ARG45538
anti-Mitochondrial dicarboxylate carrier antibody
anti-Mitochondrial dicarboxylate carrier antibody for IHC-Formalin-fixed paraffin-embedded sections,Western blot and Human,Mouse,Rat
Overview
| Product Description | Rabbit Polyclonal antibody recognizes Mitochondrial dicarboxylate carrier |
|---|---|
| Tested Reactivity | Hu, Ms, Rat |
| Tested Application | IHC-P, WB |
| Host | Rabbit |
| Clonality | Polyclonal |
| Isotype | IgG |
| Target Name | Mitochondrial dicarboxylate carrier |
| Antigen Species | Human |
| Immunogen | Recombinant protein containing to human Mitochondrial dicarboxylate carrier. |
| Conjugation | Un-conjugated |
| Alternate Names | SLC25A10; Solute Carrier Family 25 Member 10; DIC; Solute Carrier Family 25 (Mitochondrial Carrier; Dicarboxylate Transporter), Member 10; Mitochondrial Dicarboxylate Carrier; Dicarboxylate Ion Carrier; MTDPS19 |
Application Instructions
| Application Suggestion |
|
||||||
|---|---|---|---|---|---|---|---|
| Application Note | * The dilutions indicate recommended starting dilutions and the optimal dilutions or concentrations should be determined by the scientist. | ||||||
| Observed Size | 29 - 31 kDa |
Properties
| Form | Liquid |
|---|---|
| Purification | Affinity purified |
| Buffer | 0.2% Na2HPO4, 0.9% NaCl and 4% Trehalose. |
| Stabilizer | 4% Trehalose |
| Concentration | 0.5 mg/ml |
| Storage Instruction | For continuous use, store undiluted antibody at 2-8°C for up to a week. For long-term storage, aliquot and store at -20°C or below. Storage in frost free freezers is not recommended. Avoid repeated freeze/thaw cycles. Suggest spin the vial prior to opening. The antibody solution should be gently mixed before use. |
| Note | For laboratory research only, not for drug, diagnostic or other use. |
Bioinformation
| Database Links |
Swiss-port # Q9QZD8 Mouse Mitochondrial dicarboxylate carrier Swiss-port # Q9UBX3 Human Mitochondrial dicarboxylate carrier |
|---|---|
| Gene Symbol | SLC25A10 |
| Gene Full Name | Solute Carrier Family 25 Member 10 |
| Background | This gene encodes a member of a family of proteins that translocate small metabolites across the mitochondrial membrane. The encoded protein exchanges dicarboxylates, such as malate and succinate, for phosphate, sulfate, and other small molecules, thereby providing substrates for metabolic processes including the Krebs cycle and fatty acid synthesis. Alternatively spliced transcript variants encoding multiple isoforms have been observed for this gene. [provided by RefSeq, Aug 2012] |
| Function | Catalyzes the electroneutral exchange or flux of physiologically important metabolites such as dicarboxylates (malonate, malate, succinate), inorganic sulfur-containing anions, and phosphate, across mitochondrial inner membrane. [UniProt] |
| Cellular Localization | Mitochondrion inner membrane. [UniProt] |
| Calculated MW | 31 kDa |
Images (3) Click the Picture to Zoom In
-
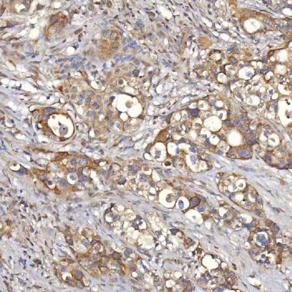
ARG45538 anti-Mitochondrial dicarboxylate carrier antibody IHC-P image
Immunohistochemistry: Human appendix adenocarcinoma stained with ARG45538 anti-Mitochondrial dicarboxylate carrier antibody at 2 μg/ml dilution.
-
ARG45538 anti-Mitochondrial dicarboxylate carrier antibody WB image
Western blot: HepG2 stained with ARG45538 anti-Mitochondrial dicarboxylate carrier antibody at 0.5 μg/ml dilution.
-
ARG45538 anti-Mitochondrial dicarboxylate carrier antibody WB image
Western blot: Rat liver stained with ARG45538 anti-Mitochondrial dicarboxylate carrier antibody at 0.5 μg/ml dilution.
