ARG45620
anti-NDEL1 antibody
anti-NDEL1 antibody for Flow cytometry,IHC-Formalin-fixed paraffin-embedded sections,Western blot and Human
Overview
| Product Description | Rabbit Polyclonal antibody recognizes NDEL1 |
|---|---|
| Tested Reactivity | Hu |
| Tested Application | FACS, IHC-P, WB |
| Host | Rabbit |
| Clonality | Polyclonal |
| Isotype | IgG |
| Target Name | NDEL1 |
| Antigen Species | Human |
| Immunogen | Recombinant protein containing to human NDEL1. |
| Conjugation | Un-conjugated |
| Alternate Names | NDEL1; NudE Neurodevelopment Protein 1 Like 1; MITAP1; NUDEL; NDE1L1; NDE2; Nuclear Distribution Protein NudE-Like 1; Mitosin-Associated Protein 1; Protein Nudel; EOPA; NudE Nuclear Distribution Gene E Homolog (A. Nidulans)-Like 1; NudE Nuclear Distribution E Homolog (A. Nidulans)-Like 1; NudE Nuclear Distribution Gene E Homolog-Like 1; NudE Nuclear Distribution E Homolog-Like 1; Mitosin-Associated Protein MITAP1; Endooligopeptidase A |
Application Instructions
| Application Suggestion |
|
||||||||
|---|---|---|---|---|---|---|---|---|---|
| Application Note | * The dilutions indicate recommended starting dilutions and the optimal dilutions or concentrations should be determined by the scientist. | ||||||||
| Observed Size | 38 kDa |
Properties
| Form | Liquid |
|---|---|
| Purification | Affinity purified |
| Buffer | 0.2% Na2HPO4, 0.9% NaCl and 4% Trehalose. |
| Stabilizer | 4% Trehalose |
| Concentration | 0.5 mg/ml |
| Storage Instruction | For continuous use, store undiluted antibody at 2-8°C for up to a week. For long-term storage, aliquot and store at -20°C or below. Storage in frost free freezers is not recommended. Avoid repeated freeze/thaw cycles. Suggest spin the vial prior to opening. The antibody solution should be gently mixed before use. |
| Note | For laboratory research only, not for drug, diagnostic or other use. |
Bioinformation
| Database Links |
Swiss-port # Q9GZM8 Human Nuclear distribution protein nudE-like 1 |
|---|---|
| Gene Symbol | NDEL1 |
| Gene Full Name | NudE Neurodevelopment Protein 1 Like 1 |
| Background | Enables identical protein binding activity. Involved in chromosome segregation; positive regulation of GTPase activity; and regulation of intracellular protein transport. Located in kinetochore. Biomarker of schizophrenia. [provided by Alliance of Genome Resources, Feb 2025] |
| Function | Required for organization of the cellular microtubule array and microtubule anchoring at the centrosome. May regulate microtubule organization at least in part by targeting the microtubule severing protein KATNA1 to the centrosome. Also positively regulates the activity of the minus-end directed microtubule motor protein dynein. May enhance dynein-mediated microtubule sliding by targeting dynein to the microtubule plus ends. Required for several dynein- and microtubule-dependent processes such as the maintenance of Golgi integrity, the centripetal motion of secretory vesicles and the coupling of the nucleus and centrosome. Also required during brain development for the migration of newly formed neurons from the ventricular/subventricular zone toward the cortical plate. Plays a role, together with DISC1, in the regulation of neurite outgrowth. Required for mitosis in some cell types but appears to be dispensible for mitosis in cortical neuronal progenitors, which instead requires NDE1. Facilitates the polymerization of neurofilaments from the individual subunits NEFH and NEFL. Positively regulates lysosome peripheral distribution and ruffled border formation in osteoclasts (By similarity). [UniProt] |
| Cellular Localization | Centromere; Chromosome; Cytoplasm; Cytoskeleton; Kinetochore; Microtubule. [UniProt] |
| Calculated MW | 38 kDa |
| PTM | Lipoprotein; Palmitate; Phosphoprotein. [UniProt] |
Images (3) Click the Picture to Zoom In
-
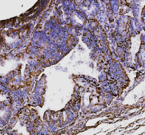
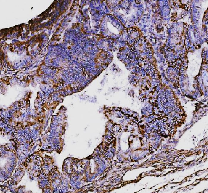
ARG45620 anti-NDEL1 antibody IHC-P image
Immunohistochemistry: Human endometrial cancer stained with ARG45620 anti-NDEL1 antibody at 2 μg/ml dilution.
-
ARG45620 anti-NDEL1 antibody WB image
Western blot: HepG2 stained with ARG45620 anti-NDEL1 antibody at 0.5 μg/ml dilution.
-
ARG45620 anti-NDEL1 antibody FACS image
Flow Cytometry: A549 stained with ARG45620 anti-NDEL1 antibody at 1 µg/10^6 cells dilution.
