ARG51516
anti-NFkB p65 phospho (Thr435) antibody
anti-NFkB p65 phospho (Thr435) antibody for IHC-Formalin-fixed paraffin-embedded sections,Western blot and Human,Mouse,Rat
Cancer antibody; Cell Biology and Cellular Response antibody; Cell Death antibody; Gene Regulation antibody; Immune System antibody; Metabolism antibody; Microbiology and Infectious Disease antibody; Neuroscience antibody; Signaling Transduction antibody; NFkB nuclear translocation Study antibody; Inflammation Study antibody
Overview
| Product Description | Rabbit Polyclonal antibody recognizes NFkB p65 phospho (Thr435) |
|---|---|
| Tested Reactivity | Hu, Ms, Rat |
| Tested Application | IHC-P, WB |
| Host | Rabbit |
| Clonality | Polyclonal |
| Isotype | IgG |
| Target Name | NFkB p65 |
| Antigen Species | Human |
| Immunogen | Peptide sequence around phosphorylation site of threonine 435(E-G-T(p)-L-S) derived from Human NFκB-p65. |
| Conjugation | Un-conjugated |
| Alternate Names | Nuclear factor NF-kappa-B p65 subunit; Nuclear factor of kappa light polypeptide gene enhancer in B-cells 3; NFKB3; p65; Transcription factor p65 |
Application Instructions
| Application Suggestion |
|
||||||
|---|---|---|---|---|---|---|---|
| Application Note | * The dilutions indicate recommended starting dilutions and the optimal dilutions or concentrations should be determined by the scientist. |
Properties
| Form | Liquid |
|---|---|
| Purification | Antibodies were produced by immunizing rabbits with KLH-conjugated synthetic phosphopeptide. Antibodies were purified by affinity-chromatography using epitope-specific phosphopeptide. In addition, non-phospho specific antibodies were removed by chromatogramphy using non-phosphopeptide. |
| Buffer | PBS (without Mg2+ and Ca2+, pH 7.4), 150mM NaCl, 0.02% Sodium azide and 50% Glycerol. |
| Preservative | 0.02% Sodium azide |
| Stabilizer | 50% Glycerol |
| Concentration | 1 mg/ml |
| Storage Instruction | For continuous use, store undiluted antibody at 2-8°C for up to a week. For long-term storage, aliquot and store at -20°C. Storage in frost free freezers is not recommended. Avoid repeated freeze/thaw cycles. Suggest spin the vial prior to opening. The antibody solution should be gently mixed before use. |
| Note | For laboratory research only, not for drug, diagnostic or other use. |
Bioinformation
| Database Links | |
|---|---|
| Gene Symbol | RELA |
| Gene Full Name | v-rel avian reticuloendotheliosis viral oncogene homolog A |
| Background | NFkB is a ubiquitous transcription factor involved in several biological processes. It is held in the cytoplasm in an inactive state by specific inhibitors. Upon degradation of the inhibitor, NF-kappa-B moves to the nucleus and activates transcription of specific genes. NF-kappa-B is composed of NFKB1 or NFKB2 bound to either REL, RELA, or RELB. The most abundant form of NF-kappa-B is NFKB1 complexed with the product of this gene, RELA. Four transcript variants encoding different isoforms have been found for this gene. [provided by RefSeq, Sep 2011] |
| Function | NFkB is a pleiotropic transcription factor present in almost all cell types and is the endpoint of a series of signal transduction events that are initiated by a vast array of stimuli related to many biological processes such as inflammation, immunity, differentiation, cell growth, tumorigenesis and apoptosis. NF-kappa-B is a homo- or heterodimeric complex formed by the Rel-like domain-containing proteins RELA/p65, RELB, NFKB1/p105, NFKB1/p50, REL and NFKB2/p52. The heterodimeric RELA-NFKB1 complex appears to be most abundant one. The dimers bind at kappa-B sites in the DNA of their target genes and the individual dimers have distinct preferences for different kappa-B sites that they can bind with distinguishable affinity and specificity. Different dimer combinations act as transcriptional activators or repressors, respectively. The NF-kappa-B heterodimeric RELA-NFKB1 and RELA-REL complexes, for instance, function as transcriptional activators. NF-kappa-B is controlled by various mechanisms of post-translational modification and subcellular compartmentalization as well as by interactions with other cofactors or corepressors. NF-kappa-B complexes are held in the cytoplasm in an inactive state complexed with members of the NF-kappa-B inhibitor (I-kappa-B) family. In a conventional activation pathway, I-kappa-B is phosphorylated by I-kappa-B kinases (IKKs) in response to different activators, subsequently degraded thus liberating the active NF-kappa-B complex which translocates to the nucleus. The inhibitory effect of I-kappa-B on NF-kappa-B through retention in the cytoplasm is exerted primarily through the interaction with RELA. RELA shows a weak DNA-binding site which could contribute directly to DNA binding in the NF-kappa-B complex. Beside its activity as a direct transcriptional activator, it is also able to modulate promoters accessibility to transcription factors and thereby indirectly regulate gene expression. Associates with chromatin at the NF-kappa-B promoter region via association with DDX1. Essential for cytokine gene expression in T-cells (PubMed:15790681). The NF-kappa-B homodimeric RELA-RELA complex appears to be involved in invasin-mediated activation of IL-8 expression. [UniProt] |
