ARG59010
anti-NEDD8 antibody
anti-NEDD8 antibody for Flow cytometry,ICC/IF,IHC-Formalin-fixed paraffin-embedded sections,Western blot and Human,Mouse,Rat
Overview
| Product Description | Rabbit Polyclonal antibody recognizes NEDD8 |
|---|---|
| Tested Reactivity | Hu, Ms, Rat |
| Tested Application | FACS, ICC/IF, IHC-P, WB |
| Host | Rabbit |
| Clonality | Polyclonal |
| Isotype | IgG |
| Target Name | NEDD8 |
| Antigen Species | Human |
| Immunogen | Synthetic peptide corresponding to aa. 20-60 of Human NEDD8 (TDKVERIKERVEEKEGIPPQQQRLIYSGKQMNDEKTAADYK). |
| Conjugation | Un-conjugated |
| Alternate Names | NEDD8; Ubiquitin-like protein Nedd8; Neddylin; NEDD-8; Neural precursor cell expressed developmentally down-regulated protein 8 |
Application Instructions
| Application Suggestion |
|
||||||||||
|---|---|---|---|---|---|---|---|---|---|---|---|
| Application Note | IHC-P: Antigen Retrieval: By heat mediation. * The dilutions indicate recommended starting dilutions and the optimal dilutions or concentrations should be determined by the scientist. |
Properties
| Form | Liquid |
|---|---|
| Purification | Affinity purification with immunogen. |
| Buffer | 0.2% Na2HPO4, 0.9% NaCl, 0.05% Sodium azide and 5% BSA. |
| Preservative | 0.05% Sodium azide |
| Stabilizer | 5% BSA |
| Concentration | 0.5 mg/ml |
| Storage Instruction | For continuous use, store undiluted antibody at 2-8°C for up to a week. For long-term storage, aliquot and store at -20°C or below. Storage in frost free freezers is not recommended. Avoid repeated freeze/thaw cycles. Suggest spin the vial prior to opening. The antibody solution should be gently mixed before use. |
| Note | For laboratory research only, not for drug, diagnostic or other use. |
Bioinformation
| Database Links | |
|---|---|
| Gene Symbol | NEDD8 |
| Gene Full Name | neural precursor cell expressed, developmentally down-regulated 8 |
| Function | Ubiquitin-like protein which plays an important role in cell cycle control and embryogenesis. Covalent attachment to its substrates requires prior activation by the E1 complex UBE1C-APPBP1 and linkage to the E2 enzyme UBE2M. Attachment of NEDD8 to cullins activates their associated E3 ubiquitin ligase activity, and thus promotes polyubiquitination and proteasomal degradation of cyclins and other regulatory proteins. [UniProt] |
| Cellular Localization | Nucleus. Mainly nuclear. [UniProt] |
| Calculated MW | 9 kDa |
| PTM | Cleavage of precursor form by UCHL3 or SENP8 is necessary for function. [UniProt] |
Images (4) Click the Picture to Zoom In
-
ARG59010 anti-NEDD8 antibody ICC/IF image
Immunofluorescence: A431 cells were blocked with 10% goat serum and then stained with ARG59010 anti-NEDD8 antibody (green) at 2 µg/ml dilution, overnight at 4°C. DAPI (blue) for nuclear staining.
