ARG57977
anti-Mitofusin 1 antibody
anti-Mitofusin 1 antibody for Western blot and Human,Mouse,Rat
Overview
| Product Description | Rabbit Polyclonal antibody recognizes Mitofusin 1 |
|---|---|
| Tested Reactivity | Hu, Ms, Rat |
| Tested Application | WB |
| Host | Rabbit |
| Clonality | Polyclonal |
| Isotype | IgG |
| Target Name | Mitofusin 1 |
| Antigen Species | Human |
| Immunogen | Synthetic peptide around the N-terminal of Human Mitofusin 1. (DQLLEFVTEGSHFVEATYKNPELDRIA) |
| Conjugation | Un-conjugated |
| Alternate Names | EC 3.6.5.-; Fzo homolog; Mitofusin-1; hfzo1; hfzo2; Transmembrane GTPase MFN1 |
Application Instructions
| Application Suggestion |
|
||||
|---|---|---|---|---|---|
| Application Note | * The dilutions indicate recommended starting dilutions and the optimal dilutions or concentrations should be determined by the scientist. | ||||
| Observed Size | ~ 84 kDa |
Properties
| Form | Liquid |
|---|---|
| Purification | Affinity purification with immunogen. |
| Buffer | PBS, 0.025% Sodium azide and 2.5% BSA. |
| Preservative | 0.025% Sodium azide |
| Stabilizer | 2.5% BSA |
| Concentration | 0.5 mg/ml |
| Storage Instruction | For continuous use, store undiluted antibody at 2-8°C for up to a week. For long-term storage, aliquot and store at -20°C or below. Storage in frost free freezers is not recommended. Avoid repeated freeze/thaw cycles. Suggest spin the vial prior to opening. The antibody solution should be gently mixed before use. |
| Note | For laboratory research only, not for drug, diagnostic or other use. |
Bioinformation
| Database Links | |
|---|---|
| Gene Symbol | MFN1 |
| Gene Full Name | mitofusin 1 |
| Background | The protein encoded by this gene is a mediator of mitochondrial fusion. This protein and mitofusin 2 are homologs of the Drosophila protein fuzzy onion (Fzo). They are mitochondrial membrane proteins that interact with each other to facilitate mitochondrial targeting. [provided by RefSeq, Jul 2008] |
| Function | Essential transmembrane GTPase, which mediates mitochondrial fusion. Fusion of mitochondria occurs in many cell types and constitutes an important step in mitochondria morphology, which is balanced between fusion and fission. MFN1 acts independently of the cytoskeleton. Overexpression induces the formation of mitochondrial networks. [UniProt] |
| Calculated MW | 84 kDa |
| PTM | Ubiquitinated by non-degradative ubiquitin by PRKN (PubMed:23933751). Deubiquitination by USP30 inhibits mitochondrial fusion (By similarity). Ubiquitinated by MARCH5 (PubMed:20103533). When mitochondria are depolarized and dysfunctional, it is ubiquitinated by a SCF (SKP1-CUL1-F-box protein) E3 ubiquitin-protein ligase complex that contains FBXO7 and PRKN (PubMed:23933751). [UniProt] |
Images (4) Click the Picture to Zoom In
-
ARG57977 anti-Mitofusin 1 antibody WB image
Western blot: Human hippocampus stained with ARG57977 anti-Mitofusin 1 antibody.
From Zhang T et al. Front Aging Neurosci. (2024), doi: 10.3389/fnagi.2024.1390915, Fig. 6B.
-
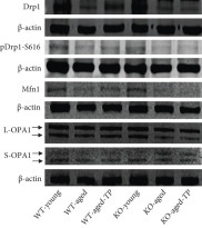
ARG57977 anti-Mitofusin 1 antibody WB image
Western blot: Mouse substantia nigra stained with ARG57977 anti-Mitofusin 1 antibody.
From Ren B et al. Oxid Med Cell Longev- (2022), doi: 10.1155/2022/3644318, Fig. 7B.
-
ARG57977 anti-Mitofusin 1 antibody WB image
Western blot: 1) Rat heart, 2) Rat kidney, 3) Mouse heart, 4) HeLa, 5) COLO320, and 6) A549 cell lysates stained with ARG57977 anti-Mitofusin 1 antibody.
-
ARG57977 anti-Mitofusin 1 antibody WB image
Western blot: 0.5 ng of Recombinant Human Mitofusin 1 protein stained with ARG57977 anti-Mitofusin 1 antibody.

