ARG54866
anti-NEK2 antibody
anti-NEK2 antibody for ICC/IF,IHC-Formalin-fixed paraffin-embedded sections,Western blot and Human
Cancer antibody; Cell Biology and Cellular Response antibody; Signaling Transduction antibody
Overview
| Product Description | Rabbit Polyclonal antibody recognizes NEK2 |
|---|---|
| Tested Reactivity | Hu |
| Tested Application | ICC/IF, IHC-P, WB |
| Host | Rabbit |
| Clonality | Polyclonal |
| Isotype | IgG |
| Target Name | NEK2 |
| Antigen Species | Human |
| Immunogen | KLH-conjugated synthetic peptide corresponding to aa. 396-426 (Center) of Human NEK2. |
| Conjugation | Un-conjugated |
| Alternate Names | Serine/threonine-protein kinase Nek2; NEK2A; Never in mitosis A-related kinase 2; HSPK 21; NimA-like protein kinase 1; EC 2.7.11.1; HsPK21; NimA-related protein kinase 2; PPP1R111; NLK1; RP67 |
Application Instructions
| Application Suggestion |
|
||||||||
|---|---|---|---|---|---|---|---|---|---|
| Application Note | * The dilutions indicate recommended starting dilutions and the optimal dilutions or concentrations should be determined by the scientist. | ||||||||
| Positive Control | 293T |
Properties
| Form | Liquid |
|---|---|
| Purification | Purification with Protein G. |
| Buffer | PBS and 0.09% (W/V) Sodium azide |
| Preservative | 0.09% (W/V) Sodium azide |
| Storage Instruction | For continuous use, store undiluted antibody at 2-8°C for up to a week. For long-term storage, aliquot and store at -20°C or below. Storage in frost free freezers is not recommended. Avoid repeated freeze/thaw cycles. Suggest spin the vial prior to opening. The antibody solution should be gently mixed before use. |
| Note | For laboratory research only, not for drug, diagnostic or other use. |
Bioinformation
| Database Links |
Swiss-port # P51955 Human Serine/threonine-protein kinase Nek2 |
|---|---|
| Gene Symbol | NEK2 |
| Gene Full Name | NIMA-related kinase 2 |
| Background | This gene encodes a serine/threonine-protein kinase that is involved in mitotic regulation. This protein is localized to the centrosome, and undetectable during G1 phase, but accumulates progressively throughout the S phase, reaching maximal levels in late G2 phase. Alternatively spliced transcript variants encoding different isoforms with distinct C-termini have been noted for this gene. [provided by RefSeq, Feb 2011] |
| Function | Protein kinase which is involved in the control of centrosome separation and bipolar spindle formation in mitotic cells and chromatin condensation in meiotic cells. Regulates centrosome separation (essential for the formation of bipolar spindles and high-fidelity chromosome separation) by phosphorylating centrosomal proteins such as CROCC, CEP250 and NINL, resulting in their displacement from the centrosomes. Regulates kinetochore microtubule attachment stability in mitosis via phosphorylation of NDC80. Involved in regulation of mitotic checkpoint protein complex via phosphorylation of CDC20 and MAD2L1. Plays an active role in chromatin condensation during the first meiotic division through phosphorylation of HMGA2. Phosphorylates: PPP1CC; SGOL1; NECAB3 and NPM1. Essential for localization of MAD2L1 to kinetochore and MAPK1 and NPM1 to the centrosome. Isoform 1 phosphorylates and activates NEK11 in G1/S-arrested cells. Isoform 2, which is not present in the nucleolus, does not. [UniProt] |
| Cellular Localization | Centromere, Chromosome, Cytoplasm, Cytoskeleton, Kinetochore, Microtubule, Nucleus |
| Research Area | Cancer antibody; Cell Biology and Cellular Response antibody; Signaling Transduction antibody |
| Calculated MW | 52 kDa |
| PTM | Activated by autophosphorylation. Protein phosphatase 1 represses autophosphorylation and activation of isoform 1 by dephosphorylation. Phosphorylation by STK3/MST2 is necessary for its localization to the centrosome. |
Images (3) Click the Picture to Zoom In
-
ARG54866 anti-NEK2 antibody ICC/IF image
Immunofluorescence: U251 cells stained with ARG54866 anti-NEK2 antibody (green) at 1:25 dilution. Cytoplasmic actin was counterstained with Alexa Fluor® 555 conjugated with Phalloidin (red).
-
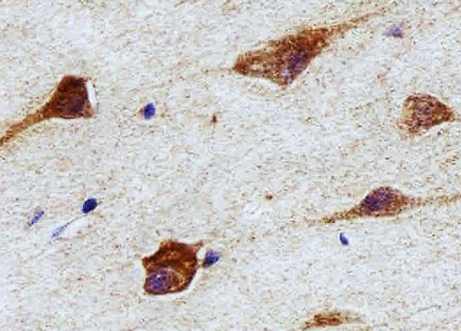
ARG54866 anti-NEK2 antibody IHC-P image
Immunohistochemistry: Paraffin-embedded Human brain tissue stained with ARG54866 anti-NEK2 antibody at 1:100 dilution.
-
ARG54866 anti-NEK2 antibody WB image
Western blot: 35 µg of 293T cell lysate stained with ARG54866 anti-NEK2 antibody at 1:1000 dilution.
