ARG59017
anti-NFIB / NF1B2 antibody
anti-NFIB / NF1B2 antibody for IHC-Formalin-fixed paraffin-embedded sections,Western blot and Human,Mouse,Rat
Overview
| Product Description | Rabbit Polyclonal antibody recognizes NFIB / NF1B2 |
|---|---|
| Tested Reactivity | Hu, Ms, Rat |
| Tested Application | IHC-P, WB |
| Host | Rabbit |
| Clonality | Polyclonal |
| Isotype | IgG |
| Target Name | NFIB / NF1B2 |
| Antigen Species | Human |
| Immunogen | Synthetic peptide corresponding to a sequence of Human NFIB / NF1B2 (ELVRVSRTPITQGTGVNFPIGEIPSQPYYHDMNSGVNLQR). |
| Conjugation | Un-conjugated |
| Alternate Names | NFI-RED; Nuclear factor 1/B; HMGIC/NFIB; TGGCA-binding protein; Nuclear factor 1 B-type; NF-I/B; NF1-B; CTF; CCAAT-box-binding transcription factor; NFI-B; NFIB2; NFIB3; Nuclear factor I/B |
Application Instructions
| Application Suggestion |
|
||||||
|---|---|---|---|---|---|---|---|
| Application Note | IHC-P: Antigen Retrieval: Heat mediated was performed in Citrate buffer (pH 6.0) for 20 min. * The dilutions indicate recommended starting dilutions and the optimal dilutions or concentrations should be determined by the scientist. |
Properties
| Form | Liquid |
|---|---|
| Purification | Affinity purification with immunogen. |
| Buffer | 0.2% Na2HPO4, 0.9% NaCl, 0.05% Sodium azide and 4% Trehalose. |
| Preservative | 0.05% Sodium azide |
| Stabilizer | 4% Trehalose |
| Concentration | 0.5 mg/ml |
| Storage Instruction | For continuous use, store undiluted antibody at 2-8°C for up to a week. For long-term storage, aliquot and store at -20°C or below. Storage in frost free freezers is not recommended. Avoid repeated freeze/thaw cycles. Suggest spin the vial prior to opening. The antibody solution should be gently mixed before use. |
| Note | For laboratory research only, not for drug, diagnostic or other use. |
Bioinformation
| Database Links | |
|---|---|
| Gene Symbol | NFIB |
| Gene Full Name | nuclear factor I/B |
| Function | Recognizes and binds the palindromic sequence 5'-TTGGCNNNNNGCCAA-3' present in viral and cellular promoters and in the origin of replication of adenovirus type 2. These proteins are individually capable of activating transcription and replication. [UniProt] |
| Cellular Localization | Nucleus. [UniProt] |
| Calculated MW | 47 kDa |
Images (4) Click the Picture to Zoom In
-
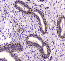
ARG59017 anti-NFIB / NF1B2 antibody IHC-P image
Immunohistochemistry: Paraffin-embedded Human mammary cancer tissue. Antigen Retrieval: Heat mediated was performed in Citrate buffer (pH 6.0, epitope retrieval solution) for 20 min. The tissue section was blocked with 10% goat serum. The tissue section was then stained with ARG59017 anti-NFIB / NF1B2 antibody at 1 µg/ml dilution, overnight at 4°C.
-
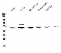
ARG59017 anti-NFIB / NF1B2 antibody WB image
Western blot: 50 µg of samples under reducing conditions. HeLa, PC-12, Mouse lung, Mouse ovary and HEPA1-6 lysates stained with ARG59017 anti-NFIB / NF1B2 antibody at 0.5 µg/ml, overnight at 4°C.
