ARG45922
anti-NEK9 antibody
anti-NEK9 antibody for Western blot,IHC-Formalin-fixed paraffin-embedded sections,Flow cytometry and Human
Overview
| Product Description | Rabbit Polyclonal antibody recognizes NEK9 |
|---|---|
| Tested Reactivity | Hu |
| Tested Application | FACS, IHC-P, WB |
| Host | Rabbit |
| Clonality | Polyclonal |
| Isotype | IgG |
| Target Name | NEK9 |
| Antigen Species | Human |
| Immunogen | Recombinant protein containing to human NEK9. |
| Conjugation | Un-conjugated |
| Alternate Names | NIMA Related Kinase 9; NEK9; KIAA1995; NEK8; NERCC; Serine/threonine-protein kinase Nek9; EC 2.7.11.1; Nercc1 kinase; Never in mitosis A-related kinase 9; NimA-related protein kinase 9; NimA-related kinase 8; Nek8 |
Application Instructions
| Application Suggestion |
|
||||||||
|---|---|---|---|---|---|---|---|---|---|
| Application Note | * The dilutions indicate recommended starting dilutions and the optimal dilutions or concentrations should be determined by the scientist. | ||||||||
| Observed Size | 120 kDa |
Properties
| Form | Liquid |
|---|---|
| Purification | Affinity chromatography purified |
| Buffer | 0.2% Na2HPO4, 0.9% NaCl and 4% Trehalose. |
| Stabilizer | 4% Trehalose |
| Concentration | 0.5 mg/ml |
| Storage Instruction | For continuous use, store undiluted antibody at 2-8°C for up to a week. For long-term storage, aliquot and store at -22°C or below. Storage in frost free freezers is not recommended. Avoid repeated freeze/thaw cycles. Suggest spin the vial prior to opening. The antibody solution should be gently mixed before use. |
| Note | For laboratory research only, not for drug, diagnostic or other use. |
Bioinformation
| Database Links |
Swiss-port # Q8TD19 Human Serine/threonine-protein kinase Nek9 |
|---|---|
| Gene Symbol | NEK9 |
| Gene Full Name | NIMA Related Kinase 9 |
| Background | This gene encodes a member of the NimA (never in mitosis A) family of serine/threonine protein kinases. The encoded protein is activated in mitosis and, in turn, activates other family members during mitosis. This protein also mediates cellular processes that are essential for interphase progression. [provided by RefSeq, Jul 2016] |
| Function | Pleiotropic regulator of mitotic progression, participating in the control of spindle dynamics and chromosome separation [UniProt] |
| Cellular Localization | Cytoplasm; Nucleus. [UniProt] |
| Calculated MW | 107 kDa |
| PTM | Acetylation; Phosphoprotein. [UniProt] |
Images (3) Click the Picture to Zoom In
-
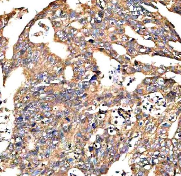
ARG45922 anti-NEK9 antibody IHC-P image
Immunohistochemistry: Human colon cancer stained with ARG45922 anti-NEK9 antibody at 2 μg/ml dilution.
-
ARG45922 anti-NEK9 antibody WB image
Western blot: Hela stained with ARG45922 anti-NEK9 antibody at 0.5 μg/ml dilution.
-
ARG45922 anti-NEK9 antibody FACS image
Flow Cytometry: HepG2 stained with ARG45922 anti-NEK9 antibody at 1 µg/10^6 cells dilution.
