ARG42965
anti-NLRP2 / NALP2 antibody
anti-NLRP2 / NALP2 antibody for Western blot and Human,Mouse
Overview
| Product Description | Rabbit Polyclonal antibody recognizes NLRP2 / NALP2 |
|---|---|
| Tested Reactivity | Hu, Ms |
| Tested Application | WB |
| Host | Rabbit |
| Clonality | Polyclonal |
| Isotype | IgG |
| Target Name | NLRP2 / NALP2 |
| Antigen Species | Human |
| Immunogen | Recombinant protein corresponding to F9-K190 of Human NLRP2 / NALP2. |
| Conjugation | Un-conjugated |
| Alternate Names | PAN1; PYPAF2; PYRIN-containing APAF1-like protein 2; NALP2; NACHT, LRR and PYD domains-containing protein 2; CLR19.9; NBS1; Nucleotide-binding site protein 1; PYRIN domain and NACHT domain-containing protein 1 |
Application Instructions
| Application Suggestion |
|
||||
|---|---|---|---|---|---|
| Application Note | * The dilutions indicate recommended starting dilutions and the optimal dilutions or concentrations should be determined by the scientist. | ||||
| Observed Size | ~ 120 kDa |
Properties
| Form | Liquid |
|---|---|
| Purification | Affinity purification with immunogen. |
| Buffer | 0.2% Na2HPO4, 0.9% NaCl, 0.05% Sodium azide and 4% Trehalose. |
| Preservative | 0.05% Sodium azide |
| Stabilizer | 4% Trehalose |
| Concentration | 0.5 mg/ml |
| Storage Instruction | For continuous use, store undiluted antibody at 2-8°C for up to a week. For long-term storage, aliquot and store at -20°C or below. Storage in frost free freezers is not recommended. Avoid repeated freeze/thaw cycles. Suggest spin the vial prior to opening. The antibody solution should be gently mixed before use. |
| Note | For laboratory research only, not for drug, diagnostic or other use. |
Bioinformation
| Database Links |
Swiss-port # Q9NX02 Human NACHT, LRR and PYD domains-containing protein 2 |
|---|---|
| Gene Symbol | NLRP2 |
| Gene Full Name | NLR family, pyrin domain containing 2 |
| Background | This gene is a member of the nucleotide-binding and leucine-rich repeat receptor (NLR) family, and is predicted to contain an N-terminal pyrin effector domain (PYD), a centrally-located nucleotide-binding and oligomerization domain (NACHT) and C-terminal leucine-rich repeats (LRR). Members of this gene family are thought to be important regulators of immune responses. This gene product interacts with components of the IkB kinase (IKK) complex, and can regulate both caspase-1 and NF-kB (nuclear factor kappa-light-chain-enhancer of activated B cells) activity. The pyrin domain is necessary and sufficient for suppression of NF-kB activity. An allelic variant (rs147585490) has been found that is incapable of blocking the transcriptional activity of NF-kB. Alternative splicing results in multiple transcript variants encoding different isoforms. [provided by RefSeq, Dec 2016] |
| Function | Suppresses TNF- and CD40-induced NFKB1 activity at the level of the IKK complex, by inhibiting NFKBIA degradation induced by TNF. When associated with PYCARD, activates CASP1, leading to the secretion of mature proinflammatory cytokine IL1B. May be a component of the inflammasome, a protein complex which also includes PYCARD, CARD8 and CASP1 and whose function would be the activation of proinflammatory caspases. [UniProt] |
| Cellular Localization | Cytoplasm. [UniProt] |
| Calculated MW | 121 kDa |
Images (2) Click the Picture to Zoom In
-
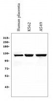
ARG42965 anti-NLRP2 / NALP2 antibody WB image
Western blot: 50 µg of sample under reducing conditions. Human placenta, K562 and A549 whole cell lysates stained with ARG42965 anti-NLRP2 / NALP2 antibody at 0.5 µg/ml dilution, overnight at 4°C.
-
ARG42965 anti-NLRP2 / NALP2 antibody WB image
Western blot: 50 µg of sample under reducing conditions. Mouse lung lysate stained with ARG42965 anti-NLRP2 / NALP2 antibody at 0.5 µg/ml dilution, overnight at 4°C.