-
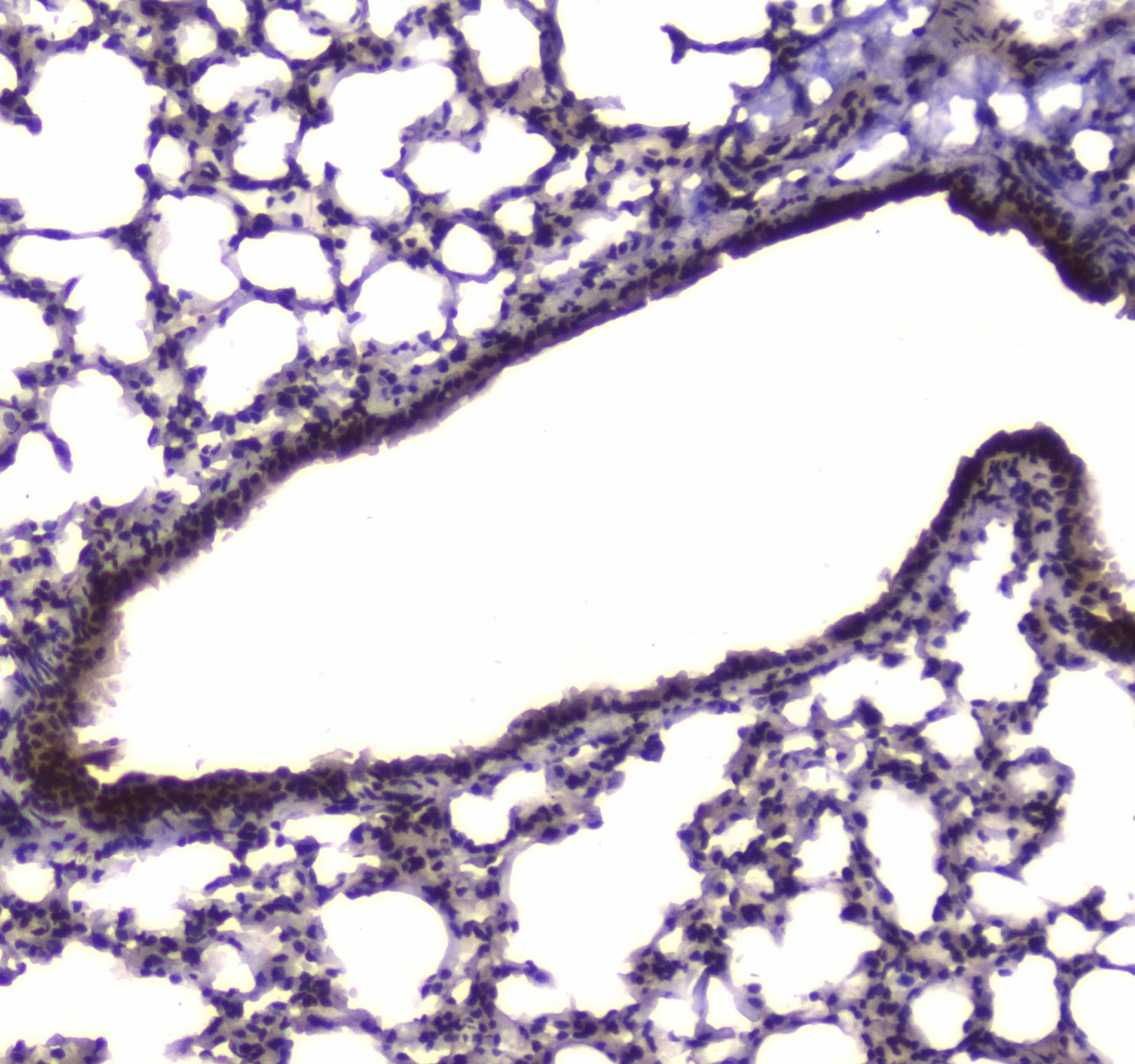
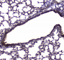
ARG59017 anti-NFIB / NF1B2 antibody IHC-P image
Immunohistochemistry: Paraffin-embedded Mouse lung tissue. Antigen Retrieval: Heat mediated was performed in Citrate buffer (pH 6.0, epitope retrieval solution) for 20 min. The tissue section was blocked with 10% goat serum. The tissue section was then stained with ARG59017 anti-NFIB / NF1B2 antibody at 1 µg/ml dilution, overnight at 4°C.
