ARG41678
anti-MUC2 / Mucin 2 antibody
anti-MUC2 / Mucin 2 antibody for IHC-Formalin-fixed paraffin-embedded sections and Human,Mouse,Rat
Overview
| Product Description | Rabbit Polyclonal antibody recognizes MUC2 / Mucin 2 |
|---|---|
| Tested Reactivity | Hu, Ms, Rat |
| Tested Application | IHC-P |
| Host | Rabbit |
| Clonality | Polyclonal |
| Isotype | IgG |
| Target Name | MUC2 / Mucin 2 |
| Antigen Species | Human |
| Immunogen | Synthetic peptide corresponding to a sequence of Human MUC2 / Mucin 2. (DDFKTASGLVEATGAGFANTWKAQSTCHDKLDWLDD) |
| Conjugation | Un-conjugated |
| Alternate Names | MUC-2; MLP; Intestinal mucin-2; SMUC; Mucin-2 |
Application Instructions
| Application Suggestion |
|
||||
|---|---|---|---|---|---|
| Application Note | IHC-P: Antigen Retrieval: Heat mediation was performed in Citrate buffer (pH 6.0, epitope retrieval solution) for 20 min. * The dilutions indicate recommended starting dilutions and the optimal dilutions or concentrations should be determined by the scientist. |
Properties
| Form | Liquid |
|---|---|
| Buffer | 0.2% Na2HPO4, 0.9% NaCl, 0.05% Sodium azide and 4% Trehalose. |
| Preservative | 0.05% Sodium azide |
| Stabilizer | 4% Trehalose |
| Concentration | 0.5 mg/ml |
| Storage Instruction | For continuous use, store undiluted antibody at 2-8°C for up to a week. For long-term storage, aliquot and store at -20°C or below. Storage in frost free freezers is not recommended. Avoid repeated freeze/thaw cycles. Suggest spin the vial prior to opening. The antibody solution should be gently mixed before use. |
| Note | For laboratory research only, not for drug, diagnostic or other use. |
Bioinformation
| Database Links | |
|---|---|
| Gene Symbol | MUC2 |
| Gene Full Name | mucin 2, oligomeric mucus/gel-forming |
| Background | This gene encodes a member of the mucin protein family. Mucins are high molecular weight glycoproteins produced by many epithelial tissues. The protein encoded by this gene is secreted and forms an insoluble mucous barrier that protects the gut lumen. The protein polymerizes into a gel of which 80% is composed of oligosaccharide side chains by weight. The protein features a central domain containing tandem repeats rich in threonine and proline that varies between 50 and 115 copies in different individuals. Alternatively spliced transcript variants of this gene have been described, but their full-length nature is not known. [provided by RefSeq, Jul 2008] |
| Function | Coats the epithelia of the intestines, airways, and other mucus membrane-containing organs. Thought to provide a protective, lubricating barrier against particles and infectious agents at mucosal surfaces. Major constituent of both the inner and outer mucus layers of the colon and may play a role in excluding bacteria from the inner mucus layer. [UniProt] |
| Calculated MW | 540 kDa |
| PTM | O-glycosylated. May undergo proteolytic cleavage in the outer mucus layer of the colon, contributing to the expanded volume and loose nature of this layer which allows for bacterial colonization in contrast to the inner mucus layer which is dense and devoid of bacteria. At low pH of 6 and under, undergoes autocatalytic cleavage in vitro in the N-terminal region of the fourth VWD domain. It is likely that this also occurs in vivo and is triggered by the low pH of the late secretory pathway. [UniProt] |
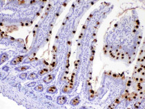
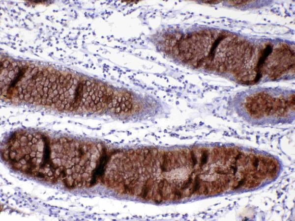
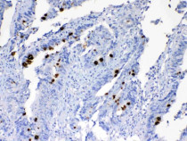
Images (8) Click the Picture to Zoom In
-
ARG41678 anti-MUC2 / Mucin 2 antibody IHC-P image
Immunohistochemistry: Paraffin-embedded Mouse small intestine tissue. Antigen Retrieval: Heat mediation was performed in Citrate buffer (pH 6.0, epitope retrieval solution) for 20 min. The tissue section was blocked with 10% goat serum. The tissue section was then stained with ARG41678 anti-MUC2 / Mucin 2 antibody at 1 µg/ml dilution, overnight at 4°C.
