ARG51015
anti-NFkB p100 / p52 antibody
anti-NFkB p100 / p52 antibody for IHC-Formalin-fixed paraffin-embedded sections,Western blot and Human,Mouse,Rat
Cancer antibody; Cell Biology and Cellular Response antibody; Cell Death antibody; Gene Regulation antibody; Signaling Transduction antibody
1
Overview
| Product Description | Rabbit Polyclonal antibody recognizes NFkB p100 / p52 |
|---|---|
| Tested Reactivity | Hu, Ms, Rat |
| Tested Application | IHC-P, WB |
| Host | Rabbit |
| Clonality | Polyclonal |
| Isotype | IgG |
| Target Name | NFkB p100 / p52 |
| Antigen Species | Human |
| Immunogen | Peptide sequence around aa.868~872 (Y-G-S-Q-S) derived from Human NFκB-p100/p52. |
| Conjugation | Un-conjugated |
| Alternate Names | LYT-10; NF-kB2; DNA-binding factor KBF2; Nuclear factor NF-kappa-B p100 subunit; p100; LYT10; Lymphocyte translocation chromosome 10 protein; Lyt10; Nuclear factor of kappa light polypeptide gene enhancer in B-cells 2; Oncogene Lyt-10; H2TF1; CVID10; p52 |
Application Instructions
| Application Suggestion |
|
||||||
|---|---|---|---|---|---|---|---|
| Application Note | * The dilutions indicate recommended starting dilutions and the optimal dilutions or concentrations should be determined by the scientist. |
Properties
| Form | Liquid |
|---|---|
| Purification | Antibodies were produced by immunizing rabbits with KLH-conjugated synthetic peptide. Antibodies were purified by affinity-chromatography using epitope-specific peptide. |
| Buffer | PBS (without Mg2+ and Ca2+, pH 7.4), 150mM NaCl, 0.02% Sodium azide and 50% Glycerol. |
| Preservative | 0.02% Sodium azide |
| Stabilizer | 50% Glycerol |
| Concentration | 1 mg/ml |
| Storage Instruction | For continuous use, store undiluted antibody at 2-8°C for up to a week. For long-term storage, aliquot and store at -20°C. Storage in frost free freezers is not recommended. Avoid repeated freeze/thaw cycles. Suggest spin the vial prior to opening. The antibody solution should be gently mixed before use. |
| Note | For laboratory research only, not for drug, diagnostic or other use. |
Bioinformation
| Database Links |
Swiss-port # Q00653 Human Nuclear factor NF-kappa-B p100 subunit Swiss-port # Q9WTK5 Mouse Nuclear factor NF-kappa-B p100 subunit |
|---|---|
| Gene Symbol | NFKB2 |
| Gene Full Name | nuclear factor of kappa light polypeptide gene enhancer in B-cells 2 (p49/p100) |
| Background | NFKB has been detected in numerous cell types that express cytokines, chemokines, growth factors, cell adhesion molecules, and some acute phase proteins in health and in various disease states. NFKB is activated by a wide variety of stimuli such as cytokines, oxidant-free radicals, inhaled particles, ultraviolet irradiation, and bacterial or viral products. Inappropriate activation of NF-kappa-B has been linked to inflammatory events associated with autoimmune arthritis, asthma, septic shock, lung fibrosis, glomerulonephritis, atherosclerosis, and AIDS. In contrast, complete and persistent inhibition of NF-kappa-B has been linked directly to apoptosis, inappropriate immune cell development, and delayed cell growth. |
