ARG63727
anti-MyD88 antibody
anti-MyD88 antibody for ELISA,IHC-Formalin-fixed paraffin-embedded sections,Western blot and Human
Cell Biology and Cellular Response antibody; Immune System antibody; Signaling Transduction antibody
Overview
| Product Description | Goat Polyclonal antibody recognizes MyD88 |
|---|---|
| Tested Reactivity | Hu |
| Predict Reactivity | Ms, Rat, Dog |
| Tested Application | ELISA, IHC-P, WB |
| Host | Goat |
| Clonality | Polyclonal |
| Isotype | IgG |
| Target Name | MyD88 |
| Antigen Species | Human |
| Immunogen | C-IKYKAMKKEFP |
| Conjugation | Un-conjugated |
| Alternate Names | MYD88D; Myeloid differentiation primary response protein MyD88 |
Application Instructions
| Application Suggestion |
|
||||||||
|---|---|---|---|---|---|---|---|---|---|
| Application Note | IHC-P: Antigen Retrieval: Steam tissue section in Tris/EDTA buffer (pH 9.0). WB: Recommend incubate at RT for 1h. * The dilutions indicate recommended starting dilutions and the optimal dilutions or concentrations should be determined by the scientist. |
Properties
| Form | Liquid |
|---|---|
| Purification | Purified from goat serum by antigen affinity chromatography. |
| Buffer | Tris saline (pH 7.3), 0.02% Sodium azide and 0.5% BSA. |
| Preservative | 0.02% Sodium azide |
| Stabilizer | 0.5% BSA |
| Concentration | 0.5 mg/ml |
| Storage Instruction | For continuous use, store undiluted antibody at 2-8°C for up to a week. For long-term storage, aliquot and store at -20°C or below. Storage in frost free freezers is not recommended. Avoid repeated freeze/thaw cycles. Suggest spin the vial prior to opening. The antibody solution should be gently mixed before use. |
| Note | For laboratory research only, not for drug, diagnostic or other use. |
Bioinformation
| Database Links |
Swiss-port # Q99836 Human Myeloid differentiation primary response protein MyD88 |
|---|---|
| Background | This gene encodes a cytosolic adapter protein that plays a central role in the innate and adaptive immune response. This protein functions as an essential signal transducer in the interleukin-1 and Toll-like receptor signaling pathways. These pathways regulate that activation of numerous proinflammatory genes. The encoded protein consists of an N-terminal death domain and a C-terminal Toll-interleukin1 receptor domain. Patients with defects in this gene have an increased susceptibility to pyogenic bacterial infections. Alternate splicing results in multiple transcript variants. [provided by RefSeq, Feb 2010] |
| Highlight | Related products: MYD88 antibodies; Anti-Goat IgG secondary antibodies; Related poster download: Toll-like Receptor.pdf |
| Research Area | Cell Biology and Cellular Response antibody; Immune System antibody; Signaling Transduction antibody |
| Calculated MW | 33 kDa |
Images (2) Click the Picture to Zoom In
-
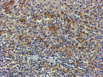
ARG63727 anti-MyD88 antibody IHC-P image
Immunohistochemistry: Paraffin embedded Human Tonsil. (Steamed antigen retrieval with Tris/EDTA buffer pH 9) stained with ARG63727 anti-MyD88 antibody at 4 µg/ml dilution followed by HRP-staining. These results could not been obtained after antigen retireval at pH6 with this batch of antibody.
-
ARG63727 anti-MyD88 antibody WB image
Western blot: 35 µg of Human thymus lysate (in RIPA buffer) stained with ARG63727 anti-MyD88 antibody at 0.2 µg/ml dilution and incubated at RT for 1 hour.
