ARG43214
anti-NLRP12 / NALP12 antibody
anti-NLRP12 / NALP12 antibody for IHC-Formalin-fixed paraffin-embedded sections,Western blot and Human
Overview
| Product Description | Rabbit Polyclonal antibody recognizes NLRP12 / NALP12 |
|---|---|
| Tested Reactivity | Hu |
| Tested Application | IHC-P, WB |
| Host | Rabbit |
| Clonality | Polyclonal |
| Isotype | IgG |
| Target Name | NLRP12 / NALP12 |
| Antigen Species | Human |
| Immunogen | KLH-conjugated synthetic peptide between aa. 183-212 of Human NLRP12 / NALP12. |
| Conjugation | Un-conjugated |
| Alternate Names | RNO2; RNO; PAN6; NALP12; Regulated by nitric oxide; PYRIN-containing APAF1-like protein 7; NACHT, LRR and PYD domains-containing protein 12; PYPAF7; FCAS2; CLR19.3; Monarch-1 |
Application Instructions
| Application Suggestion |
|
||||||
|---|---|---|---|---|---|---|---|
| Application Note | * The dilutions indicate recommended starting dilutions and the optimal dilutions or concentrations should be determined by the scientist. | ||||||
| Positive Control | Human placenta | ||||||
| Observed Size | ~ 105 kDa |
Properties
| Form | Liquid |
|---|---|
| Purification | Purification with Protein A and immunogen peptide. |
| Buffer | PBS and 0.09% (W/V) Sodium azide. |
| Preservative | 0.09% (W/V) Sodium azide |
| Storage Instruction | For continuous use, store undiluted antibody at 2-8°C for up to a week. For long-term storage, aliquot and store at -20°C or below. Storage in frost free freezers is not recommended. Avoid repeated freeze/thaw cycles. Suggest spin the vial prior to opening. The antibody solution should be gently mixed before use. |
| Note | For laboratory research only, not for drug, diagnostic or other use. |
Bioinformation
| Database Links |
Swiss-port # P59046 Human NACHT, LRR and PYD domains-containing protein 12 |
|---|---|
| Gene Symbol | NLRP12 |
| Gene Full Name | NLR family, pyrin domain containing 12 |
| Background | This gene encodes a member of the CATERPILLER family of cytoplasmic proteins. The encoded protein, which contains an N-terminal pyrin domain, a NACHT domain, a NACHT-associated domain, and a C-terminus leucine-rich repeat region, functions as an attenuating factor of inflammation by suppressing inflammatory responses in activated monocytes. Mutations in this gene cause familial cold autoinflammatory syndrome type 2. Alternative splicing results in multiple transcript variants. [provided by RefSeq, Mar 2013] |
| Function | Plays an essential role as an potent mitigator of inflammation (PubMed:30559449). Primarily expressed in dendritic cells and macrophages, inhibits both canonical and non-canonical NF-kappa-B and ERK activation pathways (PubMed:15489334, PubMed:17947705). Functions as a negative regulator of NOD2 by targeting it to degradation via the proteasome pathway (PubMed:30559449). In turn, promotes bacterial tolerance (PubMed:30559449). Inhibits also the DDX58-mediated immune signaling against RNA viruses by reducing the E3 ubiquitin ligase TRIM25-mediated 'Lys-63'-linked DDX58 activation but enhancing the E3 ubiquitin ligase RNF125-mediated 'Lys-48'-linked DDX58 degradation (PubMed:30902577). Acts also as a negative regulator of inflammatory response to mitigate obesity and obesity-associated diseases in adipose tissue (By similarity). [UniProt] |
| Cellular Localization | Cytoplasm. [UniProt] |
| Calculated MW | 120 kDa |
Images (2) Click the Picture to Zoom In
-
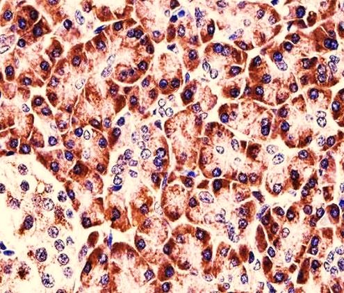
ARG43214 anti-NLRP12 / NALP12 antibody IHC-P image
Immunohistochemistry: Formalin-fixed and paraffin-embedded Human pancreas tissue stained with ARG43214 anti-NLRP12 / NALP12 antibody.
-
ARG43214 anti-NLRP12 / NALP12 antibody WB image
Western blot: 35 µg of Human placenta lysate stained with ARG43214 anti-NLRP12 / NALP12 antibody.