| Function | NF-kappa-B is a pleiotropic transcription factor present in almost all cell types and is the endpoint of a series of signal transduction events that are initiated by a vast array of stimuli related to many biological processes such as inflammation, immunity, differentiation, cell growth, tumorigenesis and apoptosis. NF-kappa-B is a homo- or heterodimeric complex formed by the Rel-like domain-containing proteins RELA/p65, RELB, NFKB1/p105, NFKB1/p50, REL and NFKB2/p52. The dimers bind at kappa-B sites in the DNA of their target genes and the individual dimers have distinct preferences for different kappa-B sites that they can bind with distinguishable affinity and specificity. Different dimer combinations act as transcriptional activators or repressors, respectively. NF-kappa-B is controlled by various mechanisms of post-translational modification and subcellular compartmentalization as well as by interactions with other cofactors or corepressors. NF-kappa-B complexes are held in the cytoplasm in an inactive state complexed with members of the NF-kappa-B inhibitor (I-kappa-B) family. In a conventional activation pathway, I-kappa-B is phosphorylated by I-kappa-B kinases (IKKs) in response to different activators, subsequently degraded thus liberating the active NF-kappa-B complex which translocates to the nucleus. In a non-canonical activation pathway, the MAP3K14-activated CHUK/IKKA homodimer phosphorylates NFKB2/p100 associated with RelB, inducing its proteolytic processing to NFKB2/p52 and the formation of NF-kappa-B RelB-p52 complexes. The NF-kappa-B heterodimeric RelB-p52 complex is a transcriptional activator. The NF-kappa-B p52-p52 homodimer is a transcriptional repressor. NFKB2 appears to have dual functions such as cytoplasmic retention of attached NF-kappa-B proteins by p100 and generation of p52 by a cotranslational processing. The proteasome-mediated process ensures the production of both p52 and p100 and preserves their independent function. p52 binds to the kappa-B consensus sequence 5'-GGRNNYYCC-3', located in the enhancer region of genes involved in immune response and acute phase reactions. p52 and p100 are respectively the minor and major form; the processing of p100 being relatively poor. Isoform p49 is a subunit of the NF-kappa-B protein complex, which stimulates the HIV enhancer in synergy with p65. In concert with RELB, regulates the circadian clock by repressing the transcriptional activator activity of the CLOCK-ARNTL/BMAL1 heterodimer. [UniProt] |
| Highlight | Related products: NFkB p100 antibodies; Anti-Rabbit IgG secondary antibodies; Related poster download: The NF-kappa B Pathways.pdf |
| Research Area | Cancer antibody; Cell Biology and Cellular Response antibody; Cell Death antibody; Gene Regulation antibody; Signaling Transduction antibody |
| Calculated MW | 97 kDa |
| PTM | While translation occurs, the particular unfolded structure after the GRR repeat promotes the generation of p52 making it an acceptable substrate for the proteasome. This process is known as cotranslational processing. The processed form is active and the unprocessed form acts as an inhibitor (I kappa B-like), being able to form cytosolic complexes with NF-kappa B, trapping it in the cytoplasm. Complete folding of the region downstream of the GRR repeat precludes processing. Subsequent to MAP3K14-dependent serine phosphorylation, p100 polyubiquitination occurs then triggering its proteasome-dependent processing. Constitutive processing is tightly suppressed by its C-terminal processing inhibitory domain, named PID, which contains the death domain. |
Images (2) Click the Picture to Zoom In
-
ARG51015 anti-NFkB p100 / p52 antibody WB image
Western blot: Extracts from HL60 cells stained with ARG51015 anti-NFkB p100 / p52 antibody.
-
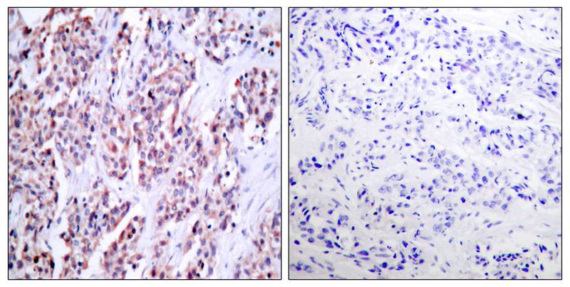
ARG51015 anti-NFkB p100 / p52 antibody IHC-P image
Immunohistochemistry: Paraffin-embedded Human breast carcinoma tissue stained with ARG51015 anti-NFkB p100 / p52 antibody (left) or the same antibody preincubated with blocking peptide (right).
Customer's Feedback
