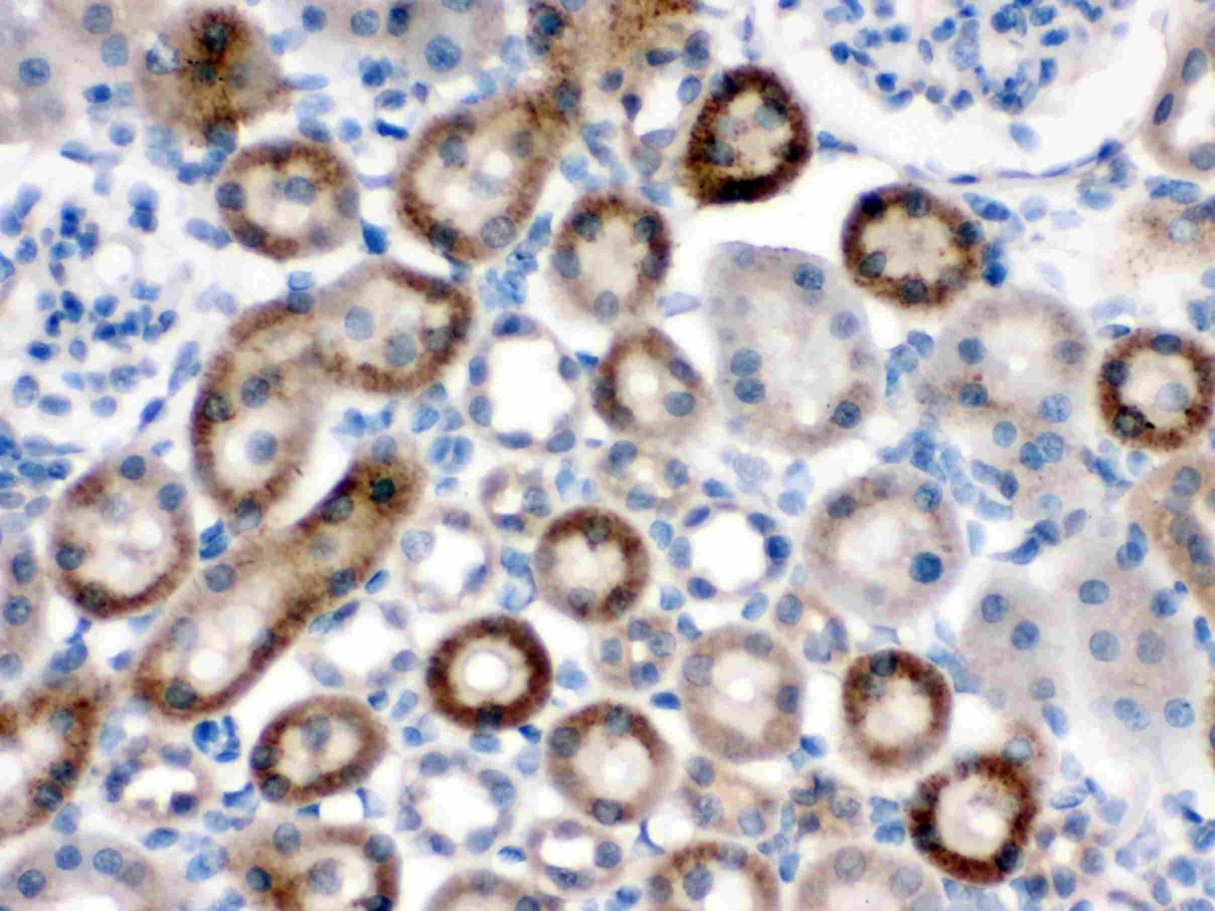
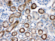
ARG59885
anti-NOX1 antibody
anti-NOX1 antibody for IHC-Formalin-fixed paraffin-embedded sections,Western blot and Mouse,Rat
Overview
| Product Description | Rabbit Polyclonal antibody recognizes NOX1 |
|---|---|
| Tested Reactivity | Ms, Rat |
| Predict Reactivity | Hm |
| Tested Application | IHC-P, WB |
| Host | Rabbit |
| Clonality | Polyclonal |
| Isotype | IgG |
| Target Name | NOX1 |
| Antigen Species | Rat |
| Immunogen | Synthetic peptide corresponding to aa. 417-431 of Rat NOX1. (WYKFQRAHNKLKTQK) |
| Conjugation | Un-conjugated |
| Alternate Names | NOH1; GP91-2; NOX-1; NADPH oxidase 1; MOX-1; Mitogenic oxidase 1; MOX1; EC 1.-.-.-; NOH-1; NADH/NADPH mitogenic oxidase subunit P65-MOX |
Application Instructions
| Application Suggestion |
|
||||||
|---|---|---|---|---|---|---|---|
| Application Note | IHC-P: Antigen Retrieval: Heat mediation was recommended. * The dilutions indicate recommended starting dilutions and the optimal dilutions or concentrations should be determined by the scientist. |
Properties
| Form | Liquid |
|---|---|
| Purification | Affinity purification with immunogen. |
| Buffer | 0.2% Na2HPO4, 0.9% NaCl, 0.05% Thimerosal, 0.05% Sodium azide and 5% BSA. |
| Preservative | 0.05% Thimerosal and 0.05% Sodium azide |
| Stabilizer | 5% BSA |
| Concentration | 0.5 mg/ml |
| Storage Instruction | For continuous use, store undiluted antibody at 2-8°C for up to a week. For long-term storage, aliquot and store at -20°C or below. Storage in frost free freezers is not recommended. Avoid repeated freeze/thaw cycles. Suggest spin the vial prior to opening. The antibody solution should be gently mixed before use. |
| Note | For laboratory research only, not for drug, diagnostic or other use. |
Bioinformation
| Database Links | |
|---|---|
| Gene Symbol | NOX1 |
| Gene Full Name | NADPH oxidase 1 |
| Background | This gene encodes a member of the NADPH oxidase family of enzymes responsible for the catalytic one-electron transfer of oxygen to generate superoxide or hydrogen peroxide. Alternatively spliced transcript variants encoding multiple isoforms have been observed for this gene. [provided by RefSeq, Nov 2012] |
| Function | NOH-1S is a voltage-gated proton channel that mediates the H(+) currents of resting phagocytes and other tissues. It participates in the regulation of cellular pH and is blocked by zinc. NOH-1L is a pyridine nucleotide-dependent oxidoreductase that generates superoxide and might conduct H(+) ions as part of its electron transport mechanism, whereas NOH-1S does not contain an electron transport chain. [UniProt] |
| Cellular Localization | Cell projection, invadopodium membrane; Multi-pass membrane protein. Cell membrane. [UniProt] |
| Calculated MW | 65 kDa |
Images (2) Click the Picture to Zoom In
