ARG63173
anti-MTMR9 antibody
anti-MTMR9 antibody for Flow cytometry,ICC/IF,IHC-Formalin-fixed paraffin-embedded sections and Rat
Signaling Transduction antibody
Overview
| Product Description | Goat Polyclonal antibody recognizes MTMR9 |
|---|---|
| Tested Reactivity | Rat |
| Predict Reactivity | Hu, Ms, Cow, Dog, Pig |
| Tested Application | FACS, ICC/IF, IHC-P |
| Host | Goat |
| Clonality | Polyclonal |
| Isotype | IgG |
| Target Name | MTMR9 |
| Antigen Species | Human |
| Immunogen | C-AELETEDGMQESP |
| Conjugation | Un-conjugated |
| Alternate Names | Myotubularin-related protein 9; LIP-STYX; C8orf9; MTMR8 |
Application Instructions
| Application Suggestion |
|
||||||||
|---|---|---|---|---|---|---|---|---|---|
| Application Note | IHC-P: Antigen Retrieval: Steam tissue section in Citrate buffer (pH 6.0). * The dilutions indicate recommended starting dilutions and the optimal dilutions or concentrations should be determined by the scientist. |
Properties
| Form | Liquid |
|---|---|
| Purification | Purified from goat serum by antigen affinity chromatography. |
| Buffer | Tris saline (pH 7.3), 0.02% Sodium azide and 0.5% BSA. |
| Preservative | 0.02% Sodium azide |
| Stabilizer | 0.5% BSA |
| Concentration | 0.5 mg/ml |
| Storage Instruction | For continuous use, store undiluted antibody at 2-8°C for up to a week. For long-term storage, aliquot and store at -20°C or below. Storage in frost free freezers is not recommended. Avoid repeated freeze/thaw cycles. Suggest spin the vial prior to opening. The antibody solution should be gently mixed before use. |
| Note | For laboratory research only, not for drug, diagnostic or other use. |
Bioinformation
| Background | This gene encodes a myotubularin-related protein that is atypical to most other members of the myotubularin-related protein family because it has no dual-specificity phosphatase domain. The encoded protein contains a double-helical motif similar to the SET interaction domain, which is thought to have a role in the control of cell proliferation. In mouse, a protein similar to the encoded protein binds with MTMR7, and together they dephosphorylate phosphatidylinositol 3-phosphate and inositol 1,3-bisphosphate. [provided by RefSeq, Jul 2008] |
|---|---|
| Research Area | Signaling Transduction antibody |
| Calculated MW | 63 kDa |
Images (3) Click the Picture to Zoom In
-
ARG63173 anti-MTMR9 antibody ICC/IF image
Immunofluorescence: A549 stained with ARG63173 anti-MTMR9 antibody at 10ug/ml dilution.
-
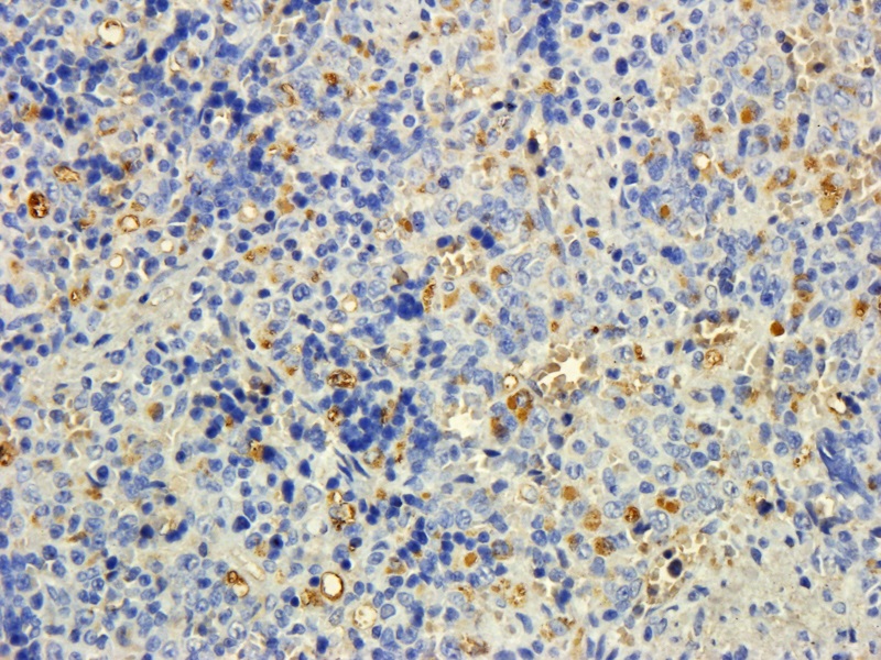
ARG63173 anti-MTMR9 antibody IHC-P image
Immunohistochemistry: Paraffin-embedded Rat spleen tissue. Antigen Retrieval: Steam tissue section in Citrate buffer (pH 6.0). The tissue section was stained with ARG63173 anti-MTMR9 antibody at 5 µg/ml dilution followed by DAB-staining.
-
ARG63173 anti-MTMR9 antibody FACS image
Flow Cytometry: A549 stained with ARG63173 anti-MTMR9 antibody at 10ug/ml dilution.