-
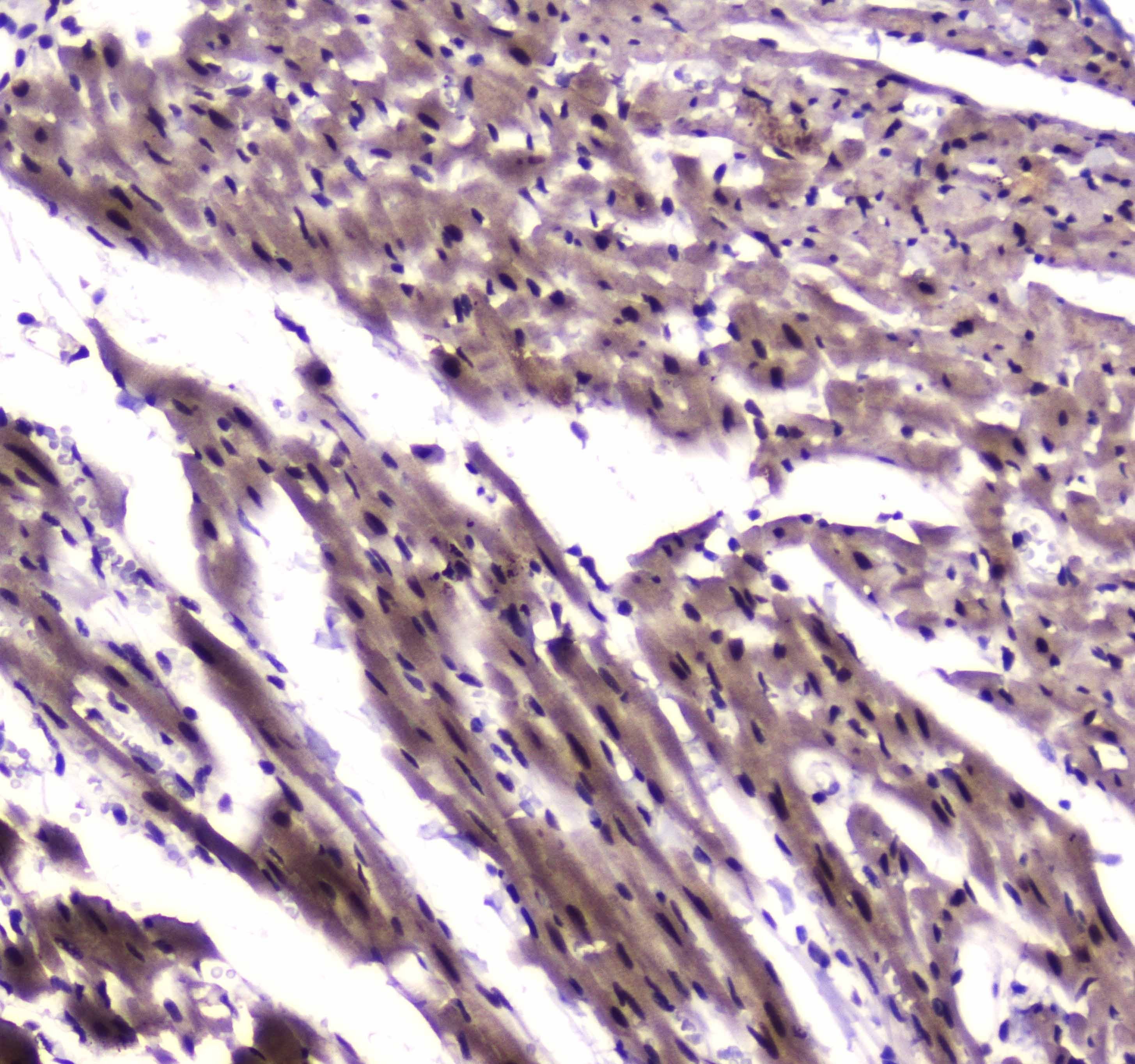
ARG59017 anti-NFIB / NF1B2 antibody IHC-P image
Immunohistochemistry: Paraffin-embedded Rat cardiac muscle tissue. Antigen Retrieval: Heat mediated was performed in Citrate buffer (pH 6.0, epitope retrieval solution) for 20 min. The tissue section was blocked with 10% goat serum. The tissue section was then stained with ARG59017 anti-NFIB / NF1B2 antibody at 1 µg/ml dilution, overnight at 4°C.
