ARG56246
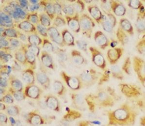
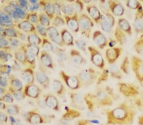
anti-MYH9 antibody
anti-MYH9 antibody for IHC-Formalin-fixed paraffin-embedded sections,Western blot and Human,Mouse
Overview
| Product Description | Rabbit Polyclonal antibody recognizes MYH9 |
|---|---|
| Tested Reactivity | Hu, Ms |
| Tested Application | IHC-P, WB |
| Host | Rabbit |
| Clonality | Polyclonal |
| Isotype | IgG |
| Target Name | MYH9 |
| Antigen Species | Human |
| Immunogen | Recombinant protein of Human MYH9 |
| Conjugation | Un-conjugated |
| Alternate Names | NMHC-II-A; Myosin heavy chain 9; FTNS; Non-muscle myosin heavy chain IIa; Non-muscle myosin heavy chain A; BDPLT6; EPSTS; NMMHCA; MHA; Myosin-9; DFNA17; Myosin heavy chain, non-muscle IIa; NMMHC-IIA; NMMHC II-a; NMMHC-A; Cellular myosin heavy chain, type A |
Application Instructions
| Application Suggestion |
|
||||||
|---|---|---|---|---|---|---|---|
| Application Note | * The dilutions indicate recommended starting dilutions and the optimal dilutions or concentrations should be determined by the scientist. | ||||||
| Positive Control | Jurkat |
Properties
| Form | Liquid |
|---|---|
| Purification | Affinity purification with immunogen. |
| Buffer | PBS (pH 7.3), 0.02% Sodium azide and 50% Glycerol. |
| Preservative | 0.02% Sodium azide |
| Stabilizer | 50% Glycerol |
| Storage Instruction | For continuous use, store undiluted antibody at 2-8°C for up to a week. For long-term storage, aliquot and store at -20°C. Storage in frost free freezers is not recommended. Avoid repeated freeze/thaw cycles. Suggest spin the vial prior to opening. The antibody solution should be gently mixed before use. |
| Note | For laboratory research only, not for drug, diagnostic or other use. |
Bioinformation
| Database Links | |
|---|---|
| Gene Symbol | MYH9 |
| Gene Full Name | myosin, heavy chain 9, non-muscle |
| Background | This gene encodes a conventional non-muscle myosin; this protein should not be confused with the unconventional myosin-9a or 9b (MYO9A or MYO9B). The encoded protein is a myosin IIA heavy chain that contains an IQ domain and a myosin head-like domain which is involved in several important functions, including cytokinesis, cell motility and maintenance of cell shape. Defects in this gene have been associated with non-syndromic sensorineural deafness autosomal dominant type 17, Epstein syndrome, Alport syndrome with macrothrombocytopenia, Sebastian syndrome, Fechtner syndrome and macrothrombocytopenia with progressive sensorineural deafness. [provided by RefSeq, Dec 2011] |
| Function | Cellular myosin that appears to play a role in cytokinesis, cell shape, and specialized functions such as secretion and capping. During cell spreading, plays an important role in cytoskeleton reorganization, focal contacts formation (in the margins but not the central part of spreading cells), and lamellipodial retraction; this function is mechanically antagonized by MYH10. [UniProt] |
| Calculated MW | 227 kDa |
| PTM | ISGylated. |
Images (2) Click the Picture to Zoom In
