ARG59215
anti-NOD1 / CARD4 antibody
anti-NOD1 / CARD4 antibody for ICC/IF,IHC-Formalin-fixed paraffin-embedded sections and Human
Overview
| Product Description | Rabbit Polyclonal antibody recognizes NOD1 / CARD4 |
|---|---|
| Tested Reactivity | Hu |
| Predict Reactivity | Ms, Rat |
| Tested Application | ICC/IF, IHC-P |
| Host | Rabbit |
| Clonality | Polyclonal |
| Isotype | IgG |
| Target Name | NOD1 / CARD4 |
| Antigen Species | Human |
| Immunogen | Recombinant protein corresponding to M1-M160 of Human NOD1 / CARD4. |
| Conjugation | Un-conjugated |
| Alternate Names | CLR7.1; Nucleotide-binding oligomerization domain-containing protein 1; Caspase recruitment domain-containing protein 4; NLRC1; CARD4 |
Application Instructions
| Application Suggestion |
|
||||||
|---|---|---|---|---|---|---|---|
| Application Note | IHC-P: Antigen Retrieval: Heat mediated was performed in Citrate buffer (pH 6.0) for 20 min. * The dilutions indicate recommended starting dilutions and the optimal dilutions or concentrations should be determined by the scientist. |
Properties
| Form | Liquid |
|---|---|
| Purification | Affinity purification with immunogen. |
| Buffer | 0.9% NaCl, 0.2% Na2HPO4, 0.05% Sodium azide and 5% BSA. |
| Preservative | 0.05% Sodium azide |
| Stabilizer | 5% BSA |
| Concentration | 0.5 mg/ml |
| Storage Instruction | For continuous use, store undiluted antibody at 2-8°C for up to a week. For long-term storage, aliquot and store at -20°C or below. Storage in frost free freezers is not recommended. Avoid repeated freeze/thaw cycles. Suggest spin the vial prior to opening. The antibody solution should be gently mixed before use. |
| Note | For laboratory research only, not for drug, diagnostic or other use. |
Bioinformation
| Database Links |
Swiss-port # Q9Y239 Human Nucleotide-binding oligomerization domain-containing protein 1 |
|---|---|
| Gene Symbol | NOD1 |
| Gene Full Name | nucleotide-binding oligomerization domain containing 1 |
| Background | This gene encodes a member of the NOD (nucleotide-binding oligomerization domain) family. This member is a cytosolic protein. It contains an N-terminal caspase recruitment domain (CARD), a centrally located nucleotide-binding domain (NBD), and 10 tandem leucine-rich repeats (LRRs) in its C terminus. The CARD is involved in apoptotic signaling, LRRs participate in protein-protein interactions, and mutations in the NBD may affect the process of oligomerization and subsequent function of the LRR domain. This protein is an intracellular pattern-recognition receptor (PRR) that initiates inflammation in response to a subset of bacteria through the detection of bacterial diaminopimelic acid. Multiple alternatively spliced transcript variants differring in the 5' UTR have been described, but the full-length nature of these variants has not been determined. [provided by RefSeq, Oct 2009] |
| Function | Enhances caspase-9-mediated apoptosis. Induces NF-kappa-B activity via RIPK2 and IKK-gamma. Confers responsiveness to intracellular bacterial lipopolysaccharides (LPS). Forms an intracellular sensing system along with ARHGEF2 for the detection of microbial effectors during cell invasion by pathogens. Required for RHOA and RIPK2 dependent NF-kappa-B signaling pathway activation upon S.flexneri cell invasion. Involved not only in sensing peptidoglycan (PGN)-derived muropeptides but also in the activation of NF-kappa-B by Shigella effector proteins IpgB2 and OspB. Recruits NLRP10 to the cell membrane following bacterial infection. [UniProt] |
| Cellular Localization | Cytoplasm. Cell membrane. Apical cell membrane. Basolateral cell membrane. Note=Detected in the cytoplasm and at the cell membrane. Following bacterial infection, localizes to bacterial entry sites in the cell membrane. Recruited to the basolateral and apical membranes in polarized epithelial cells. [UniProt] |
| Calculated MW | 108 kDa |
| PTM | Ubiquitinated. 'Lys-48'-linked polyubiquitination by RNF34 promotes proteasomal degradation and thereby negatively regulates NOD1 for instance in NF-kappa-B activition. [UniProt] |
Images (4) Click the Picture to Zoom In
-
ARG59215 anti-NOD1 / CARD4 antibody ICC image
Immunocytochemistry: A549 cells stained with ARG59215 anti-NOD1 / CARD4 antibody.
