ARG45906
anti-MT antibody
anti-MT antibody for Western blot,IHC-Formalin-fixed paraffin-embedded sections,ICC/IF,Immunoprecipitation,Flow cytometry and Human,Mouse,Rat
Overview
| Product Description | Rabbit Polyclonal antibody recognizes MT |
|---|---|
| Tested Reactivity | Hu, Ms, Rat |
| Tested Application | FACS, ICC/IF, IHC-P, IP, WB |
| Host | Rabbit |
| Clonality | Polyclonal |
| Isotype | IgG |
| Target Name | MT |
| Antigen Species | Human |
| Immunogen | Recombinant protein containing to human MT. |
| Conjugation | Un-conjugated |
| Alternate Names | MCAT; MT; Malonyl-CoA-acyl carrier protein transacylase, mitochondrial; MCT; EC 2.3.1.39; Mitochondrial malonyl CoA:ACP acyltransferase; Mitochondrial malonyltransferase; [Acyl-carrier-protein] malonyltransferase |
Application Instructions
| Application Suggestion |
|
||||||||||||
|---|---|---|---|---|---|---|---|---|---|---|---|---|---|
| Application Note | * The dilutions indicate recommended starting dilutions and the optimal dilutions or concentrations should be determined by the scientist. | ||||||||||||
| Observed Size | 39 kDa |
Properties
| Form | Liquid |
|---|---|
| Purification | Affinity chromatography purified |
| Buffer | 0.2% Na2HPO4, 0.9% NaCl and 4% Trehalose. |
| Stabilizer | 4% Trehalose |
| Concentration | 0.5 mg/ml |
| Storage Instruction | For continuous use, store undiluted antibody at 2-8°C for up to a week. For long-term storage, aliquot and store at -22°C or below. Storage in frost free freezers is not recommended. Avoid repeated freeze/thaw cycles. Suggest spin the vial prior to opening. The antibody solution should be gently mixed before use. |
| Note | For laboratory research only, not for drug, diagnostic or other use. |
Bioinformation
| Database Links | |
|---|---|
| Gene Symbol | MCAT |
| Gene Full Name | Malonyl-CoA-Acyl Carrier Protein Transacylase |
| Background | The protein encoded by this gene is found exclusively in the mitochondrion, where it catalyzes the transfer of a malonyl group from malonyl-CoA to the mitochondrial acyl carrier protein. The encoded protein may be part of a fatty acid synthase complex that is more like the type II prokaryotic and plastid complexes rather than the type I human cytosolic complex. Alternative splicing results in multiple transcript variants encoding different isoforms. [provided by RefSeq, Mar 2012] |
| Function | Catalyzes the transfer of a malonyl moiety from malonyl-CoA to the free thiol group of the phosphopantetheine arm of the mitochondrial ACP protein (NDUFAB1) [UniProt] |
| Cellular Localization | Mitochondrion. [UniProt] |
| Calculated MW | 43 kDa |
Images (7) Click the Picture to Zoom In
-
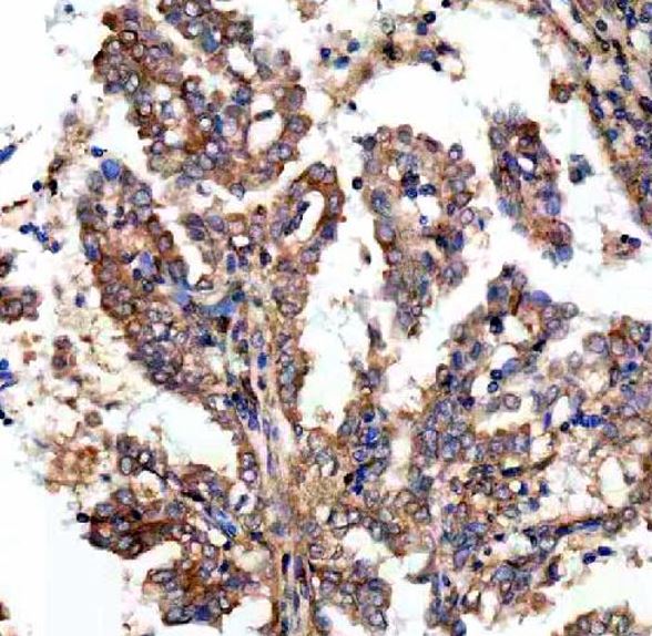
ARG45906 anti-MT antibody IHC-P image
Immunohistochemistry: Human lung cancer stained with ARG45906 anti-MT antibody at 2 μg/ml dilution.
-
ARG45906 anti-MT antibody ICC/IF image
Immunofluorescence: Hela stained with ARG45906 anti-MT antibody at 5 μg/ml dilution.
-
ARG45906 anti-MT antibody WB image
Western blot: 293T stained with ARG45906 anti-MT antibody at 0.5 μg/ml dilution.
-
ARG45906 anti-MT antibody IP image
Immunoprecipitation: MCAT lysate immunoprecipitated with 2 μg ARG45906 anti-MT antibody.
-
ARG45906 anti-MT antibody FACS image
Flow Cytometry: RT4 stained with ARG45906 anti-MT antibody at 1 µg/10^6 cells dilution.
-
ARG45906 anti-MT antibody IHC-P image
Immunohistochemistry: Rat eye stained with ARG45906 anti-MT antibody at 2 μg/ml dilution.
-
ARG45906 anti-MT antibody IHC-P image
Immunohistochemistry: Mouse eye stained with ARG45906 anti-MT antibody at 2 μg/ml dilution.
