ARG44883
anti-NPPC antibody
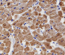
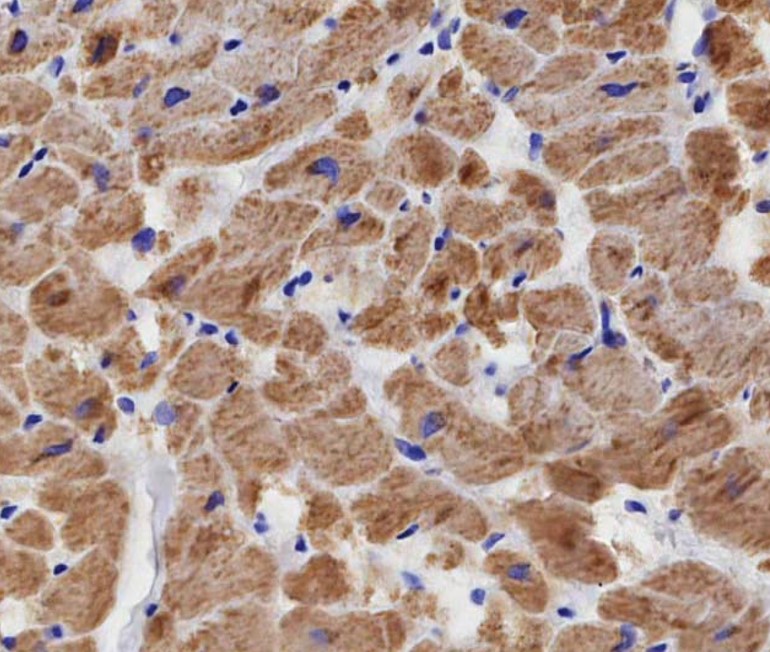
anti-NPPC antibody for IHC-Formalin-fixed paraffin-embedded sections and Human
Overview
| Product Description | Mouse Monoclonal antibody recognizes NPPC |
|---|---|
| Tested Reactivity | Hu |
| Tested Application | IHC-P |
| Host | Mouse |
| Clonality | Monoclonal |
| Isotype | IgG1 |
| Target Name | NPPC |
| Antigen Species | Human |
| Epitope | VPRTPPAEEL AEPQAAGGGQ KKGDKAPGGG GANLKGDRSR LLRDLRVDTK SRAAWARLLQ EHPNARKYKG ANKKGLSKGC FGLKLDRIGS |
| Conjugation | Un-conjugated |
| Alternate Names | NPPC; Natriuretic Peptide C; CNP; C-Type Natriuretic Peptide; CNP2; Natriuretic Peptide Precursor Type C; Natriuretic Peptide Precursor C |
Application Instructions
| Application Suggestion |
|
||||
|---|---|---|---|---|---|
| Application Note | * The dilutions indicate recommended starting dilutions and the optimal dilutions or concentrations should be determined by the scientist. |
Properties
| Form | Liquid |
|---|---|
| Purification | Protein A purification |
| Buffer | PBS with 0.09% sodium azide |
| Preservative | 0.09% sodium azide |
| Storage Instruction | For continuous use, store undiluted antibody at 2-8°C for up to a week. For long-term storage, aliquot and store at -20°C or below. Storage in frost free freezers is not recommended. Avoid repeated freeze/thaw cycles. Suggest spin the vial prior to opening. The antibody solution should be gently mixed before use. |
| Note | For laboratory research only, not for drug, diagnostic or other use. |
Bioinformation
| Database Links | |
|---|---|
| Gene Symbol | NPPC |
| Gene Full Name | Natriuretic Peptide C |
| Background | This gene encodes a preproprotein that is proteolytically processed to generate multiple protein products. These products include the cardiac natriuretic peptides CNP-53, CNP-29 and CNP-22, which belong to the natriuretic family of peptides. The encoded peptides exhibit vasorelaxation activity in laboratory animals and elevated levels of CNP-22 have been observed in the plasma of chronic heart failure patients. [provided by RefSeq, Oct 2015] |
| Function | Binds the clearance receptor NPR3. [Uniprot] |
| Cellular Localization | Secreted. [Uniprot] |
| PTM | Cleavage on pair of basic residues, Disulfide bond. [Uniprot] |
Images (1) Click the Picture to Zoom In
