ARG45921
anti-NEK5 antibody
anti-NEK5 antibody for Western blot,IHC-Formalin-fixed paraffin-embedded sections,ICC/IF and Mouse,Rat
Overview
| Product Description | Rabbit Polyclonal antibody recognizes NEK5 |
|---|---|
| Tested Reactivity | Ms, Rat |
| Tested Application | ICC/IF, IHC-P, WB |
| Host | Rabbit |
| Clonality | Polyclonal |
| Isotype | IgG |
| Target Name | NEK5 |
| Antigen Species | Mouse |
| Immunogen | Recombinant protein containing to mouse NEK5. |
| Conjugation | Un-conjugated |
| Alternate Names | NIMA (Never In Mitosis Gene A)-Related Expressed Kinase 5; Nek5; Serine/threonine-protein kinase Nek5; EC 2.7.11.1; Never in mitosis A-related kinase 5; NimA-related protein kinase 5 |
Application Instructions
| Application Suggestion |
|
||||||||
|---|---|---|---|---|---|---|---|---|---|
| Application Note | * The dilutions indicate recommended starting dilutions and the optimal dilutions or concentrations should be determined by the scientist. | ||||||||
| Observed Size | 80 kDa |
Properties
| Form | Liquid |
|---|---|
| Purification | Affinity chromatography purified |
| Buffer | 0.2% Na2HPO4, 0.9% NaCl and 4% Trehalose. |
| Stabilizer | 4% Trehalose |
| Concentration | 0.5 mg/ml |
| Storage Instruction | For continuous use, store undiluted antibody at 2-8°C for up to a week. For long-term storage, aliquot and store at -22°C or below. Storage in frost free freezers is not recommended. Avoid repeated freeze/thaw cycles. Suggest spin the vial prior to opening. The antibody solution should be gently mixed before use. |
| Note | For laboratory research only, not for drug, diagnostic or other use. |
Bioinformation
| Gene Symbol | NEK5 |
|---|---|
| Gene Full Name | NIMA (Never In Mitosis Gene A)-Related Expressed Kinase 5 |
| Background | Predicted to enable protein kinase activity. Predicted to be involved in chromatin remodeling. Predicted to act upstream of or within positive regulation of cysteine-type endopeptidase activity and positive regulation of striated muscle cell differentiation. [provided by Alliance of Genome Resources, Feb 2025] |
| Cellular Localization | Cell projection; Cilium; Flagellum. [UniProt] |
| Calculated MW | 72 kDa |
Images (5) Click the Picture to Zoom In
-
ARG45921 anti-NEK5 antibody ICC/IF image
Immunofluorescence: NIH/3T3 stained with ARG45921 anti-NEK5 antibody at 5 μg/ml dilution.
-
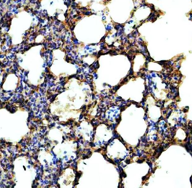
ARG45921 anti-NEK5 antibody IHC-P image
Immunohistochemistry: Rat lung stained with ARG45921 anti-NEK5 antibody at 2 μg/ml dilution.
-
ARG45921 anti-NEK5 antibody WB image
Western blot: Rat lung stained with ARG45921 anti-NEK5 antibody at 0.5 μg/ml dilution.
-
ARG45921 anti-NEK5 antibody IHC-P image
Immunohistochemistry: Mouse lung stained with ARG45921 anti-NEK5 antibody at 2 μg/ml dilution.
-
ARG45921 anti-NEK5 antibody WB image
Western blot: Mouse brain stained with ARG45921 anti-NEK5 antibody at 0.5 μg/ml dilution.
