ARG43145
anti-NNT antibody
anti-NNT antibody for Flow cytometry,ICC/IF,Western blot and Human,Mouse,Rat,Monkey
Overview
| Product Description | Rabbit Polyclonal antibody recognizes NNT |
|---|---|
| Tested Reactivity | Hu, Ms, Rat, Mk |
| Tested Application | FACS, ICC/IF, WB |
| Host | Rabbit |
| Clonality | Polyclonal |
| Isotype | IgG |
| Target Name | NNT |
| Antigen Species | Human |
| Immunogen | Recombinant protein corresponding to C44-A350 of Human NNT. |
| Conjugation | Un-conjugated |
| Alternate Names | GCCD4; NAD(P) transhydrogenase, mitochondrial; EC 1.6.1.2; Nicotinamide nucleotide transhydrogenase; Pyridine nucleotide transhydrogenase |
Application Instructions
| Application Suggestion |
|
||||||||
|---|---|---|---|---|---|---|---|---|---|
| Application Note | * The dilutions indicate recommended starting dilutions and the optimal dilutions or concentrations should be determined by the scientist. | ||||||||
| Observed Size | ~ 110 kDa |
Properties
| Form | Liquid |
|---|---|
| Purification | Affinity purification with immunogen. |
| Buffer | 0.2% Na2HPO4, 0.9% NaCl, 0.01% Sodium azide and 4% Trehalose. |
| Preservative | 0.01% Sodium azide |
| Stabilizer | 4% Trehalose |
| Concentration | 0.5 mg/ml |
| Storage Instruction | For continuous use, store undiluted antibody at 2-8°C for up to a week. For long-term storage, aliquot and store at -20°C or below. Storage in frost free freezers is not recommended. Avoid repeated freeze/thaw cycles. Suggest spin the vial prior to opening. The antibody solution should be gently mixed before use. |
| Note | For laboratory research only, not for drug, diagnostic or other use. |
Bioinformation
| Database Links |
Swiss-port # Q13423 Human NAD(P) transhydrogenase, mitochondrial |
|---|---|
| Gene Symbol | NNT |
| Gene Full Name | nicotinamide nucleotide transhydrogenase |
| Background | This gene encodes an integral protein of the inner mitochondrial membrane. The enzyme couples hydride transfer between NAD(H) and NADP(+) to proton translocation across the inner mitochondrial membrane. Under most physiological conditions, the enzyme uses energy from the mitochondrial proton gradient to produce high concentrations of NADPH. The resulting NADPH is used for biosynthesis and in free radical detoxification. [provided by RefSeq, Sep 2016] |
| Function | The transhydrogenation between NADH and NADP is coupled to respiration and ATP hydrolysis and functions as a proton pump across the membrane (By similarity). May play a role in reactive oxygen species (ROS) detoxification in the adrenal gland (PubMed:22634753). [UniProt] |
| Cellular Localization | Mitochondrion inner membrane; Multi-pass membrane protein; Matrix side. [UniProt] |
| Calculated MW | 114 kDa |
Images (3) Click the Picture to Zoom In
-
ARG43145 anti-NNT antibody ICC/IF image
Immunofluorescence: U2OS cells were blocked with 10% goat serum and then stained with ARG43145 anti-NNT antibody (green) at 4 µg/ml dilution, overnight at 4°C. DAPI (blue) for nuclear staining.
-
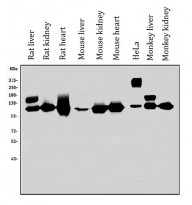
ARG43145 anti-NNT antibody WB image
Western blot: 50 µg of sample under reducing conditions. Rat liver, Rat kidney, Rat heart, Mouse liver, Mouse kidney, Mouse heart, HeLa, Monkey liver and Monkey kidney lysates stained with ARG43145 anti-NNT antibody at 0.25 µg/ml dilution, overnight at 4°C.
-
ARG43145 anti-NNT antibody FACS image
Flow Cytometry: THP-1 cells were blocked with 10% normal goat serum and then stained with ARG43145 anti-NNT antibody (blue) at 1 µg/10^6 cells for 30 min at 20°C, followed by incubation with DyLight®488 labelled secondary antibody. Isotype control antibody (green) was rabbit IgG (1 µg/10^6 cells) used under the same conditions. Unlabelled sample (red) was also used as a control.
