ARG56057
anti-MUC3 antibody [M3.1]
anti-MUC3 antibody [M3.1] for IHC-Formalin-fixed paraffin-embedded sections and Human
Overview
| Product Description | Mouse Monoclonal antibody [M3.1] recognizes MUC3 |
|---|---|
| Tested Reactivity | Hu |
| Tested Application | IHC-P |
| Host | Mouse |
| Clonality | Monoclonal |
| Clone | M3.1 |
| Isotype | IgG2a, kappa |
| Target Name | MUC3 |
| Antigen Species | Human |
| Immunogen | aa. C-HSTPSFTSSITTTETTSHSTPSFTSSITTTETTS which contains two of the MUC3 tandem repeats. |
| Conjugation | Un-conjugated |
| Alternate Names | MUC3; MUC-3A; Mucin-3A; Intestinal mucin-3A |
Application Instructions
| Application Suggestion |
|
||||
|---|---|---|---|---|---|
| Application Note | IHC-P: Antigen Retrieval: Boil tissue section in 10 mM Tris with 1 mM EDTA (pH 9.0) for 10-20 min, followed by cooling at RT for 20 min. * The dilutions indicate recommended starting dilutions and the optimal dilutions or concentrations should be determined by the scientist. |
Properties
| Form | Liquid |
|---|---|
| Purification | Purification with Protein G. |
| Buffer | PBS (pH 7.4), 0.05% Sodium azide and 0.1 mg/ml BSA |
| Preservative | 0.05% Sodium azide |
| Stabilizer | 0.1 mg/ml BSA |
| Concentration | 0.2 mg/ml |
| Storage Instruction | For continuous use, store undiluted antibody at 2-8°C for up to a week. For long-term storage, aliquot and store at -20°C or below. Storage in frost free freezers is not recommended. Avoid repeated freeze/thaw cycles. Suggest spin the vial prior to opening. The antibody solution should be gently mixed before use. |
| Note | For laboratory research only, not for drug, diagnostic or other use. |
Bioinformation
| Gene Symbol | MUC3A |
|---|---|
| Gene Full Name | mucin 3A, cell surface associated |
| Background | The mucin genes encode epithelial glycoproteins, some of which are secreted and some membrane bound. Each of the genes contains at least one large domain of tandemly repeated sequence that encodes the peptide sequence rich in serine and/or threonine residues, which carries most of the O-linked glycosylation (Gendler and Spicer, 1995 [PubMed 7778880]).[supplied by OMIM, Aug 2008] |
| Function | Major glycoprotein component of a variety of mucus gels. Thought to provide a protective, lubricating barrier against particles and infectious agents at mucosal surfaces. May be involved in ligand binding and intracellular signaling. [UniProt] |
| Cellular Localization | Cytoplasmic and cell surface |
| Calculated MW | 345 kDa |
Images (3) Click the Picture to Zoom In
-
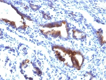
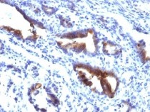
ARG56057 anti-MUC3 antibody [M3.1] IHC-P image
Immunohistochemistry: Formalin-fixed, paraffin-embedded Human colon carcinoma stained with ARG56057 anti-MUC3 antibody [M3.1].
-
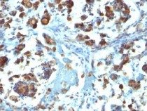
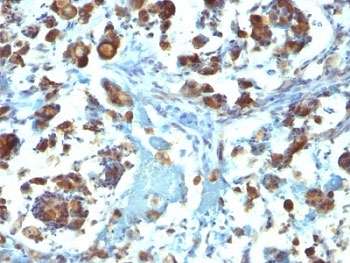
ARG56057 anti-MUC3 antibody [M3.1] IHC-P image
Immunohistochemistry: Formalin-fixed, paraffin-embedded Human gastric carcinoma stained with ARG56057 anti-MUC3 antibody [M3.1].
-
ARG56057 anti-MUC3 antibody [M3.1] IHC-P image
Immunohistochemistry: Formalin-fixed, paraffin-embedded Human gastric carcinoma stained with ARG56057 anti-MUC3 antibody [M3.1].
