ARG54347
anti-MyD88 antibody
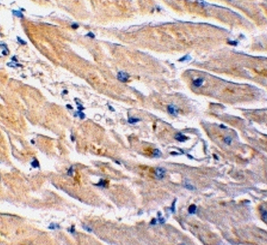
anti-MyD88 antibody for Flow cytometry,ICC/IF,IHC-Formalin-fixed paraffin-embedded sections,Western blot and Human
Cell Biology and Cellular Response antibody; Immune System antibody; Signaling Transduction antibody
Overview
| Product Description | Rabbit Polyclonal antibody recognizes MyD88 |
|---|---|
| Tested Reactivity | Hu |
| Tested Application | FACS, ICC/IF, IHC-P, WB |
| Specificity | This antibody recognizes human and mouse MyD88 (35 kD). |
| Host | Rabbit |
| Clonality | Polyclonal |
| Isotype | IgG |
| Target Name | MyD88 |
| Antigen Species | Human |
| Immunogen | Peptide corresponding to aa 233-248 of human MyD88. The sequence differs from mouse MyD88 by two amino acids. |
| Conjugation | Un-conjugated |
| Alternate Names | MYD88D; Myeloid differentiation primary response protein MyD88 |
Application Instructions
| Application Suggestion |
|
||||||||||
|---|---|---|---|---|---|---|---|---|---|---|---|
| Application Note | * The dilutions indicate recommended starting dilutions and the optimal dilutions or concentrations should be determined by the scientist. | ||||||||||
| Positive Control | Jurkat |
Properties
| Form | Liquid |
|---|---|
| Purification | Immunoaffinity chroma-tography |
| Buffer | PBS (pH 7.4) and 0.02% Sodium azide |
| Preservative | 0.02% Sodium azide |
| Storage Instruction | For continuous use, store undiluted antibody at 2-8°C for up to a week. For long-term storage, aliquot and store at -20°C or below. Storage in frost free freezers is not recommended. Avoid repeated freeze/thaw cycles. Suggest spin the vial prior to opening. The antibody solution should be gently mixed before use. |
| Note | For laboratory research only, not for drug, diagnostic or other use. |
Bioinformation
| Database Links |
Swiss-port # Q99836 Human Myeloid differentiation primary response protein MyD88 |
|---|---|
| Gene Symbol | MYD88 |
| Gene Full Name | myeloid differentiation primary response 88 |
| Background | Cellular responses induced by the pro-inflammatory cytokine IL-1 require IL-1 receptor complex (IL-1R1 and IL-1RacP). Recently, MyD88 was identified as an adapter molecule in the IL-1 signaling pathway. MyD88 associates with and recruits IRAK to the IL-1 receptor. Dominant negative mutants of MyD88 attenuate IL-1R-mediated NF-κB activation. MyD88 also functions as a regulator molecule for IL-18 receptor and human Toll receptor, members of the Toll/IL-1R family of receptors. Targeted disruption of the MyD88 gene results in loss of cellular responses to IL-1 and IL-18, and MyD88-deficient mice lack responses to LPS which require Toll-like receptors 2 and 4 (TLR2 and TLR4) as the signaling receptors. MyD88 is a general adapter protein for the Toll/IL-1R family of receptors and plays an important role in the inflammatory responses induced by cytokines IL-1, IL-18, and LPS. MyD88 is expressed in a variety of tissues. |
| Function | Adapter protein involved in the Toll-like receptor and IL-1 receptor signaling pathway in the innate immune response. Acts via IRAK1, IRAK2, IRF7 and TRAF6, leading to NF-kappa-B activation, cytokine secretion and the inflammatory response. Increases IL-8 transcription. Involved in IL-18-mediated signaling pathway. Activates IRF1 resulting in its rapid migration into the nucleus to mediate an efficient induction of IFN-beta, NOS2/INOS, and IL12A genes. MyD88-mediated signaling in intestinal epithelial cells is crucial for maintenance of gut homeostasis and controls the expression of the antimicrobial lectin REG3G in the small intestine. [UniProt] |
| Research Area | Cell Biology and Cellular Response antibody; Immune System antibody; Signaling Transduction antibody |
| Calculated MW | 33 kDa |
Images (1) Click the Picture to Zoom In
