ARG43964
anti-NDUFA13 antibody
anti-NDUFA13 antibody for ELISA,Flow cytometry,ICC/IF,IHC-Formalin-fixed paraffin-embedded sections,Western blot and Human,Mouse,Rat
Overview
| Product Description | Rabbit Polyclonal antibody recognizes NDUFA13 |
|---|---|
| Tested Reactivity | Hu, Ms, Rat |
| Tested Application | ELISA, FACS, ICC/IF, IHC-P, WB |
| Host | Rabbit |
| Clonality | Polyclonal |
| Isotype | IgG |
| Target Name | NDUFA13 |
| Antigen Species | Human |
| Immunogen | Human NDUFA13 recombinant protein |
| Expression System | E.coli |
| Conjugation | Un-conjugated |
| Protein Full Name | NADH dehydrogenase [ubiquinone] 1 alpha subcomplex subunit 13 |
| Alternate Names | NDUFA13; NADH:Ubiquinone Oxidoreductase Subunit A13; GRIM-19 ; GRIM19; CGI-39; CDA016; B16.6; Gene Associated With Retinoic And Interferon-Induced Mortality 19 Protein; Gene Associated With Retinoic And IFN-Induced Mortality 19 Protein; NADH Dehydrogenase [Ubiquinone] 1 Alpha Subcomplex Subunit 13; NADH Dehydrogenase (Ubiquinone) 1 Alpha Subcomplex, 13; NADH-Ubiquinone Oxidoreductase B16.6 Subunit; Cell Death Regulatory Protein GRIM-19; Complex I B16.6 Subunit; Complex I-B16.6; CI-B16.6; Cell Death-Regulatory Protein GRIM19; MC1DN28 |
Application Instructions
| Application Suggestion |
|
||||||||||||
|---|---|---|---|---|---|---|---|---|---|---|---|---|---|
| Application Note | * The dilutions indicate recommended starting dilutions and the optimal dilutions or concentrations should be determined by the scientist. |
Properties
| Form | Liquid |
|---|---|
| Purification | Affinity purified with Immunogen. |
| Buffer | 0.9% NaCl, 0.2% Na2HPO4 and 4% Trehalose. |
| Stabilizer | 4% Trehalose |
| Concentration | 0.5 mg/ml |
| Storage Instruction | For continuous use, store undiluted antibody at 2-8°C for up to a week. For long-term storage, aliquot and store at -20°C or below. Storage in frost free freezers is not recommended. Avoid repeated freeze/thaw cycles. Suggest spin the vial prior to opening. The antibody solution should be gently mixed before use. |
| Note | For laboratory research only, not for drug, diagnostic or other use. |
Bioinformation
| Database Links |
Swiss-port # Q9ERS2 Mouse NADH dehydrogenase [ubiquinone] 1 alpha subcomplex subunit 13 Swiss-port # Q9P0J0 Human NADH dehydrogenase [ubiquinone] 1 alpha subcomplex subunit 13 |
|---|---|
| Gene Symbol | NDUFA13 |
| Gene Full Name | NADH:Ubiquinone Oxidoreductase Subunit A13 |
| Background | This gene encodes a subunit of the mitochondrial membrane respiratory chain NADH dehydrogenase (Complex I), which functions in the transfer of electrons from NADH to the respiratory chain. The protein is required for complex I assembly and electron transfer activity. The protein binds the signal transducers and activators of transcription 3 (STAT3) transcription factor, and can function as a tumor suppressor. The human protein purified from mitochondria migrates at approximately 16 kDa. Transcripts originating from an upstream promoter and capable of expressing a protein with a longer N-terminus have been found, but their biological validity has not been determined. |
| Function | Accessory subunit of the mitochondrial membrane respiratory chain NADH dehydrogenase (Complex I), that is believed not to be involved in catalysis. |
| Cellular Localization | Membrane, Mitochondrion, Mitochondrion inner membrane, Nucleus |
| Calculated MW | 17 kDa |
| PTM | Acetylation |
Images (6) Click the Picture to Zoom In
-
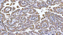
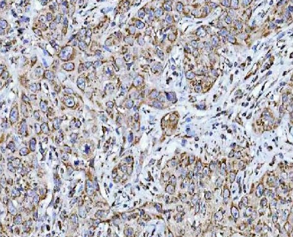
ARG43964 anti-NDUFA13 antibody IHC-P image
Immunohistochemistry: Human lung cancer stained with ARG43964 anti-NDUFA13 antibody at 2 μg/ml dilution.
-
ARG43964 anti-NDUFA13 antibody ICC/IF image
Immunofluorescence: HeLa stained with ARG43964 anti-NDUFA13 antibody at 5 μg/ml dilution.
-
ARG43964 anti-NDUFA13 antibody WB image
Western blot: Rat heart and Rat skeletal muscle stained with ARG43964 anti-NDUFA13 antibody at 0.5 μg/mL dilution.
-
ARG43964 anti-NDUFA13 antibody FACS image
Flow Cytometry: U937 cells stained with ARG43964 anti-NDUFA13 antibody (blue) at 1 μg/1x10^6 cells dilution.
-
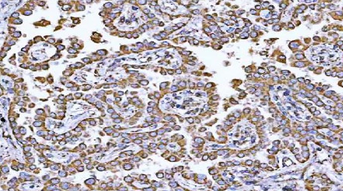
ARG43964 anti-NDUFA13 antibody IHC-P image
Immunohistochemistry: Human squamous cell carcinoma stained with ARG43964 anti-NDUFA13 antibody at 2 μg/ml dilution.
-
ARG43964 anti-NDUFA13 antibody WB image
Western blot: Mouse heart and Mouse skeletal muscle stained with ARG43964 anti-NDUFA13 antibody at 0.5 μg/mL dilution.
