ARG65235
anti-NIPBL antibody
anti-NIPBL antibody for ICC/IF,IHC-Formalin-fixed paraffin-embedded sections and Human
Gene Regulation antibody
Overview
| Product Description | Goat Polyclonal antibody recognizes NIPBL |
|---|---|
| Tested Reactivity | Hu |
| Predict Reactivity | Ms, Rat, Cow, Dog |
| Tested Application | ICC/IF, IHC-P |
| Specificity | This antibody is expected to recognize both reported isoforms (NP_597677.2; NP_056199.2). |
| Host | Goat |
| Clonality | Polyclonal |
| Isotype | IgG |
| Target Name | NIPBL |
| Antigen Species | Human |
| Immunogen | C-RPDSPRVKQGDSNK |
| Conjugation | Un-conjugated |
| Alternate Names | CDLS1; SCC2 homolog; IDN3; Scc2; CDLS; Delangin; Nipped-B-like protein; IDN3-B |
Application Instructions
| Application Suggestion |
|
||||||
|---|---|---|---|---|---|---|---|
| Application Note | IHC-P: Antigen Retrieval: Microwaved tissue section in Citrate buffer (pH 6.0). * The dilutions indicate recommended starting dilutions and the optimal dilutions or concentrations should be determined by the scientist. |
Properties
| Form | Liquid |
|---|---|
| Purification | Purified from goat serum by antigen affinity chromatography. |
| Buffer | Tris saline (pH 7.3), 0.02% Sodium azide and 0.5% BSA. |
| Preservative | 0.02% Sodium azide |
| Stabilizer | 0.5% BSA |
| Concentration | 0.5 mg/ml |
| Storage Instruction | For continuous use, store undiluted antibody at 2-8°C for up to a week. For long-term storage, aliquot and store at -20°C or below. Storage in frost free freezers is not recommended. Avoid repeated freeze/thaw cycles. Suggest spin the vial prior to opening. The antibody solution should be gently mixed before use. |
| Note | For laboratory research only, not for drug, diagnostic or other use. |
Bioinformation
| Database Links | |
|---|---|
| Background | This gene encodes the homolog of the Drosophila melanogaster Nipped-B gene product and fungal Scc2-type sister chromatid cohesion proteins. The Drosophila protein facilitates enhancer-promoter communication of remote enhancers and plays a role in developmental regulation. It is also homologous to a family of chromosomal adherins with broad roles in sister chromatid cohesion, chromosome condensation, and DNA repair. The human protein has a bipartite nuclear targeting sequence and a putative HEAT repeat. Condensins, cohesins and other complexes with chromosome-related functions also contain HEAT repeats. Mutations in this gene result in Cornelia de Lange syndrome, a disorder characterized by dysmorphic facial features, growth delay, limb reduction defects, and mental retardation. Two transcript variants encoding different isoforms have been found for this gene. [provided by RefSeq, Jul 2008] |
| Research Area | Gene Regulation antibody |
| Calculated MW | 316 kDa |
Images (2) Click the Picture to Zoom In
-
ARG65235 anti-NIPBL antibody ICC/IF image
Immunofluorescence: Paraformaldehyde fixed HeLa cells permeabilized with 0.15% Triton. Cells were stained with ARG65235 anti-NIPBL antibody (green) at 10 µg/ml dilution for 1 hour. DAPI (blue) for nuclear staining. Negative control: Unimmunized goat IgG (green) at 10 µg/ml dilution.
-
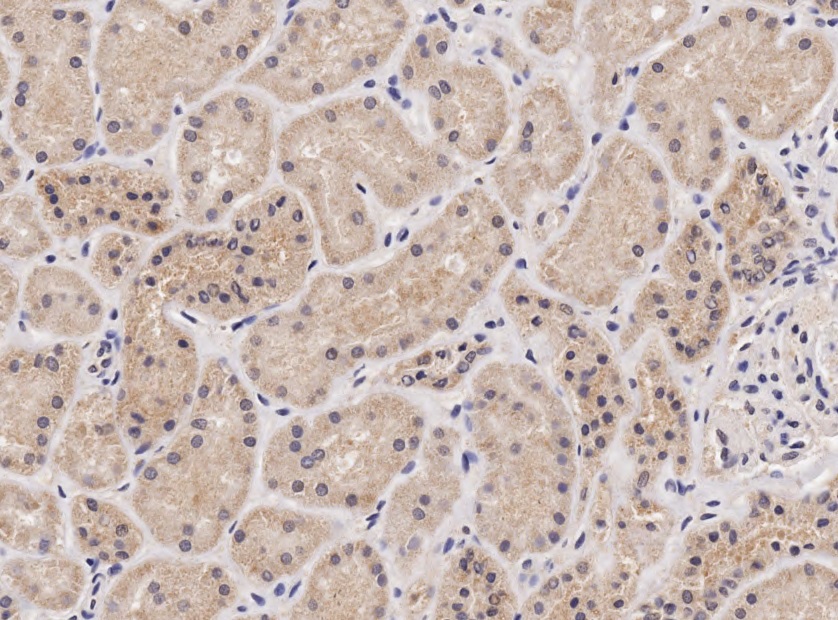
ARG65235 anti-NIPBL antibody IHC-P image
Immunohistochemistry: Paraffin-embedded Human kidney tissue. Antigen Retrieval: Microwaved tissue section in Citrate buffer (pH 6.0). The tissue section was stained with ARG65235 anti-NIPBL antibody at 2 µg/ml dilution followed by HRP-staining.
