ARG66550
anti-NAB2 antibody
anti-NAB2 antibody for IHC-Formalin-fixed paraffin-embedded sections,Western blot and Human,Mouse
Overview
| Product Description | Rabbit Polyclonal antibody recognizes NAB2 |
|---|---|
| Tested Reactivity | Hu, Ms |
| Tested Application | IHC-P, WB |
| Host | Rabbit |
| Clonality | Polyclonal |
| Isotype | IgG |
| Target Name | NAB2 |
| Antigen Species | Human |
| Immunogen | KLH-conjugated synthetic peptide encompassing a sequence within the center region of Human NAB2. |
| Conjugation | Un-conjugated |
| Alternate Names | EGR-1-binding protein 2; MADER; Protein MADER; Melanoma-associated delayed early response protein; NGFI-A-binding protein 2 |
Application Instructions
| Application Suggestion |
|
||||||
|---|---|---|---|---|---|---|---|
| Application Note | IHC-P: Antigen Retrieval: Heat mediation was performed in Sodium citrate buffer (pH 6.0). * The dilutions indicate recommended starting dilutions and the optimal dilutions or concentrations should be determined by the scientist. |
||||||
| Observed Size | 57 kDa |
Properties
| Form | Liquid |
|---|---|
| Purification | Affinity purification with immunogen. |
| Buffer | 0.42% Potassium phosphate (pH 7.3), 0.87% NaCl, 0.01% Sodium azide and 30% Glycerol. |
| Preservative | 0.01% Sodium azide |
| Stabilizer | 30% Glycerol |
| Storage Instruction | For continuous use, store undiluted antibody at 2-8°C for up to a week. For long-term storage, aliquot and store at -20°C. Storage in frost free freezers is not recommended. Avoid repeated freeze/thaw cycles. Suggest spin the vial prior to opening. The antibody solution should be gently mixed before use. |
| Note | For laboratory research only, not for drug, diagnostic or other use. |
Bioinformation
| Database Links | |
|---|---|
| Gene Symbol | NAB2 |
| Gene Full Name | NGFI-A binding protein 2 (EGR1 binding protein 2) |
| Background | This gene encodes a member of the family of NGFI-A binding (NAB) proteins, which function in the nucleus to repress transcription induced by some members of the EGR (early growth response) family of transactivators. NAB proteins can homo- or hetero-multimerize with other EGR or NAB proteins through a conserved N-terminal domain, and repress transcription through two partially redundant C-terminal domains. Transcriptional repression by the encoded protein is mediated in part by interactions with the nucleosome remodeling and deactylase (NuRD) complex. Alternatively spliced transcript variants have been described, but their biological validity has not been determined. [provided by RefSeq, Jul 2008] |
| Function | Acts as a transcriptional repressor for zinc finger transcription factors EGR1 and EGR2. Isoform 2 lacks repression ability (By similarity). [UniProt] |
| Cellular Localization | Nucleus. Note=Isoform 2 is not localized to the nucleus. [UniProt] |
| Calculated MW | 57 kDa |
| PTM | Sumoylation by EGR2 represses EGR2 transcriptional activity in hindbrain. [UniProt] |
Images (2) Click the Picture to Zoom In
-
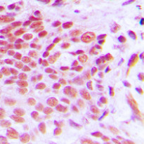
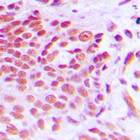
ARG66550 anti-NAB2 antibody IHC-P image
Immunohistochemistry: Formalin-fixed and paraffin-embedded Human breast cancer tissue. Antigen Retrieval: Heat mediation was performed in Sodium citrate buffer (pH 6.0). The section was then stained with ARG66550 anti-NAB2 antibody at room temperature and detected using an HRP conjugated compact polymer system. DAB was used as the chromogen. The section was then counterstained with haematoxylin and mounted with DPX.
-
ARG66550 anti-NAB2 antibody WB image
Western blot: HepG2, HeLa and Raw264.7 whole cell lysates stained with ARG66550 anti-NAB2 antibody.
