ARG59898
anti-NOX5 antibody
anti-NOX5 antibody for ICC/IF,Western blot and Human
Overview
| Product Description | Rabbit Polyclonal antibody recognizes NOX5 |
|---|---|
| Tested Reactivity | Hu |
| Tested Application | ICC/IF, WB |
| Specificity | The immunogen of the antibody is corresponding to a.a. 13-197 so it expects not react to NOX5 epsilon. |
| Host | Rabbit |
| Clonality | Polyclonal |
| Isotype | IgG |
| Target Name | NOX5 |
| Antigen Species | Human |
| Immunogen | Recombinant protein corresponding to E13-F197 of Human NOX5. |
| Conjugation | Un-conjugated |
| Alternate Names | NADPH oxidase 5; EC 1.6.3.- |
Application Instructions
| Application Suggestion |
|
||||||
|---|---|---|---|---|---|---|---|
| Application Note | * The dilutions indicate recommended starting dilutions and the optimal dilutions or concentrations should be determined by the scientist. | ||||||
| Observed Size | ~ 85 kDa |
Properties
| Form | Liquid |
|---|---|
| Purification | Affinity purification with immunogen. |
| Buffer | 0.2% Na2HPO4, 0.9% NaCl, 0.05% Sodium azide and 4% Trehalose. |
| Preservative | 0.05% Sodium azide |
| Stabilizer | 4% Trehalose |
| Concentration | 0.5 mg/ml |
| Storage Instruction | For continuous use, store undiluted antibody at 2-8°C for up to a week. For long-term storage, aliquot and store at -20°C or below. Storage in frost free freezers is not recommended. Avoid repeated freeze/thaw cycles. Suggest spin the vial prior to opening. The antibody solution should be gently mixed before use. |
| Note | For laboratory research only, not for drug, diagnostic or other use. |
Bioinformation
| Database Links | |
|---|---|
| Gene Symbol | NOX5 |
| Gene Full Name | NADPH oxidase, EF-hand calcium binding domain 5 |
| Background | This gene is predominantly expressed in the testis and lymphocyte-rich areas of spleen and lymph nodes. It encodes a calcium-dependen NADPH oxidase that generates superoxide, and functions as a calcium-dependent proton channel that may regulate redox-dependent processes in lymphocytes and spermatozoa. Alternatively spliced transcript variants encoding different isoforms have been described for this gene. [provided by RefSeq, Oct 2011] |
| Function | Calcium-dependent NADPH oxidase that generates superoxide. Also functions as a calcium-dependent proton channel and may regulate redox-dependent processes in lymphocytes and spermatozoa. May play a role in cell growth and apoptosis. Isoform v2 and isoform v5 are involved in endothelial generation of reactive oxygen species (ROS), proliferation and angiogenesis and contribute to endothelial response to thrombin. [UniProt] |
| Cellular Localization | Membrane; Multi-pass membrane protein. Isoform v2: Endoplasmic reticulum. Isoform v5: Endoplasmic reticulum. [UniProt] |
| Calculated MW | 86 kDa |
Images (2) Click the Picture to Zoom In
-
ARG59898 anti-NOX5 antibody ICC/IF image
Immunofluorescence: HeLa cells were blocked with 10% goat serum and then stained with ARG59898 anti-NOX5 antibody (green) at 2 µg/ml dilution, overnight at 4°C. DAPI (blue) for nuclear staining.
-
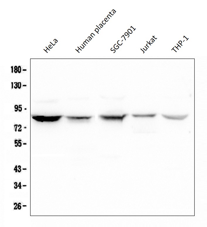
ARG59898 anti-NOX5 antibody WB image
Western blot: 50 µg of samples under reducing conditions. HeLa, Human placenta, SGC-7901, Jurkat and THP-1 cell lysates stained with ARG59898 anti-NOX5 antibody at 0.5 µg/ml, overnight at 4°C.
