ARG44710
anti-MYH9 antibody
anti-MYH9 antibody for IHC-Formalin-fixed paraffin-embedded sections,Immunoprecipitation,Western blot and Human
Overview
| Product Description | Mouse Monoclonal antibody recognizes MYH9 |
|---|---|
| Tested Reactivity | Hu |
| Tested Application | IHC-P, IP, WB |
| Host | Mouse |
| Clonality | Monoclonal |
| Isotype | IgG2a |
| Target Name | MYH9 |
| Antigen Species | Human |
| Conjugation | Un-conjugated |
| Alternate Names | NMHC-II-A; Myosin heavy chain 9; FTNS; Non-muscle myosin heavy chain IIa; Non-muscle myosin heavy chain A; BDPLT6; EPSTS; NMMHCA; MHA; Myosin-9; DFNA17; Myosin heavy chain, non-muscle IIa; NMMHC-IIA; NMMHC II-a; NMMHC-A; Cellular myosin heavy chain, type A |
Application Instructions
| Application Suggestion |
|
||||||||
|---|---|---|---|---|---|---|---|---|---|
| Application Note | * The dilutions indicate recommended starting dilutions and the optimal dilutions or concentrations should be determined by the scientist. |
Properties
| Form | Liquid |
|---|---|
| Purification | Protein A purification |
| Buffer | PBS with 0.09% sodium azide |
| Storage Instruction | For continuous use, store undiluted antibody at 2-8°C for up to a week. For long-term storage, aliquot and store at -20°C or below. Storage in frost free freezers is not recommended. Avoid repeated freeze/thaw cycles. Suggest spin the vial prior to opening. The antibody solution should be gently mixed before use. |
| Note | For laboratory research only, not for drug, diagnostic or other use. |
Bioinformation
| Database Links | |
|---|---|
| Gene Symbol | MYH9 |
| Gene Full Name | myosin, heavy chain 9, non-muscle |
| Background | Cellular myosin that appears to play a role in cytokinesis, cell shape, and specialized functions such as secretion and capping. During cell spreading, plays an important role in cytoskeleton reorganization, focal contacts formation (in the margins but not the central part of spreading cells), and lamellipodial retraction; this function is mechanically antagonized by MYH10. [UniProt] |
| PTM | ISGylated. |
Images (3) Click the Picture to Zoom In
-
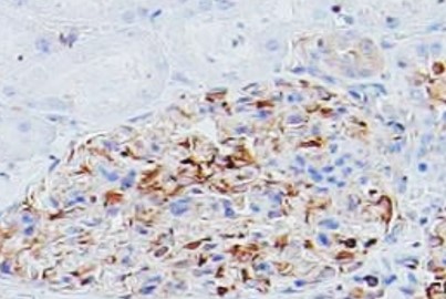
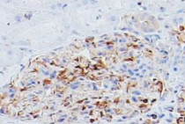
ARG44710 anti-MYH9 antibody IHC-P image
Immunohistochemistry: Human kidney stained with ARG44710 anti-MYH9 antibody at 5 µg/mL dilution.
-
ARG44710 anti-MYH9 antibody WB image
Western blot: HeLa, HT29, A431 stained with ARG44710 anti-MYH9 antibody at 1 µg/mL dilution.
-
ARG44710 anti-MYH9 antibody IP image
Immunoprecipitation: HeLa lysate immunoprecipitated with 2.5 µg of ARG44710 anti-MYH9 antibody.
