ARG42004
anti-NEDD4 antibody
anti-NEDD4 antibody for IHC-Formalin-fixed paraffin-embedded sections,Western blot and Human
Overview
| Product Description | Rabbit Polyclonal antibody recognizes NEDD4 |
|---|---|
| Tested Reactivity | Hu |
| Tested Application | IHC-P, WB |
| Host | Rabbit |
| Clonality | Polyclonal |
| Isotype | IgG |
| Target Name | NEDD4 |
| Antigen Species | Human |
| Immunogen | Recombinant fusion protein corresponding to aa. 160-460 of Human NEDD4 (NP_940682.2). |
| Conjugation | Un-conjugated |
| Alternate Names | NEDD-4; EC 6.3.2.-; RPF1; E3 ubiquitin-protein ligase NEDD4; NEDD4-1; Cell proliferation-inducing gene 53 protein; Neural precursor cell expressed developmentally down-regulated protein 4 |
Application Instructions
| Application Suggestion |
|
||||||
|---|---|---|---|---|---|---|---|
| Application Note | * The dilutions indicate recommended starting dilutions and the optimal dilutions or concentrations should be determined by the scientist. | ||||||
| Positive Control | Jurkat | ||||||
| Observed Size | ~ 120 kDa |
Properties
| Form | Liquid |
|---|---|
| Purification | Affinity purified. |
| Buffer | PBS (pH 7.3), 0.02% Sodium azide and 50% Glycerol. |
| Preservative | 0.02% Sodium azide |
| Stabilizer | 50% Glycerol |
| Storage Instruction | For continuous use, store undiluted antibody at 2-8°C for up to a week. For long-term storage, aliquot and store at -20°C. Storage in frost free freezers is not recommended. Avoid repeated freeze/thaw cycles. Suggest spin the vial prior to opening. The antibody solution should be gently mixed before use. |
| Note | For laboratory research only, not for drug, diagnostic or other use. |
Bioinformation
| Database Links | |
|---|---|
| Gene Symbol | NEDD4 |
| Gene Full Name | neural precursor cell expressed, developmentally down-regulated 4, E3 ubiquitin protein ligase |
| Function | E3 ubiquitin-protein ligase which accepts ubiquitin from an E2 ubiquitin-conjugating enzyme in the form of a thioester and then directly transfers the ubiquitin to targeted substrates. Involved in the pathway leading to the degradation of VEGFR-2/KDFR, independently of its ubiquitin-ligase activity. Monoubiquitinates IGF1R at multiple sites, thus leading to receptor internalization and degradation in lysosomes. Ubiquitinates FGFR1, leading to receptor internalization and degradation in lysosomes. Promotes ubiquitination of RAPGEF2. The direct link between NEDD4 and PTEN regulation through polyubiquitination is questionable. Involved in ubiquitination of ERBB4 intracellular domain E4ICD. Involved in the budding of many viruses. Part of a signaling complex composed of NEDD4, RAP2A and TNIK which regulates neuronal dendrite extension and arborization during development. Ubiquitinates TNK2 and regulates EGF-induced degradation of EGFR and TNF2. Involved in the ubiquitination of ebola virus VP40 protein and this ubiquitination plays a role in facilitating viral budding. Ubiquitinates BRAT1 and this ubiquitination is enhanced in the presence of NDFIP1. [UniProt] |
| Cellular Localization | Cytoplasm. Cell membrane; Peripheral membrane protein. Note=Recruited to the plasma membrane by GRB10. Once complexed with GRB10 and IGF1R, follows IGF1R internalization, remaining associated with early endosomes. Uncouples from IGF1R-containing endosomes before the sorting of the receptor to the lysosomal compartment (By similarity). May be recruited to exosomes by NDFIP1. [UniProt] |
| Calculated MW | 149 kDa |
| PTM | Auto-ubiquitinated. [UniProt] |
Images (2) Click the Picture to Zoom In
-
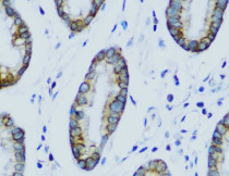
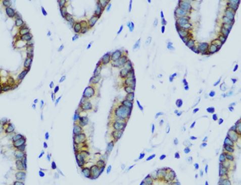
ARG42004 anti-NEDD4 antibody IHC-P image
Immunohistochemistry: Paraffin-embedded Human gastric tissue stained with ARG42004 anti-NEDD4 antibody at 1:200 dilution.
-
ARG42004 anti-NEDD4 antibody WB image
Western blot: 25 µg of Jurkat cell lysate stained with ARG42004 anti-NEDD4 antibody at 1:1000 dilution.
