ARG66556
anti-NCF2 / p67phox antibody
anti-NCF2 / p67phox antibody for ICC/IF,IHC-Formalin-fixed paraffin-embedded sections,Western blot and Human,Mouse
Overview
| Product Description | Rabbit Polyclonal antibody recognizes NCF2 / p67phox |
|---|---|
| Tested Reactivity | Hu, Ms |
| Tested Application | ICC/IF, IHC-P, WB |
| Host | Rabbit |
| Clonality | Polyclonal |
| Isotype | IgG |
| Target Name | NCF2 / p67phox |
| Antigen Species | Human |
| Immunogen | Recombinant full length protein of Human p67 phox. |
| Conjugation | Un-conjugated |
| Alternate Names | p67-phox; P67-PHOX; NADPH oxidase activator 2; 67 kDa neutrophil oxidase factor; Neutrophil NADPH oxidase factor 2; P67PHOX; Neutrophil cytosol factor 2; NCF-2; NOXA2 |
Application Instructions
| Application Suggestion |
|
||||||||
|---|---|---|---|---|---|---|---|---|---|
| Application Note | IHC-P: Antigen Retrieval: Heat mediation was performed in Sodium citrate buffer (pH 6.0). * The dilutions indicate recommended starting dilutions and the optimal dilutions or concentrations should be determined by the scientist. |
||||||||
| Observed Size | 68 kDa |
Properties
| Form | Liquid |
|---|---|
| Purification | Affinity purification with immunogen. |
| Buffer | 0.42% Potassium phosphate (pH 7.3), 0.87% NaCl, 0.01% Sodium azide and 30% Glycerol. |
| Preservative | 0.01% Sodium azide |
| Stabilizer | 30% Glycerol |
| Storage Instruction | For continuous use, store undiluted antibody at 2-8°C for up to a week. For long-term storage, aliquot and store at -20°C. Storage in frost free freezers is not recommended. Avoid repeated freeze/thaw cycles. Suggest spin the vial prior to opening. The antibody solution should be gently mixed before use. |
| Note | For laboratory research only, not for drug, diagnostic or other use. |
Bioinformation
| Database Links | |
|---|---|
| Gene Symbol | NCF2 |
| Gene Full Name | neutrophil cytosolic factor 2 |
| Background | This gene encodes neutrophil cytosolic factor 2, the 67-kilodalton cytosolic subunit of the multi-protein NADPH oxidase complex found in neutrophils. This oxidase produces a burst of superoxide which is delivered to the lumen of the neutrophil phagosome. Mutations in this gene, as well as in other NADPH oxidase subunits, can result in chronic granulomatous disease, a disease that causes recurrent infections by catalase-positive organisms. Alternative splicing results in multiple transcript variants encoding different isoforms. [provided by RefSeq, Jun 2010] |
| Function | NCF2, NCF1, and a membrane bound cytochrome b558 are required for activation of the latent NADPH oxidase (necessary for superoxide production). [UniProt] |
| Cellular Localization | Cytoplasm. [UniProt] |
| Calculated MW | 60 kDa |
Images (3) Click the Picture to Zoom In
-
ARG66556 anti-NCF2 / p67phox antibody ICC/IF image
Immunofluorescence: Formalin-fixed HeLa cells were permeabilized with 0.1% Triton X-100 in TBS for 5-10 minutes and blocked with 3% BSA-PBS for 30 minutes at room temperature. Cells were stained with ARG66556 anti-NCF2 / p67phox antibody (red) in 3% BSA-PBS and incubated overnight at 4°C in a hidified chamber.
-
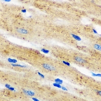
ARG66556 anti-NCF2 / p67phox antibody IHC-P image
Immunohistochemistry: Formalin-fixed and paraffin-embedded Mouse heart tissue. Antigen Retrieval: Heat mediation was performed in Sodium citrate buffer (pH 6.0). The section was then stained with ARG66556 anti-NCF2 / p67phox antibody at room temperature and detected using an HRP conjugated compact polymer system. DAB was used as the chromogen. The section was then counterstained with haematoxylin and mounted with DPX.
-
ARG66556 anti-NCF2 / p67phox antibody WB image
Western blot: THP1 and Mouse spleen lysates stained with ARG66556 anti-NCF2 / p67phox antibody.
