ARG44712
anti-NDUFAF1 antibody
anti-NDUFAF1 antibody for IHC-Formalin-fixed paraffin-embedded sections,Immunoprecipitation,Western blot and Human
Overview
| Product Description | Mouse Monoclonal antibody recognizes NDUFAF1 |
|---|---|
| Tested Reactivity | Hu |
| Tested Application | IHC-P, IP, WB |
| Host | Mouse |
| Clonality | Monoclonal |
| Isotype | IgG1 |
| Target Name | NDUFAF1 |
| Antigen Species | Human |
| Conjugation | Un-conjugated |
| Alternate Names | NADH dehydrogenase [ubiquinone] 1 alpha subcomplex assembly factor 1; Complex I intermediate-associated protein 30, mitochondrial; CGI-65; CGI65; CIA30 |
Application Instructions
| Application Suggestion |
|
||||||||
|---|---|---|---|---|---|---|---|---|---|
| Application Note | * The dilutions indicate recommended starting dilutions and the optimal dilutions or concentrations should be determined by the scientist. |
Properties
| Form | Liquid |
|---|---|
| Purification | Protein A purification |
| Buffer | PBS with 0.09% sodium azide |
| Storage Instruction | For continuous use, store undiluted antibody at 2-8°C for up to a week. For long-term storage, aliquot and store at -20°C or below. Storage in frost free freezers is not recommended. Avoid repeated freeze/thaw cycles. Suggest spin the vial prior to opening. The antibody solution should be gently mixed before use. |
| Note | For laboratory research only, not for drug, diagnostic or other use. |
Bioinformation
| Database Links |
Swiss-port # Q9Y375 Human Complex I intermediate-associated protein 30, mitochondrial |
|---|---|
| Gene Symbol | NDUFAF1 |
| Gene Full Name | NADH dehydrogenase (ubiquinone) complex I, assembly factor 1 |
| Background | This gene encodes a complex I assembly factor protein. Complex I (NADH-ubiquinone oxidoreductase) catalyzes the transfer of electrons from NADH to ubiquinone (coenzyme Q) in the first step of the mitochondrial respiratory chain, resulting in the translocation of protons across the inner mitochondrial membrane. The encoded protein is required for assembly of complex I, and mutations in this gene are a cause of mitochondrial complex I deficiency. Alternatively spliced transcript variants have been observed for this gene, and a pseudogene of this gene is located on the long arm of chromosome 19. |
| Function | Chaperone protein involved in the assembly of the mitochondrial NADH:ubiquinone oxidoreductase complex (complex I). [UniProt] |
| Calculated MW | 150 kDa |
| PTM | N-glycosylation enhances cell surface expression and lengthens receptor half-life by preventing degradation in the ER. |
Images (3) Click the Picture to Zoom In
-
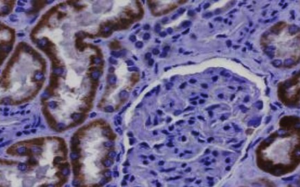
ARG44712 anti-NDUFAF1 antibody IHC-P image
Immunohistochemistry: Human kidney stained with ARG44712 anti-NDUFAF1 antibody at 5 µg/mL dilution.
-
ARG44712 anti-NDUFAF1 antibody WB image
Western blot: HepG2 stained with ARG44712 anti-NDUFAF1 antibody at 1 µg/mL dilution.
-
ARG44712 anti-NDUFAF1 antibody IP image
Immunoprecipitation: HepG2 lysate immunoprecipitated with 2.5 µg of ARG44712 anti-NDUFAF1 antibody.
