ARG45708
anti-NMI / n Myc Interactor antibody
anti-NMI / n Myc Interactor antibody for Flow cytometry,ICC/IF,IHC-Formalin-fixed paraffin-embedded sections,Western blot and Human
Overview
| Product Description | Rabbit Polyclonal antibody recognizes NMI / n Myc Interactor |
|---|---|
| Tested Reactivity | Hu |
| Tested Application | FACS, ICC/IF, IHC-P, WB |
| Host | Rabbit |
| Clonality | Polyclonal |
| Isotype | IgG |
| Target Name | NMI / n Myc Interactor |
| Antigen Species | Human |
| Immunogen | Recombinant protein containing to human NMI / n Myc Interactor . |
| Conjugation | Un-conjugated |
| Alternate Names | N-myc (and STAT) interactor; N-myc and STAT interactor; N-myc-interactor; Nmi |
Application Instructions
| Application Suggestion |
|
||||||||||
|---|---|---|---|---|---|---|---|---|---|---|---|
| Application Note | * The dilutions indicate recommended starting dilutions and the optimal dilutions or concentrations should be determined by the scientist. | ||||||||||
| Observed Size | 35 kDa |
Properties
| Form | Liquid |
|---|---|
| Purification | Affinity purified |
| Buffer | 0.9% NaCl, 0.2% Na2HPO4, 0.05% Sodium azide and 5% BSA. |
| Preservative | 0.05% Sodium azide |
| Stabilizer | 5% BSA |
| Concentration | 0.5 mg/ml |
| Storage Instruction | For continuous use, store undiluted antibody at 2-8°C for up to a week. For long-term storage, aliquot and store at -20°C or below. Storage in frost free freezers is not recommended. Avoid repeated freeze/thaw cycles. Suggest spin the vial prior to opening. The antibody solution should be gently mixed before use. |
| Note | For laboratory research only, not for drug, diagnostic or other use. |
Bioinformation
| Database Links | |
|---|---|
| Gene Symbol | NMI |
| Gene Full Name | N-myc (and STAT) interactor |
| Background | NMYC interactor (NMI) encodes a protein that interacts with NMYC and CMYC (two members of the oncogene Myc family), and other transcription factors containing a Zip, HLH, or HLH-Zip motif. The NMI protein also interacts with all STATs except STAT2 and augments STAT-mediated transcription in response to cytokines IL2 and IFN-gamma. The NMI mRNA has low expression levels in all human fetal and adult tissues tested except brain and has high expression in cancer cell line-myeloid leukemias. [provided by RefSeq, Jul 2008] |
| Function | May be involved in augmenting coactivator protein recruitment to a group of sequence-specific transcription factors. Augments cytokine-mediated STAT transcription. Enhances CBP/p300 coactivator protein recruitment to STAT1 and STAT5. [UniProt] |
| Cellular Localization | Cytoplasm. [UniProt] |
| Calculated MW | 35 kDa |
| PTM | Isopeptide bond; Phosphoprotein; Ubl conjugation. [UniProt] |
Images (4) Click the Picture to Zoom In
-
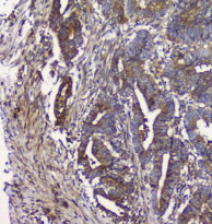
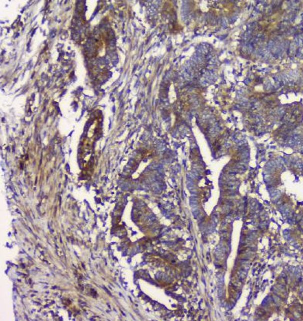
ARG45708 anti-NMI / n Myc Interactor antibody IHC-P image
Immunohistochemistry: Human colon cancer stained with ARG45708 anti-NMI / n Myc Interactor antibody at 2 μg/ml dilution.
-
ARG45708 anti-NMI / n Myc Interactor antibody ICC/IF image
Immunofluorescence: A431 stained with ARG45708 anti-NMI / n Myc Interactor antibody at 5 μg/ml dilution.
-
ARG45708 anti-NMI / n Myc Interactor antibody WB image
Western blot: Human placenta and K562 stained with ARG45708 anti-NMI / n Myc Interactor antibody at 0.5 μg/ml dilution.
-
ARG45708 anti-NMI / n Myc Interactor antibody FACS image
Flow Cytometry: U937 stained with ARG45708 anti-NMI / n Myc Interactor antibody at 1 µg/10^6 cells dilution.