-
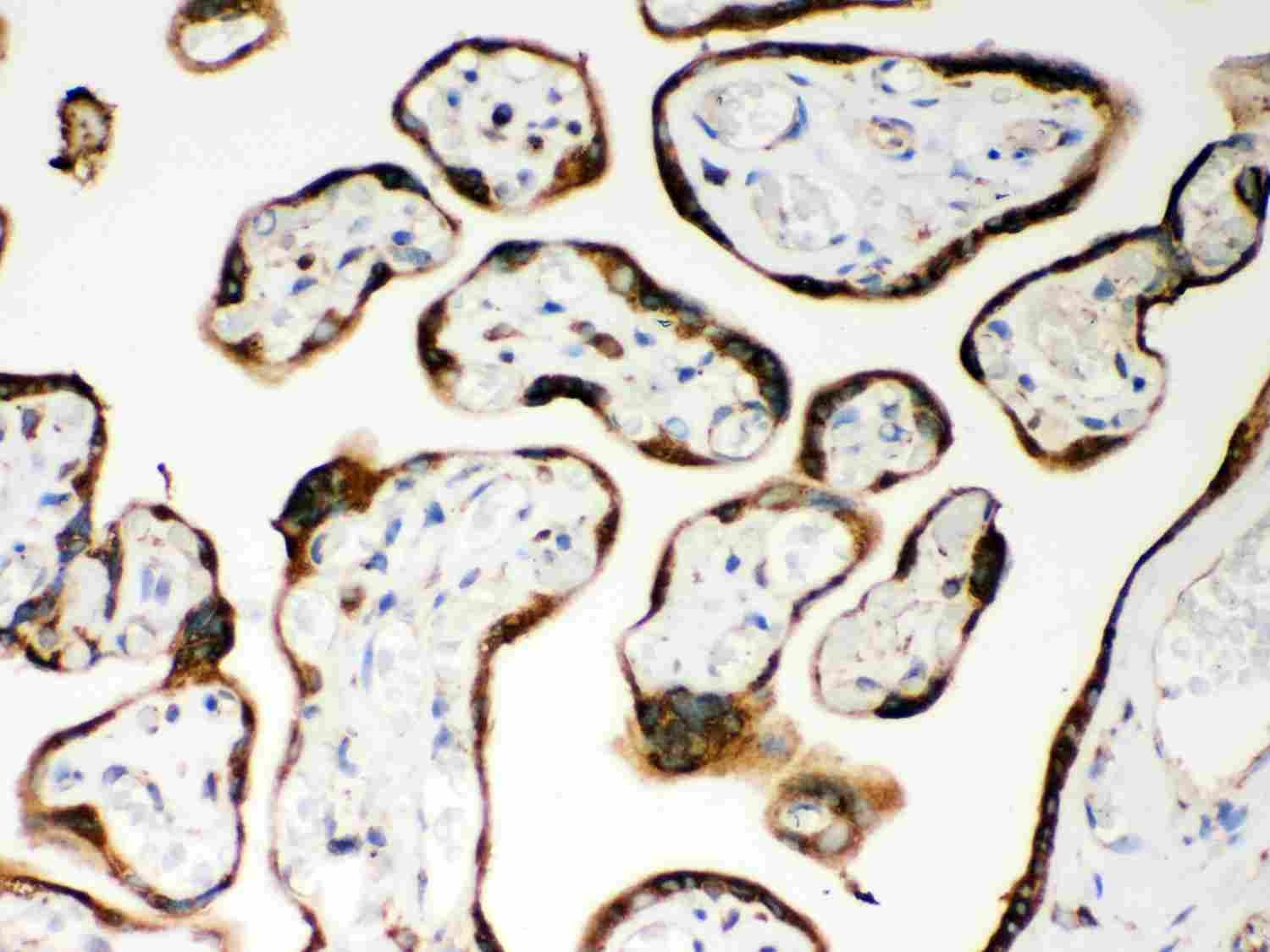
ARG59215 anti-NOD1 / CARD4 antibody IHC-P image
Immunohistochemistry: Paraffin-embedded Human placenta Tissue. Antigen Retrieval: Heat mediated was performed in Citrate buffer (pH 6.0, epitope retrieval solution) for 20 min. The tissue section was blocked with 10% goat serum. The tissue section was then stained with ARG59215 anti-NOD1 / CARD4 antibody at 1 µg/ml dilution, overnight at 4°C.
-
ARG59215 anti-NOD1 / CARD4 antibody ICC image
Immunocytochemistry: HeLa cells stained with ARG59215 anti-NOD1 / CARD4 antibody.
-
ARG59215 anti-NOD1 / CARD4 antibody ICC image
Immunocytochemistry: SMMC-7721 cells stained with ARG59215 anti-NOD1 / CARD4 antibody.
