ARG63429
anti-MYRIP / SLAC2C antibody
anti-MYRIP / SLAC2C antibody for IHC-Formalin-fixed paraffin-embedded sections,Western blot and Human
Neuroscience antibody
Overview
| Product Description | Goat Polyclonal antibody recognizes MYRIP / SLAC2C |
|---|---|
| Tested Reactivity | Hu |
| Tested Application | IHC-P, WB |
| Host | Goat |
| Clonality | Polyclonal |
| Isotype | IgG |
| Target Name | MYRIP / SLAC2C |
| Antigen Species | Human |
| Immunogen | C-KDLMEPALESAVMY |
| Conjugation | Un-conjugated |
| Alternate Names | Exophilin-8; SlaC2-c; Rab effector MyRIP; Myosin-VIIa- and Rab-interacting protein; SLAC2C; Slp homolog lacking C2 domains c; Synaptotagmin-like protein lacking C2 domains C; SLAC2-C |
Application Instructions
| Application Suggestion |
|
||||||
|---|---|---|---|---|---|---|---|
| Application Note | WB: Recommend incubate at RT for 1h. IHC-P: Antigen Retrieval: Steam tissue section in Citrate buffer (pH 6.0). * The dilutions indicate recommended starting dilutions and the optimal dilutions or concentrations should be determined by the scientist. |
Properties
| Form | Liquid |
|---|---|
| Purification | Purified from goat serum by antigen affinity chromatography. |
| Buffer | Tris saline (pH 7.3), 0.02% Sodium azide and 0.5% BSA. |
| Preservative | 0.02% Sodium azide |
| Stabilizer | 0.5% BSA |
| Concentration | 0.5 mg/ml |
| Storage Instruction | For continuous use, store undiluted antibody at 2-8°C for up to a week. For long-term storage, aliquot and store at -20°C or below. Storage in frost free freezers is not recommended. Avoid repeated freeze/thaw cycles. Suggest spin the vial prior to opening. The antibody solution should be gently mixed before use. |
| Note | For laboratory research only, not for drug, diagnostic or other use. |
Bioinformation
| Database Links | |
|---|---|
| Gene Symbol | MYRIP |
| Gene Full Name | myosin VIIA and Rab interacting protein |
| Function | Rab effector protein involved in melanosome transport. Serves as link between melanosome-bound RAB27A and the motor proteins MYO5A and MYO7A. May link RAB27A-containing vesicles to actin filaments. Functions as a protein kinase A-anchoring protein (AKAP). May act as a scaffolding protein that links PKA to components of the exocytosis machinery, thus facilitating exocytosis, including insulin release (By similarity). [UniProt] |
| Research Area | Neuroscience antibody |
| Calculated MW | 96 kDa |
Images (4) Click the Picture to Zoom In
-
ARG63429 anti-MYRIP / SLAC2C antibody WB image
Western Blot: Human Amygdala lysate (35 µg protein in RIPA buffer) stained with ARG63429 anti-MYRIP / SLAC2C antibody at 0.3 µg/ml dilution.
-
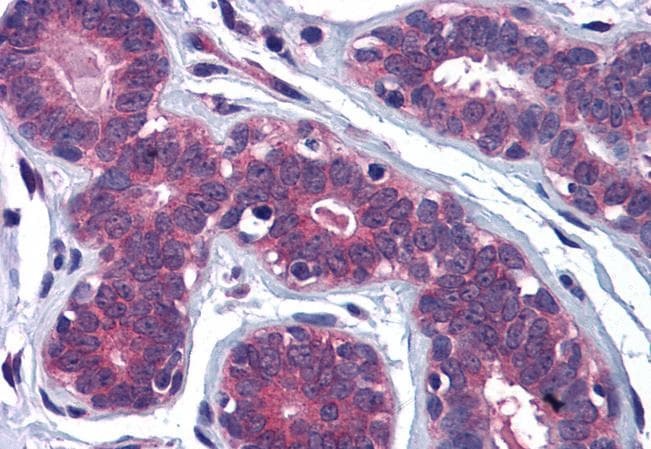
ARG63429 anti-MYRIP / SLAC2C antibody IHC-P image
Immunohistochemistry: Paraffin-embedded Human breast tissue. Antigen Retrieval: Steam tissue section in Citrate buffer (pH 6.0). The tissue section was stained with ARG63429 anti-MYRIP / SLAC2C antibody at 3.75 µg/ml dilution followed by AP-staining.
-
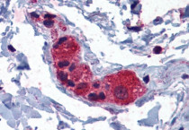
ARG63429 anti-MYRIP / SLAC2C antibody IHC-P image
Immunohistochemistry: Paraffin-embedded Human colon tissue. Antigen Retrieval: Steam tissue section in Citrate buffer (pH 6.0). The tissue section was stained with ARG63429 anti-MYRIP / SLAC2C antibody at 3.75 µg/ml dilution followed by AP-staining.
-
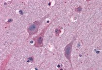
ARG63429 anti-MYRIP / SLAC2C antibody IHC-P image
Immunohistochemistry: Paraffin-embedded Human cortex tissue. Antigen Retrieval: Steam tissue section in Citrate buffer (pH 6.0). The tissue section was stained with ARG63429 anti-MYRIP / SLAC2C antibody at 3.75 µg/ml dilution followed by AP-staining.
