ARG41237
anti-NR1H3 / LXR alpha antibody
anti-NR1H3 / LXR alpha antibody for IHC-Formalin-fixed paraffin-embedded sections,Western blot and Rat
Overview
| Product Description | Rabbit Polyclonal antibody recognizes NR1H3 / LXR alpha |
|---|---|
| Tested Reactivity | Rat |
| Predict Reactivity | Hu, Ms |
| Tested Application | IHC-P, WB |
| Host | Rabbit |
| Clonality | Polyclonal |
| Isotype | IgG |
| Target Name | NR1H3 / LXR alpha |
| Antigen Species | Human |
| Immunogen | A 15 amino acid synthetic peptide within aa. 50-100 of Human NR1H3 / LXR alpha. |
| Conjugation | Un-conjugated |
| Alternate Names | RLD-1; Oxysterols receptor LXR-alpha; Nuclear receptor subfamily 1 group H member 3; LXRA; LXR-a; Liver X receptor alpha |
Application Instructions
| Application Suggestion |
|
||||||
|---|---|---|---|---|---|---|---|
| Application Note | * The dilutions indicate recommended starting dilutions and the optimal dilutions or concentrations should be determined by the scientist. | ||||||
| Positive Control | Rat liver | ||||||
| Observed Size | ~ 46 kDa |
Properties
| Form | Liquid |
|---|---|
| Purification | Affinity purification with immunogen. |
| Buffer | PBS and 0.02% Sodium azide. |
| Preservative | 0.02% Sodium azide |
| Concentration | 1 mg/ml |
| Storage Instruction | For continuous use, store undiluted antibody at 2-8°C for up to a week. For long-term storage, aliquot and store at -20°C or below. Storage in frost free freezers is not recommended. Avoid repeated freeze/thaw cycles. Suggest spin the vial prior to opening. The antibody solution should be gently mixed before use. |
| Note | For laboratory research only, not for drug, diagnostic or other use. |
Bioinformation
| Gene Symbol | NR1H3 |
|---|---|
| Gene Full Name | nuclear receptor subfamily 1, group H, member 3 |
| Background | The protein encoded by this gene belongs to the NR1 subfamily of the nuclear receptor superfamily. The NR1 family members are key regulators of macrophage function, controlling transcriptional programs involved in lipid homeostasis and inflammation. This protein is highly expressed in visceral organs, including liver, kidney and intestine. It forms a heterodimer with retinoid X receptor (RXR), and regulates expression of target genes containing retinoid response elements. Studies in mice lacking this gene suggest that it may play an important role in the regulation of cholesterol homeostasis. Alternatively spliced transcript variants encoding different isoforms have been found for this gene. [provided by RefSeq, Oct 2011] |
| Function | Nuclear receptor. Interaction with RXR shifts RXR from its role as a silent DNA-binding partner to an active ligand-binding subunit in mediating retinoid responses through target genes defined by LXRES. LXRES are DR4-type response elements characterized by direct repeats of two similar hexanuclotide half-sites spaced by four nucleotides. Plays an important role in the regulation of cholesterol homeostasis, regulating cholesterol uptake through MYLIP-dependent ubiquitination of LDLR, VLDLR and LRP8. Interplays functionally with RORA for the regulation of genes involved in liver metabolism (By similarity). Exhibits a ligand-dependent transcriptional activation activity. [UniProt] |
| Cellular Localization | Nucleus. [UniProt] |
| Calculated MW | 50 kDa |
Images (3) Click the Picture to Zoom In
-
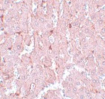
ARG41237 anti-NR1H3 / LXR alpha antibody IHC-P image
Immunohistochemistry: Paraffin-embedded Rat liver tissue stained with ARG41237 anti-NR1H3 / LXR alpha antibody at 20 µg/ml dilution.
-
ARG41237 anti-NR1H3 / LXR alpha antibody WB image
Western blot: Rat liver lysate stained with ARG41237 anti-NR1H3 / LXR alpha antibody at 1 and 2 µg/ml dilution.
-
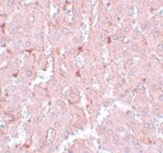
ARG41237 anti-NR1H3 / LXR alpha antibody IHC-P image
Immunohistochemistry: Paraffin-embedded Rat liver tissue stained with ARG41237 anti-NR1H3 / LXR alpha antibody at 5 µg/ml dilution.
