ARG45914
anti-MSTO1 antibody
anti-MSTO1 antibody for Western blot,IHC-Formalin-fixed paraffin-embedded sections,Flow cytometry and Human
Overview
| Product Description | Rabbit Polyclonal antibody recognizes MSTO1 |
|---|---|
| Tested Reactivity | Hu |
| Tested Application | FACS, IHC-P, WB |
| Host | Rabbit |
| Clonality | Polyclonal |
| Isotype | IgG |
| Target Name | MSTO1 |
| Antigen Species | Human |
| Immunogen | Recombinant protein containing to human MSTO1. |
| Conjugation | Un-conjugated |
| Alternate Names | Misato Mitochondrial Distribution And Morphology Regulator 1; MSTO1; LST005; SLTP005; Protein misato homolog 1 |
Application Instructions
| Application Suggestion |
|
||||||||
|---|---|---|---|---|---|---|---|---|---|
| Application Note | * The dilutions indicate recommended starting dilutions and the optimal dilutions or concentrations should be determined by the scientist. | ||||||||
| Observed Size | 62 kDa |
Properties
| Form | Liquid |
|---|---|
| Purification | Affinity chromatography purified |
| Buffer | 0.2% Na2HPO4, 0.9% NaCl and 4% Trehalose. |
| Stabilizer | 4% Trehalose |
| Concentration | 0.5 mg/ml |
| Storage Instruction | For continuous use, store undiluted antibody at 2-8°C for up to a week. For long-term storage, aliquot and store at -22°C or below. Storage in frost free freezers is not recommended. Avoid repeated freeze/thaw cycles. Suggest spin the vial prior to opening. The antibody solution should be gently mixed before use. |
| Note | For laboratory research only, not for drug, diagnostic or other use. |
Bioinformation
| Database Links | |
|---|---|
| Gene Symbol | MSTO1 |
| Gene Full Name | Misato Mitochondrial Distribution And Morphology Regulator 1 |
| Background | Involved in mitochondrion distribution; mitochondrion organization; and positive regulation of mitochondrial fusion. Located in mitochondrial outer membrane. Is active in cytosol. [provided by Alliance of Genome Resources, Feb 2025] |
| Function | Involved in the regulation of mitochondrial distribution and morphology [UniProt] |
| Cellular Localization | Cytoplasm; Membrane; Mitochondrion; Mitochondrion outer membrane. [UniProt] |
| Calculated MW | 62 kDa |
| PTM | Phosphoprotein. [UniProt] |
Images (3) Click the Picture to Zoom In
-
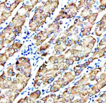
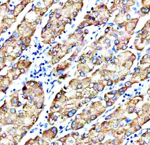
ARG45914 anti-MSTO1 antibody IHC-P image
Immunohistochemistry: Human liver cancer stained with ARG45914 anti-MSTO1 antibody at 2 μg/ml dilution.
-
ARG45914 anti-MSTO1 antibody WB image
Western blot: Hela stained with ARG45914 anti-MSTO1 antibody at 0.5 μg/ml dilution.
-
ARG45914 anti-MSTO1 antibody FACS image
Flow Cytometry: 293T stained with ARG45914 anti-MSTO1 antibody at 1 µg/10^6 cells dilution.
