ARG44049
anti-NDP52 antibody
anti-NDP52 antibody for Flow cytometry,ICC/IF,IHC-Formalin-fixed paraffin-embedded sections,Western blot and Human
Overview
| Product Description | Rabbit Polyclonal antibody recognizes NDP52 |
|---|---|
| Tested Reactivity | Hu |
| Tested Application | FACS, ICC/IF, IHC-P, WB |
| Host | Rabbit |
| Clonality | Polyclonal |
| Isotype | IgG |
| Target Name | NDP52 |
| Antigen Species | Human |
| Immunogen | Recombinant fusion protein containing a sequence corresponding to amino acids 1-446 of Human NDP52. |
| Expression System | E.coli |
| Conjugation | Un-conjugated |
| Alternate Names | CALCOCO2; Calcium Binding And Coiled-Coil Domain 2; NDP52; Calcium-Binding And Coiled-Coil Domain-Containing Protein 2; Antigen Nuclear Dot 52 KDa Protein; Nuclear Domain 10 Protein NDP52; Nuclear Domain 10 Protein 52; Nuclear Dot Protein 52; MGC17318 |
Application Instructions
| Application Suggestion |
|
||||||||||
|---|---|---|---|---|---|---|---|---|---|---|---|
| Application Note | * The dilutions indicate recommended starting dilutions and the optimal dilutions or concentrations should be determined by the scientist. |
Properties
| Form | Liquid |
|---|---|
| Purification | Affinity purified. |
| Buffer | 0.9% NaCl, 0.2% Na2HPO4, 0.05% Sodium azide and 4% Trehalose. |
| Preservative | 0.05% Sodium azide |
| Stabilizer | 4% Trehalose |
| Concentration | 0.5 mg/ml |
| Storage Instruction | For continuous use, store undiluted antibody at 2-8°C for up to a week. For long-term storage, aliquot and store at -20°C. Storage in frost free freezers is not recommended. Avoid repeated freeze/thaw cycles. Suggest spin the vial prior to opening. The antibody solution should be gently mixed before use. |
| Note | For laboratory research only, not for drug, diagnostic or other use. |
Bioinformation
| Database Links |
Swiss-port # Q13137 Human Calcium-binding and coiled-coil domain-containing protein 2 |
|---|---|
| Gene Symbol | CALCOCO2 |
| Gene Full Name | Calcium Binding And Coiled-Coil Domain 2 |
| Background | This gene encodes a coiled-coil domain-containing protein. The encoded protein functions as a receptor for ubiquitin-coated bacteria and plays an important role in innate immunity by mediating macroautophagy. Alternatively spliced transcript variants encoding multiple isoforms have been observed for this gene. |
| Function | Xenophagy-specific receptor required for autophagy-mediated intracellular bacteria degradation. Acts as an effector protein of galectin-sensed membrane damage that restricts the proliferation of infecting pathogens such as Salmonella typhimurium upon entry into the cytosol by targeting LGALS8-associated bacteria for autophagy. |
| Cellular Localization | Cytoplasm, Cytoplasmic vesicle, Cytoskeleton, Membrane |
| Calculated MW | 52 kDa |
| PTM | Phosphoprotein |
Images (4) Click the Picture to Zoom In
-
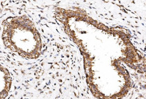
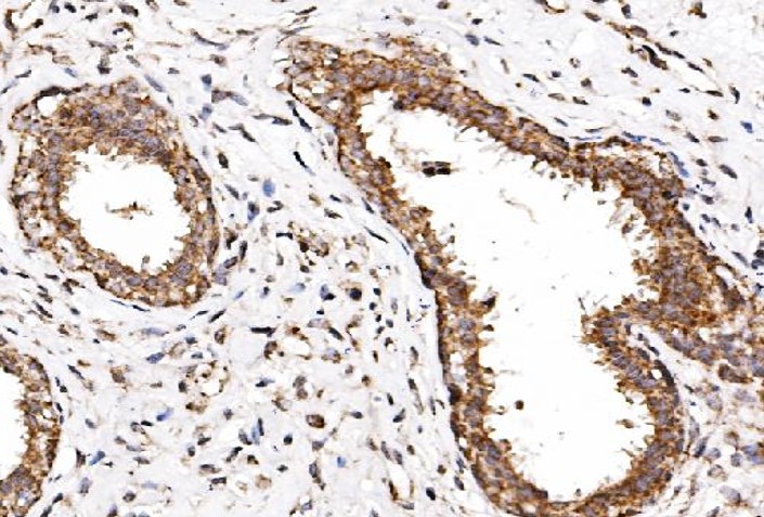
ARG44049 anti-NDP52 antibody IHC-P image
Immunohistochemistry: Human mammary cancer stained with ARG44049 anti-NDP52 antibody at 1μg/ml dilution.
-
ARG44049 anti-NDP52 antibody ICC/IF image
Immunofluorescence: HeLa stained with ARG44049 anti-NDP52 antibody at 4μg/mL dilution.
-
ARG44049 anti-NDP52 antibody WB image
Western blot: A549, SW620 and U20S stained with ARG44049 anti-NDP52 antibody at 0.5 μg/mL dilution.
-
ARG44049 anti-NDP52 antibody FACS image
Flow Cytometry: PC-3 stained with ARG44049 anti-NDP52 antibody at 1,1μg/1x10^6 cells dilution.
