ARG55695
anti-N-Ras antibody
anti-N-Ras antibody for Flow cytometry,IHC-Formalin-fixed paraffin-embedded sections,Western blot and Human
Overview
| Product Description | Rabbit Polyclonal antibody recognizes N-Ras |
|---|---|
| Tested Reactivity | Hu |
| Predict Reactivity | Pig |
| Tested Application | FACS, IHC-P, WB |
| Host | Rabbit |
| Clonality | Polyclonal |
| Isotype | IgG |
| Target Name | N-Ras |
| Antigen Species | Human |
| Immunogen | KLH-conjugated synthetic peptide corresponding to aa. 147-179 (C-terminus) of Human N-Ras. |
| Conjugation | Un-conjugated |
| Alternate Names | GTPase NRas; N-ras; NRAS1; CMNS; Transforming protein N-Ras; NCMS; ALPS4; NS6 |
Application Instructions
| Application Suggestion |
|
||||||||
|---|---|---|---|---|---|---|---|---|---|
| Application Note | * The dilutions indicate recommended starting dilutions and the optimal dilutions or concentrations should be determined by the scientist. | ||||||||
| Positive Control | MCF7 |
Properties
| Form | Liquid |
|---|---|
| Purification | This antibody is prepared by Saturated Ammonium Sulfate (SAS) precipitation followed by dialysis against PBS. |
| Buffer | PBS and 0.09% (W/V) Sodium azide. |
| Preservative | 0.09% (W/V) Sodium azide. |
| Storage Instruction | For continuous use, store undiluted antibody at 2-8°C for up to a week. For long-term storage, aliquot and store at -20°C or below. Storage in frost free freezers is not recommended. Avoid repeated freeze/thaw cycles. Suggest spin the vial prior to opening. The antibody solution should be gently mixed before use. |
| Note | For laboratory research only, not for drug, diagnostic or other use. |
Bioinformation
| Database Links | |
|---|---|
| Gene Symbol | NRAS |
| Gene Full Name | neuroblastoma RAS viral (v-ras) oncogene homolog |
| Background | This is an N-ras oncogene encoding a membrane protein that shuttles between the Golgi apparatus and the plasma membrane. This shuttling is regulated through palmitoylation and depalmitoylation by the ZDHHC9-GOLGA7 complex. The encoded protein, which has intrinsic GTPase activity, is activated by a guanine nucleotide-exchange factor and inactivated by a GTPase activating protein. Mutations in this gene have been associated with somatic rectal cancer, follicular thyroid cancer, autoimmune lymphoproliferative syndrome, Noonan syndrome, and juvenile myelomonocytic leukemia. [provided by RefSeq, Jun 2011] |
| Function | Ras proteins bind GDP/GTP and possess intrinsic GTPase activity. [UniProt] |
| Cellular Localization | Cell membrane; Lipid-anchor; Cytoplasmic side. Golgi apparatus membrane; Lipid-anchor. Note=Shuttles between the plasma membrane and the Golgi apparatus |
| Calculated MW | 21 kDa |
| PTM | Palmitoylated by the ZDHHC9-GOLGA7 complex. A continuous cycle of de- and re-palmitoylation regulates rapid exchange between plasma membrane and Golgi. Acetylation at Lys-104 prevents interaction with guanine nucleotide exchange factors (GEFs). |
Images (3) Click the Picture to Zoom In
-
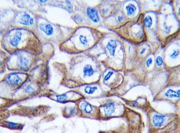
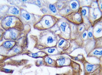
ARG55695 anti-N-Ras antibody IHC-P image
Immunohistochemistry: Formalin-fixed and paraffin-embedded Human lung carcinoma tissue stained with ARG55695 anti-N-Ras antibody.
-
ARG55695 anti-N-Ras antibody WB image
Western blot: 35 µg of MCF7 cell lysate stained with ARG55695 anti-N-Ras antibody.
-
ARG55695 anti-N-Ras antibody FACS image
Flow Cytometry: NCI-H460 cells stained with ARG55695 anti-N-Ras antibody (right histogram) or without primary antibody as control (left histogram), followed by incubation with FITC labelled secondary antibody.
