ARG51616
anti-Myosin Light Chain 9 phospho (Ser19) antibody
anti-Myosin Light Chain 9 phospho (Ser19) antibody for IHC-Formalin-fixed paraffin-embedded sections,Western blot and Human,Mouse,Rat
Signaling Transduction antibody
Overview
| Product Description | Rabbit Polyclonal antibody recognizes Myosin Light Chain 9 phospho (Ser19) |
|---|---|
| Tested Reactivity | Hu, Ms, Rat |
| Tested Application | IHC-P, WB |
| Host | Rabbit |
| Clonality | Polyclonal |
| Isotype | IgG |
| Target Name | Myosin Light Chain 9 |
| Antigen Species | Human |
| Immunogen | Peptide sequence around phosphorylation site of serine 19 (A-T-S(p)-N-V) derived from Human Myosin Light Chain 9. (NP_006088.2) |
| Conjugation | Un-conjugated |
| Alternate Names | LC20; Myosin RLC; 20 kDa myosin light chain; Myosin regulatory light chain 2, smooth muscle isoform; MYRL2; MLC2; Myosin regulatory light chain MRLC1; Myosin regulatory light chain 9; Myosin regulatory light polypeptide 9; MRLC1; MLC-2C |
Application Instructions
| Application Suggestion |
|
||||||
|---|---|---|---|---|---|---|---|
| Application Note | * The dilutions indicate recommended starting dilutions and the optimal dilutions or concentrations should be determined by the scientist. |
Properties
| Form | Liquid |
|---|---|
| Purification | Antibodies were produced by immunizing rabbits with KLH-conjugated synthetic phosphopeptide. Antibodies were purified by affinity-chromatography using epitope-specific phosphopeptide. In addition, non-phospho specific antibodies were removed by chromatogramphy using non-phosphopeptide. |
| Buffer | PBS (without Mg2+ and Ca2+, pH 7.4), 150mM NaCl, 0.02% Sodium azide and 50% Glycerol. |
| Preservative | 0.02% Sodium azide |
| Stabilizer | 50% Glycerol |
| Concentration | 1 mg/ml |
| Storage Instruction | For continuous use, store undiluted antibody at 2-8°C for up to a week. For long-term storage, aliquot and store at -20°C. Storage in frost free freezers is not recommended. Avoid repeated freeze/thaw cycles. Suggest spin the vial prior to opening. The antibody solution should be gently mixed before use. |
| Note | For laboratory research only, not for drug, diagnostic or other use. |
Bioinformation
| Database Links | |
|---|---|
| Gene Symbol | MYL9 |
| Gene Full Name | myosin, light chain 9, regulatory |
| Background | Myosin regulatory subunit that plays an important role in regulation of both smooth muscle and nonmuscle cell contractile activity via its phosphorylation. Implicated in cytokinesis, receptor capping, and cell locomotion |
| Research Area | Signaling Transduction antibody |
| Calculated MW | 20 kDa |
| PTM | Phosphorylation increases the actin-activated myosin ATPase activity and thereby regulates the contractile activity. It is required to generate the driving force in the migration of the cells but not necessary for localization of myosin-2 at the leading edge. |
Images (2) Click the Picture to Zoom In
-
ARG51616 anti-Myosin Light Chain 9 phospho (Ser19) antibody WB image
Western blot: Extracts from 293 cells untreated or treated with starvation stained with ARG51616 anti-Myosin Light Chain 9 phospho (Ser19) antibody.
-
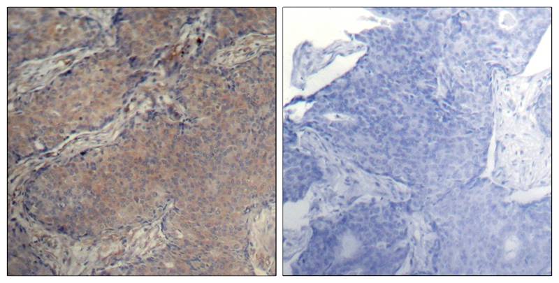
ARG51616 anti-Myosin Light Chain 9 phospho (Ser19) antibody IHC-P image
Immunohistochemistry: Paraffin-embedded Human breast carcinoma tissue stained with ARG51616 anti-Myosin Light Chain 9 phospho (Ser19) antibody (left) or the same antibody preincubated with blocking peptide (right).