-
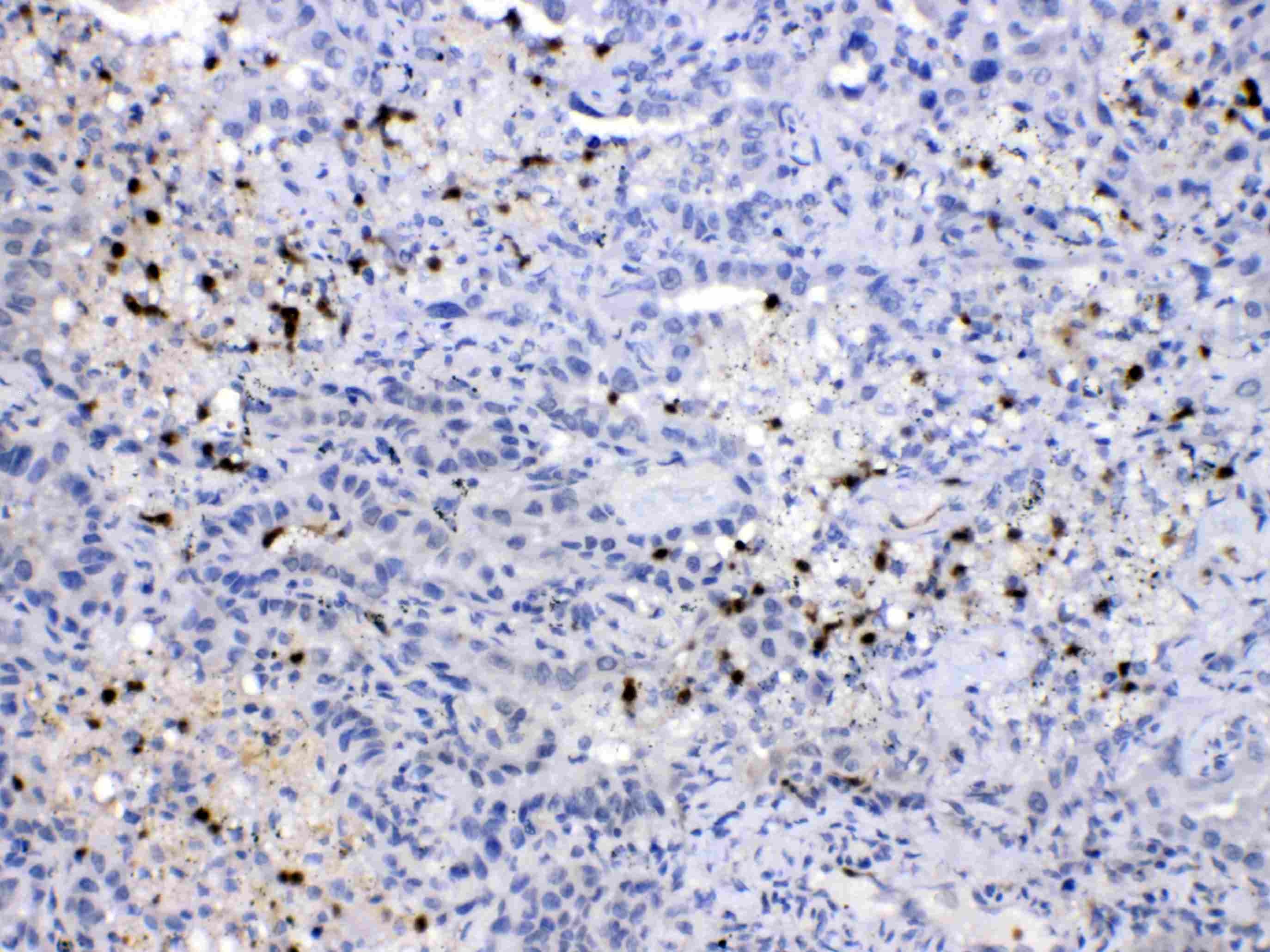
ARG59010 anti-NEDD8 antibody IHC-P image
Immunohistochemistry: Paraffin-embedded Human lung cancer tissue stained with ARG59010 anti-NEDD8 antibody at 1 µg/ml dilution.
-
ARG59010 anti-NEDD8 antibody WB image
Western blot: Rat testis, Mouse thymus, Mouse brain, HeLa and MCF-7 lysates stained with ARG59010 anti-NEDD8 antibody at 0.5 µg/ml dilution.
-
ARG59010 anti-NEDD8 antibody FACS image
Flow Cytometry: A431 cells were blocked with 10% normal goat serum and then stained with ARG59010 anti-NEDD8 antibody (blue) at 1 µg/10^6 cells for 30 min at 20°C, followed by incubation with DyLight®488 labelled secondary antibody. Isotype control antibody (green) was rabbit IgG (1 µg/10^6 cells) used under the same conditions. Unlabelled sample (red) was also used as a control.
