ARG67266
anti-MVP / LRP antibody [SQab30382]
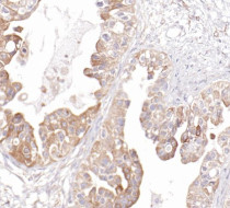
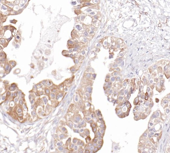
anti-MVP / LRP antibody [SQab30382] for IHC-Formalin-fixed paraffin-embedded sections and Human
Overview
| Product Description | Rabbit Monoclonal antibody [SQab30382] recognizes MVP / LRP. |
|---|---|
| Tested Reactivity | Hu |
| Tested Application | IHC-P |
| Host | Rabbit |
| Clonality | Monoclonal |
| Clone | SQab30382 |
| Isotype | IgG |
| Target Name | MVP / LRP |
| Immunogen | Synthetic peptide. |
| Conjugation | Un-conjugated |
| Alternate Names | MVP; Major Vault Protein; LRP; Lung Resistance-Related Protein; VAULT1; Testicular Secretory Protein Li 30 |
Application Instructions
| Application Suggestion |
|
||||
|---|---|---|---|---|---|
| Application Note | * The dilutions indicate recommended starting dilutions and the optimal dilutions or concentrations should be determined by the scientist. |
Properties
| Form | Liquid |
|---|---|
| Purification | Affinity purification with immunogen. |
| Buffer | PBS, 0.01% Sodium azide, 40% Glycerol and 0.05% BSA. |
| Preservative | 0.01% Sodium azide |
| Stabilizer | 40% Glycerol and 0.05% BSA |
| Storage Instruction | For continuous use, store undiluted antibody at 2-8°C for up to a week. For long-term storage, aliquot and store at -20°C or below. Storage in frost free freezers is not recommended. Avoid repeated freeze/thaw cycles. Suggest spin the vial prior to opening. The antibody solution should be gently mixed before use. |
| Note | For laboratory research only, not for drug, diagnostic or other use. |
Bioinformation
| Database Links | |
|---|---|
| Gene Symbol | MVP |
| Gene Full Name | Major Vault Protein |
| Background | This gene encodes the major component of the vault complex. Vaults are multi-subunit ribonucleoprotein structures that may be involved in nucleo-cytoplasmic transport. The encoded protein may play a role in multiple cellular processes by regulating the MAP kinase, JAK/STAT and phosphoinositide 3-kinase/Akt signaling pathways. The encoded protein also plays a role in multidrug resistance, and expression of this gene may be a prognostic marker for several types of cancer. Alternatively spliced transcript variants have been observed for this gene. [provided by RefSeq, May 2012] |
| Function | Required for normal vault structure. Vaults are multi-subunit structures that may act as scaffolds for proteins involved in signal transduction. Vaults may also play a role in nucleo-cytoplasmic transport. Down-regulates IFNG-mediated STAT1 signaling and subsequent activation of JAK. Down-regulates SRC activity and signaling through MAP kinases. [Uniprot] |
| Cellular Localization | Cytoplasm, Nuclear pore complex, Nucleus. [Uniprot] |
| Calculated MW | 99 kDa |
| PTM | Acetylation, Isopeptide bond, Phosphoprotein, Ubl conjugation. [Uniprot] |
Images (1) Click the Picture to Zoom In
