ARG46340
anti-NPC1 / Niemann Pick C1 antibody
anti-NPC1 / Niemann Pick C1 antibody for Western blot,IHC-Formalin-fixed paraffin-embedded sections and Human,Mouse
Overview
| Product Description | Rabbit Polyclonal antibody recognizes NPC1 / Niemann Pick C1 |
|---|---|
| Tested Reactivity | Hu, Ms |
| Tested Application | IHC-P, WB |
| Host | Rabbit |
| Clonality | Polyclonal |
| Isotype | IgG |
| Target Name | NPC1 / Niemann Pick C1 |
| Antigen Species | Human |
| Immunogen | A 16 amino acid synthetic peptide within the last 50 amino acids of human NPC1 / Niemann Pick C1. |
| Conjugation | Un-conjugated |
| Alternate Names | NPC1; Niemann-Pick C1 protein; NPC |
Application Instructions
| Application Suggestion |
|
||||||
|---|---|---|---|---|---|---|---|
| Application Note | * The dilutions indicate recommended starting dilutions and the optimal dilutions or concentrations should be determined by the scientist. | ||||||
| Observed Size | 150 kDa |
Properties
| Purification | Affinity chromatography purified |
|---|---|
| Buffer | PBS and 0.02% Sodium azide. |
| Preservative | 0.02% Sodium azide |
| Concentration | 1 mg/ml |
| Storage Instruction | For continuous use, store undiluted antibody at 2-8°C for up to a week. For long-term storage, aliquot and store at -20°C. Storage in frost free freezers is not recommended. Avoid repeated freeze/thaw cycles. Suggest spin the vial prior to opening. The antibody solution should be gently mixed before use. |
| Note | For laboratory research only, not for drug, diagnostic or other use. |
Bioinformation
| Database Links | |
|---|---|
| Gene Symbol | NPC1 |
| Gene Full Name | Niemann-Pick disease, type C1 |
| Background | This gene encodes a large protein that resides in the limiting membrane of endosomes and lysosomes and mediates intracellular cholesterol trafficking via binding of cholesterol to its N-terminal domain. It is predicted to have a cytoplasmic C-terminus, 13 transmembrane domains, and 3 large loops in the lumen of the endosome - the last loop being at the N-terminus. This protein transports low-density lipoproteins to late endosomal/lysosomal compartments where they are hydrolized and released as free cholesterol. Defects in this gene cause Niemann-Pick type C disease, a rare autosomal recessive neurodegenerative disorder characterized by over accumulation of cholesterol and glycosphingolipids in late endosomal/lysosomal compartments.[provided by RefSeq, Aug 2009] |
| Function | Intracellular cholesterol transporter which acts in concert with NPC2 and plays an important role in the egress of cholesterol from the endosomal/lysosomal compartment. Both NPC1 and NPC2 function as the cellular 'tag team duo' (TTD) to catalyze the mobilization of cholesterol within the multivesicular environment of the late endosome (LE) to effect egress through the limiting bilayer of the LE. NPC2 binds unesterified cholesterol that has been released from LDLs in the lumen of the late endosomes/lysosomes and transfers it to the cholesterol-binding pocket of the N-terminal domain of NPC1. Cholesterol binds to NPC1 with the hydroxyl group buried in the binding pocket and is exported from the limiting membrane of late endosomes/ lysosomes to the ER and plasma membrane by an unknown mechanism. Binds oxysterol with higher affinity than cholesterol. May play a role in vesicular trafficking in glia, a process that may be crucial for maintaining the structural and functional integrity of nerve terminals. [UniProt] |
| Cellular Localization | Late endosome membrane. [UniProt] |
| Calculated MW | 140 kDa |
| PTM | Glycosylated. [UniProt] |
Images (3) Click the Picture to Zoom In
-
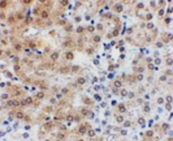
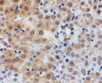
ARG46340 anti-NPC1 / Niemann Pick C1 antibody IHC-P image
Immunohistochemistry: Mouse kidney stained with ARG46340 anti-NPC1 / Niemann Pick C1 antibody.
-
ARG46340 anti-NPC1 / Niemann Pick C1 antibody ICC/IF image
Immunofluorescence: Mouse Kidney stained with ARG46340 anti-NPC1 / Niemann Pick C1 antibody.
-
ARG46340 anti-NPC1 / Niemann Pick C1 antibody WB image
Western blot: HepG2 stained with ARG46340 anti-NPC1 / Niemann Pick C1 antibody.
