffer (pH 6.0). * The dilutions indicate recommended starting dilutions and the optimal dilutions or concentrations should be determined by the scientist. |
Properties
| Form | Liquid |
|---|---|
| Purification | Purified from goat serum by antigen affinity chromatography. |
| Buffer | Tris saline (pH 7.3), 0.02% Sodium azide and 0.5% BSA. |
| Preservative | 0.02% Sodium azide |
| Stabilizer | 0.5% BSA |
| Concentration | 0.5 mg/ml |
| Storage Instruction | For continuous use, store undiluted antibody at 2-8°C for up to a week. For long-term storage, aliquot and store at -20°C or below. Storage in frost free freezers is not recommended. Avoid repeated freeze/thaw cycles. Suggest spin the vial prior to opening. The antibody solution should be gently mixed before use. |
| Note | For laboratory research only, not for drug, diagnostic or other use. |
Bioinformation
| Database Links |
Swiss-port # Q9P289 Human Serine/threonine-protein kinase 26 |
|---|---|
| Background | The product of this gene is a member of the GCK group III family of kinases, which are a subset of the Ste20-like kinases. The encoded protein contains an amino-terminal kinase domain, and a carboxy-terminal regulatory domain that mediates homodimerization. The protein kinase localizes to the Golgi apparatus and is specifically activated by binding to the Golgi matrix protein GM130. It is also cleaved by caspase-3 in vitro, and may function in the apoptotic pathway. Several alternatively spliced transcript variants of this gene have been described, but the full-length nature of some of these variants has not been determined. [provided by RefSeq, Jul 2008] |
| Research Area | Signaling Transduction antibody |
| Calculated MW | 47 kDa |
Images (2) Click the Picture to Zoom In
-
ARG63182 anti-MST4 antibody WB image
Western Blot: Jurkat lysate (RIPA buffer, 35 µg total protein per lane) stained with ARG63182 anti-MST4 antibody at 0.5 µg/ml dilution.
-
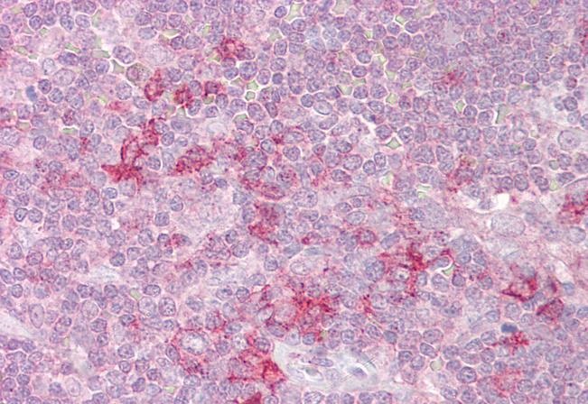
ARG63182 anti-MST4 antibody IHC-P image
Immunohistochemistry: Paraffin-embedded Human thymus tissue. Antigen Retrieval: Steam tissue section in Citrate buffer (pH 6.0). The tissue section was stained with ARG63182 anti-MST4 antibody at 2.5 µg/ml dilution followed by AP-staining.