| Highlight | Related Antibody Duos and Panels: ARG30254 Phospho NFkB p65 Antibody Duo (Total, pT435) Related products: NFkB p65 antibodies; NFkB p65 Duos / Panels; Anti-Rabbit IgG secondary antibodies; Related news: Exploring Antiviral Immune Response |
| Research Area | Cancer antibody; Cell Biology and Cellular Response antibody; Cell Death antibody; Gene Regulation antibody; Immune System antibody; Metabolism antibody; Microbiology and Infectious Disease antibody; Neuroscience antibody; Signaling Transduction antibody; NFkB nuclear translocation Study antibody; Inflammation Study antibody |
| Calculated MW | 60 kDa |
| PTM | Ubiquitinated, leading to its proteasomal degradation. Degradation is required for termination of NF-kappa-B response. Monomethylated at Lys-310 by SETD6. Monomethylation at Lys-310 is recognized by the ANK repeats of EHMT1 and promotes the formation of repressed chromatin at target genes, leading to down-regulation of NF-kappa-B transcription factor activity. Phosphorylation at Ser-311 disrupts the interaction with EHMT1 without preventing monomethylation at Lys-310 and relieves the repression of target genes (By similarity). Phosphorylation at Ser-311 disrupts the interaction with EHMT1 and promotes transcription factor activity (By similarity). Phosphorylation on Ser-536 stimulates acetylation on Lys-310 and interaction with CBP; the phosphorylated and acetylated forms show enhanced transcriptional activity. Phosphorylation at Ser-276 by RPS6KA4 and RPS6KA5 promotes its transactivation and transcriptional activities. Reversibly acetylated; the acetylation seems to be mediated by CBP, the deacetylation by HDAC3 and SIRT2. Acetylation at Lys-122 enhances DNA binding and impairs association with NFKBIA. Acetylation at Lys-310 is required for full transcriptional activity in the absence of effects on DNA binding and NFKBIA association. Acetylation at Lys-310 promotes interaction with BRD4. Acetylation can also lower DNA-binding and results in nuclear export. Interaction with BRMS1 promotes deacetylation of Lys-310. Lys-310 is deacetylated by SIRT2. S-nitrosylation of Cys-38 inactivates the enzyme activity. Sulfhydration at Cys-38 mediates the anti-apoptotic activity by promoting the interaction with RPS3 and activating the transcription factor activity. Sumoylation by PIAS3 negatively regulates DNA-bound activated NF-kappa-B. Proteolytically cleaved within a conserved N-terminus region required for base-specific contact with DNA in a CPEN1-mediated manner, and hence inhibits NF-kappa-B transcriptional activity (PubMed:18212740). |
Images (4) Click the Picture to Zoom In
-
ARG51516 anti-NFkB p65 phospho (Thr435) antibody WB image
Western blot: MLE-12 stained with ARG51516 anti-NFkB p65 phospho (Thr435) antibody.
From Tian Li et al. Oxid Med Cell Longev. (2021), doi: 10.1155/2021/4158495, Fig. 3. a.
-
ARG51516 anti-NFkB p65 phospho (Thr435) antibody WB image
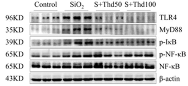
Western blot: Mouse lung stained with ARG20515 anti-CD284 / TLR4 antibody , ARG51516 anti-NFkB p65 phospho (Thr435) antibody and ARG51013 anti-NFkB p65 antibody.
From Li Y et al. International Journal of Molecular Sciences (2022), doi: 10.3390/ijms23105656, Fig. 4B.
-
ARG51516 anti-NFkB p65 phospho (Thr435) antibody WB image
Western blot: Extracts from HeLa cells untreated or treated with TNFa+CA stained with ARG51516 anti-NFkB p65 phospho (Thr435) antibody.
-
ARG51516 anti-NFkB p65 phospho (Thr435) antibody IHC-P image
Immunohistochemistry: Paraffin-embedded Human breast carcinoma tissue stained with ARG51516 anti-NFkB p65 phospho (Thr435) antibody.
Customer's Feedback
Excellent
Review for anti-NFkB p65 phospho (Thr435) antibody
Application:WB
Sample:HeLa (A) or HeLa treated with 5 ng/ml TNF-a for 5 min (B), 10 min (C) and 20 min (D).
Sample Loading Amount:30 µg
Primary Antibody Dilution Factor:1:500
Primary Antibody Incubation Time:overnight
Primary Antibody Incubation Temperature:4 ºC
Specific References

