ARG67272
anti-NPM1 / Nucleophosmin antibody
anti-NPM1 / Nucleophosmin antibody for ELISA,ICC/IF,IHC-Formalin-fixed paraffin-embedded sections,Immunoprecipitation,Western blot and Human,Mouse,Rat
Overview
| Product Description | Rabbit Monoclonal antibody recognizes NPM1 / Nucleophosmin |
|---|---|
| Tested Reactivity | Hu, Ms, Rat |
| Tested Application | ELISA, ICC/IF, IHC-P, IP, WB |
| Host | Rabbit |
| Clonality | Monoclonal |
| Isotype | IgG, Kappa |
| Target Name | NPM1 / Nucleophosmin |
| Antigen Species | Human |
| Immunogen | Recombinant protein containing to human NPM1 / Nucleophosmin. |
| Conjugation | Un-conjugated |
| Alternate Names | NPM; Nucleolar protein NO38; B23; Nucleophosmin; Numatrin; Nucleolar phosphoprotein B23 |
Application Instructions
| Application Suggestion |
|
||||||||||||
|---|---|---|---|---|---|---|---|---|---|---|---|---|---|
| Application Note | * The dilutions indicate recommended starting dilutions and the optimal dilutions or concentrations should be determined by the scientist. | ||||||||||||
| Observed Size | 38 kDa |
Properties
| Form | Liquid |
|---|---|
| Purification | Purified by protein A |
| Buffer | PBS, 50% glycerol, 0.05% Proclin 300 and 0.05% BSA |
| Preservative | 0.05% Proclin 300 |
| Stabilizer | 0.05% BSA |
| Storage Instruction | For continuous use, store undiluted antibody at 2-8°C for up to a week. For long-term storage, aliquot and store at -20°C or below. Storage in frost free freezers is not recommended. Avoid repeated freeze/thaw cycles. Suggest spin the vial prior to opening. The antibody solution should be gently mixed before use. |
| Note | For laboratory research only, not for drug, diagnostic or other use. |
Bioinformation
| Database Links | |
|---|---|
| Gene Symbol | NPM1 |
| Gene Full Name | nucleophosmin (nucleolar phosphoprotein B23, numatrin) |
| Background | This gene encodes a phosphoprotein which moves between the nucleus and the cytoplasm. The gene product is thought to be involved in several processes including regulation of the ARF/p53 pathway. A number of genes are fusion partners have been characterized, in particular the anaplastic lymphoma kinase gene on chromosome 2. Mutations in this gene are associated with acute myeloid leukemia. More than a dozen pseudogenes of this gene have been identified. Alternative splicing results in multiple transcript variants.[provided by RefSeq, Nov 2009] |
| Function | Involved in diverse cellular processes such as ribosome biogenesis, centrosome duplication, protein chaperoning, histone assembly, cell proliferation, and regulation of tumor suppressors p53/TP53 and ARF. Binds ribosome presumably to drive ribosome nuclear export. Associated with nucleolar ribonucleoprotein structures and bind single-stranded nucleic acids. Acts as a chaperonin for the core histones H3, H2B and H4. Stimulates APEX1 endonuclease activity on apurinic/apyrimidinic (AP) double-stranded DNA but inhibits APEX1 endonuclease activity on AP single-stranded RNA. May exert a control of APEX1 endonuclease activity within nucleoli devoted to repair AP on rDNA and the removal of oxidized rRNA molecules. In concert with BRCA2, regulates centrosome duplication. Regulates centriole duplication: phosphorylation by PLK2 is able to trigger centriole replication. Negatively regulates the activation of EIF2AK2/PKR and suppresses apoptosis through inhibition of EIF2AK2/PKR autophosphorylation. [UniProt] |
| Cellular Localization | Cytoplasm, Nucleus, centrosome, cytoskeleton, microtubule organizing center, nucleolus, nucleoplasm. [UniProt] |
| Calculated MW | 33 kDa |
| PTM | Acetylated at C-terminal lysine residues, thereby increasing affinity to histones. ADP-ribosylated. Phosphorylated at Ser-4 by PLK1 and PLK2. Phosphorylation at Ser-4 by PLK2 in S phase is required for centriole duplication and is sufficient to trigger centriole replication. Phosphorylation at Ser-4 by PLK1 takes place during mitosis. Phosphorylated by CDK2 at Ser-125 and Thr-199. Phosphorylation at Thr-199 may trigger initiation of centrosome duplication. Phosphorylated by CDK1 at Thr-199, Thr-219, Thr-234 and Thr-237 during cell mitosis. When these four sites are phosphorated, RNA-binding activity seem to be abolished. May be phosphorylated at Ser-70 by NEK2. The Thr-199 phosphorylated form has higher affinity for ROCK2. CDK6 triggers Thr-199 phosphorylation when complexed to Kaposi's sarcoma herpesvirus (KSHV) V-cyclin, leading to viral reactivation by reducing viral LANA levels. Sumoylated by ARF. May be ubiquitinated. Ubiquitination leads to proteasomal degradation. [UniProt] |
Images (3) Click the Picture to Zoom In
-
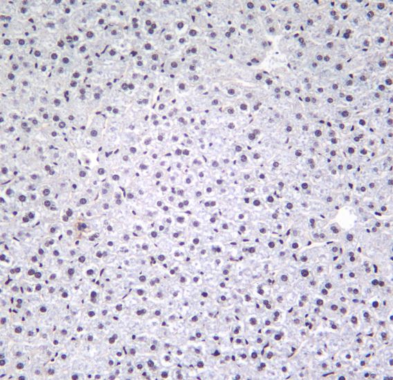
ARG67272 anti-NPM1 / Nucleophosmin antibody IHC-P image
Immunohistochemistry: Human liver stained with ARG67272 anti-NPM1 / Nucleophosmin antibody.
-
ARG67272 anti-NPM1 / Nucleophosmin antibodyWB image
Western blot: HCT-116 stained with ARG67272 anti-NPM1 / Nucleophosmin antibody.
-
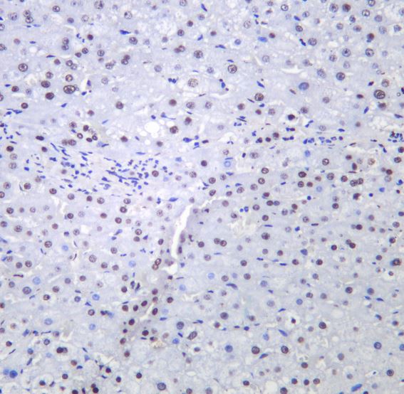
ARG67272 anti-NPM1 / Nucleophosmin antibody IHC-P image
Immunohistochemistry: Mouse liver stained with ARG67272 anti-NPM1 / Nucleophosmin antibody.
