ARG63586
anti-MSX1 antibody
anti-MSX1 antibody for IHC-Formalin-fixed paraffin-embedded sections,Western blot and Human
Developmental Biology antibody; Gene Regulation antibody; Neuroscience antibody
Overview
| Product Description | Goat Polyclonal antibody recognizes MSX1 |
|---|---|
| Tested Reactivity | Hu |
| Predict Reactivity | Ms, Rat, Cow, Pig |
| Tested Application | IHC-P, WB |
| Host | Goat |
| Clonality | Polyclonal |
| Isotype | IgG |
| Target Name | MSX1 |
| Antigen Species | Human |
| Immunogen | TSLPLGVKVEDS-C |
| Conjugation | Un-conjugated |
| Alternate Names | HYD1; Msh homeobox 1-like protein; HOX7; Homeobox protein Hox-7; Homeobox protein MSX-1; ECTD3; STHAG1 |
Application Instructions
| Application Suggestion |
|
||||||
|---|---|---|---|---|---|---|---|
| Application Note | IHC-P: Antigen Retrieval: Steam tissue section in Citrate buffer (pH 6.0). WB: Recommend incubate at RT for 1h. * The dilutions indicate recommended starting dilutions and the optimal dilutions or concentrations should be determined by the scientist. |
Properties
| Form | Liquid |
|---|---|
| Purification | Purified from goat serum by antigen affinity chromatography. |
| Buffer | Tris saline (pH 7.3), 0.02% Sodium azide and 0.5% BSA. |
| Preservative | 0.02% Sodium azide |
| Stabilizer | 0.5% BSA |
| Concentration | 0.5 mg/ml |
| Storage Instruction | For continuous use, store undiluted antibody at 2-8°C for up to a week. For long-term storage, aliquot and store at -20°C or below. Storage in frost free freezers is not recommended. Avoid repeated freeze/thaw cycles. Suggest spin the vial prior to opening. The antibody solution should be gently mixed before use. |
| Note | For laboratory research only, not for drug, diagnostic or other use. |
Bioinformation
| Database Links | |
|---|---|
| Background | This gene encodes a member of the muscle segment homeobox gene family. The encoded protein functions as a transcriptional repressor during embryogenesis through interactions with components of the core transcription complex and other homeoproteins. It may also have roles in limb-pattern formation, craniofacial development, particularly odontogenesis, and tumor growth inhibition. Mutations in this gene, which was once known as homeobox 7, have been associated with nonsyndromic cleft lip with or without cleft palate 5, Witkop syndrome, Wolf-Hirschom syndrome, and autosomoal dominant hypodontia. [provided by RefSeq, Jul 2008] |
| Research Area | Developmental Biology antibody; Gene Regulation antibody; Neuroscience antibody |
| Calculated MW | 31 kDa |
| PTM | Sumoylated by PIAS1, desumoylated by SENP1. |
Images (2) Click the Picture to Zoom In
-
ARG63586 anti-MSX1 antibody WB image
Western Blot: Human Prostate lysate (35 µg protein in RIPA buffer) stained with ARG63586 anti-MSX1 antibody at 0.3 µg/ml dilution.
-
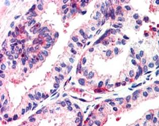
ARG63586 anti-MSX1 antibody IHC-P image
Immunohistochemistry: paraffin embedded Human Prostate. (Steamed antigen retrieval with citrate buffer pH 6) stained with ARG63586 anti-MSX1 antibody at 2.5 µg/ml dilution followed by AP-staining.
