ARG45644
anti-NDE1 antibody
anti-NDE1 antibody for Flow cytometry,IHC-Formalin-fixed paraffin-embedded sections,Western blot and Human
Overview
| Product Description | Rabbit Polyclonal antibody recognizes NDE1 |
|---|---|
| Tested Reactivity | Hu |
| Tested Application | FACS, IHC-P, WB |
| Host | Rabbit |
| Clonality | Polyclonal |
| Isotype | IgG |
| Target Name | NDE1 |
| Antigen Species | Human |
| Immunogen | Recombinant protein containing to human NDE1. |
| Conjugation | Un-conjugated |
| Alternate Names | NDE1; NudE Neurodevelopment Protein 1; NudE; NDE; Nuclear Distribution Protein NudE Homolog 1; FLJ20101; NudE Nuclear Distribution Gene E Homolog 1 (A. Nidulans); NudE Nuclear Distribution E Homolog 1 (A. Nidulans); LIS1-Interacting Protein NUDE1, Rat Homolog; Epididymis Secretory Sperm Binding Protein; NudE Nuclear Distribution Gene E Homolog 1; NudE Nuclear Distribution E Homolog 1; HOM-TES-87; NUDE1; LIS4; MHAC; NUDE |
Application Instructions
| Application Suggestion |
|
||||||||
|---|---|---|---|---|---|---|---|---|---|
| Application Note | * The dilutions indicate recommended starting dilutions and the optimal dilutions or concentrations should be determined by the scientist. | ||||||||
| Observed Size | 38 kDa |
Properties
| Form | Liquid |
|---|---|
| Purification | Affinity purified |
| Buffer | 0.2% Na2HPO4, 0.9% NaCl and 4% Trehalose. |
| Stabilizer | 4% Trehalose |
| Concentration | 0.5 mg/ml |
| Storage Instruction | For continuous use, store undiluted antibody at 2-8°C for up to a week. For long-term storage, aliquot and store at -20°C or below. Storage in frost free freezers is not recommended. Avoid repeated freeze/thaw cycles. Suggest spin the vial prior to opening. The antibody solution should be gently mixed before use. |
| Note | For laboratory research only, not for drug, diagnostic or other use. |
Bioinformation
| Database Links |
Swiss-port # Q9NXR1 Human Nuclear distribution protein nudE homolog 1 |
|---|---|
| Gene Symbol | NDE1 |
| Gene Full Name | NudE Neurodevelopment Protein 1 |
| Background | This gene encodes a member of the nuclear distribution E (NudE) family of proteins. The encoded protein is localized at the centrosome and interacts with other centrosome components as part of a multiprotein complex that regulates dynein function. This protein plays an essential role in microtubule organization, mitosis and neuronal migration. Mutations in this gene cause lissencephaly 4, a disorder characterized by lissencephaly, severe brain atrophy, microcephaly, and severe cognitive disability. Alternative splicing results in multiple transcript variants. [provided by RefSeq, Mar 2012] |
| Function | Required for centrosome duplication and formation and function of the mitotic spindle. Essential for the development of the cerebral cortex. May regulate the production of neurons by controlling the orientation of the mitotic spindle during division of cortical neuronal progenitors of the proliferative ventricular zone of the brain. Orientation of the division plane perpendicular to the layers of the cortex gives rise to two proliferative neuronal progenitors whereas parallel orientation of the division plane yields one proliferative neuronal progenitor and a post-mitotic neuron. A premature shift towards a neuronal fate within the progenitor population may result in an overall reduction in the final number of neurons and an increase in the number of neurons in the deeper layers of the cortex. [UniProt] |
| Cellular Localization | Centromere; Chromosome; Cytoplasm; Cytoskeleton; Kinetochore; Microtubule. [UniProt] |
| Calculated MW | 38 kDa |
| PTM | Lipoprotein; Palmitate; Phosphoprotein. [UniProt] |
Images (3) Click the Picture to Zoom In
-
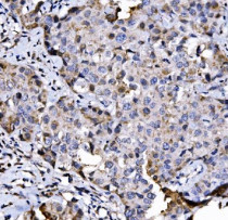
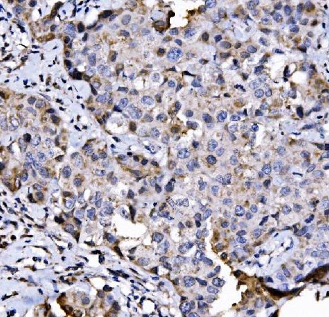
ARG45644 anti-NDE1 antibody IHC-P image
Immunohistochemistry: Human breast cancer stained with ARG45644 anti-NDE1 antibody at 2 μg/ml dilution.
-
ARG45644 anti-NDE1 antibody WB image
Western blot: Hela stained with ARG45644 anti-NDE1 antibody at 0.5 μg/ml dilution.
-
ARG45644 anti-NDE1 antibody FACS image
Flow Cytometry: A549 stained with ARG45644 anti-NDE1 antibody at 1 µg/10^6 cells dilution.
