ARG63294
anti-MURF3 / TRIM54 antibody
anti-MURF3 / TRIM54 antibody for IHC-Formalin-fixed paraffin-embedded sections,Western blot and Human
Cell Biology and Cellular Response antibody; Gene Regulation antibody
Overview
| Product Description | Goat Polyclonal antibody recognizes MURF3 / TRIM54 |
|---|---|
| Tested Reactivity | Hu |
| Tested Application | IHC-P, WB |
| Host | Goat |
| Clonality | Polyclonal |
| Isotype | IgG |
| Target Name | MURF3 / TRIM54 |
| Antigen Species | Human |
| Immunogen | C-GSAGPEEERPDGP |
| Conjugation | Un-conjugated |
| Alternate Names | Muscle-specific RING finger protein; Tripartite motif-containing protein 54; muRF3; MuRF-3; MURF-3; MURF; MuRF3; MuRF; Muscle-specific RING finger protein 3; RNF30; RING finger protein 30 |
Application Instructions
| Application Suggestion |
|
||||||
|---|---|---|---|---|---|---|---|
| Application Note | WB: Recommend incubate at RT for 1h. IHC-P: Antigen Retrieval: Steam tissue section in Citrate buffer (pH 6.0). * The dilutions indicate recommended starting dilutions and the optimal dilutions or concentrations should be determined by the scientist. |
Properties
| Form | Liquid |
|---|---|
| Purification | Purified from goat serum by antigen affinity chromatography. |
| Buffer | Tris saline (pH 7.3), 0.02% Sodium azide and 0.5% BSA. |
| Preservative | 0.02% Sodium azide |
| Stabilizer | 0.5% BSA |
| Concentration | 0.5 mg/ml |
| Storage Instruction | For continuous use, store undiluted antibody at 2-8°C for up to a week. For long-term storage, aliquot and store at -20°C or below. Storage in frost free freezers is not recommended. Avoid repeated freeze/thaw cycles. Suggest spin the vial prior to opening. The antibody solution should be gently mixed before use. |
| Note | For laboratory research only, not for drug, diagnostic or other use. |
Bioinformation
| Database Links |
Swiss-port # Q9BYV2 Human Tripartite motif-containing protein 54 |
|---|---|
| Background | The protein encoded by this gene contains a RING finger motif and is highly similar to the ring finger proteins RNF28/MURF1 and RNF29/MURF2. In vitro studies demonstrated that this protein, RNF28, and RNF29 form heterodimers, which may be important for the regulation of titin kinase and microtubule-dependent signal pathways in striated muscles. Alternatively spliced transcript variants encoding distinct isoforms have been reported. [provided by RefSeq, Jul 2008] |
| Research Area | Cell Biology and Cellular Response antibody; Gene Regulation antibody |
| Calculated MW | 40 kDa |
Images (2) Click the Picture to Zoom In
-
ARG63294 anti-MURF3 / TRIM54 antibody WB image
Western Blot: human muscle lysate (RIPA buffer, 35ug total protein per lane) stained with ARG63294 anti-MURF3 / TRIM54 antibody at 1ug/ml dilution.
-
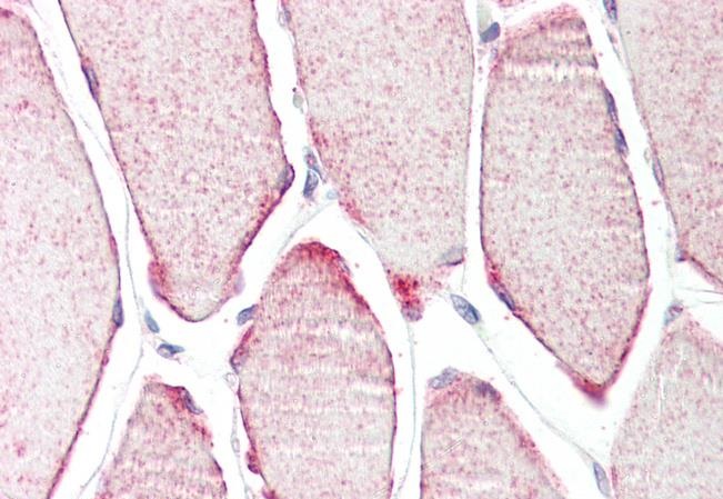
ARG63294 anti-MURF3 / TRIM54 antibody IHC-P image
Immunohistochemistry: Paraffin-embedded Human skeletal muscle tissue. Antigen Retrieval: Steam tissue section in Citrate buffer (pH 6.0). The tissue section was stained with ARG63294 anti-MURF3 / TRIM54 antibody at 3.75 µg/ml dilution followed by AP-staining.