-
ARG41678 anti-MUC2 / Mucin 2 antibody IHC-P image
Immunohistochemistry: Paraffin-embedded Rat small intestine tissue. Antigen Retrieval: Heat mediation was performed in Citrate buffer (pH 6.0, epitope retrieval solution) for 20 min. The tissue section was blocked with 10% goat serum. The tissue section was then stained with ARG41678 anti-MUC2 / Mucin 2 antibody at 1 µg/ml dilution, overnight at 4°C.
-
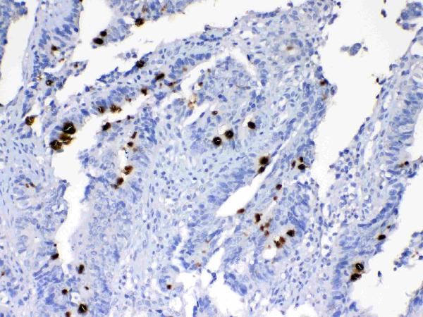
ARG41678 anti-MUC2 / Mucin 2 antibody IHC-P image
Immunohistochemistry: Paraffin-embedded Human rectal cancer tissue. Antigen Retrieval: Heat mediation was performed in Citrate buffer (pH 6.0, epitope retrieval solution) for 20 min. The tissue section was blocked with 10% goat serum. The tissue section was then stained with ARG41678 anti-MUC2 / Mucin 2 antibody at 1 µg/ml dilution, overnight at 4°C.
-
ARG41678 anti-MUC2 / Mucin 2 antibody IHC-P image
Immunohistochemistry: Paraffin-embedded Human rectal cancer tissue. Antigen Retrieval: Heat mediation was performed in Citrate buffer (pH 6.0, epitope retrieval solution) for 20 min. The tissue section was blocked with 10% goat serum. The tissue section was then stained with ARG41678 anti-MUC2 / Mucin 2 antibody at 1 µg/ml dilution, overnight at 4°C.
-
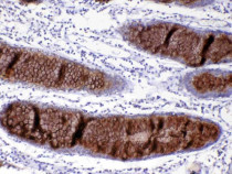
ARG41678 anti-MUC2 / Mucin 2 antibody IHC-P image
Immunohistochemistry: Paraffin-embedded Human ileum tissue. Antigen Retrieval: Heat mediation was performed in Citrate buffer (pH 6.0, epitope retrieval solution) for 20 min. The tissue section was blocked with 10% goat serum. The tissue section was then stained with ARG41678 anti-MUC2 / Mucin 2 antibody at 5 µg/ml dilution, overnight at 4°C.
-
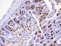
ARG41678 anti-MUC2 / Mucin 2 antibody IHC-P image
Immunohistochemistry: Paraffin-embedded Human colon organoid tissue. Antigen Retrieval: Heat mediation was performed in Citrate buffer (pH 6.0, epitope retrieval solution) for 20 min. The tissue section was blocked with 10% goat serum. The tissue section was then stained with ARG41678 anti-MUC2 / Mucin 2 antibody at 5 µg/ml dilution, overnight at 4°C.
-
ARG41678 anti-MUC2 / Mucin 2 antibody IHC-P image
Immunohistochemistry: Paraffin-embedded Mouse ileum tissue. Antigen Retrieval: Heat mediation was performed in Citrate buffer (pH 6.0, epitope retrieval solution) for 20 min. The tissue section was blocked with 10% goat serum. The tissue section was then stained with ARG41678 anti-MUC2 / Mucin 2 antibody at 5 µg/ml dilution, overnight at 4°C.
-
ARG41678 anti-MUC2 / Mucin 2 antibody IHC-P image
Immunohistochemistry: Paraffin-embedded Mouse ileum organoid tissue. Antigen Retrieval: Heat mediation was performed in Citrate buffer (pH 6.0, epitope retrieval solution) for 20 min. The tissue section was blocked with 10% goat serum. The tissue section was then stained with ARG41678 anti-MUC2 / Mucin 2 antibody at 5 µg/ml dilution, overnight at 4°C.
